诊疗助手APP
百万医护都在兼职、学习、交流
立即打开
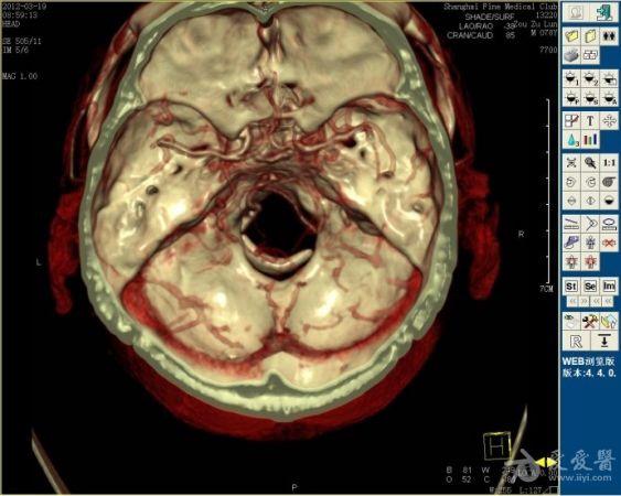
双源CT颈动脉、脑动脉造影
红**雨
楼主
+关注
国内最好的动脉血管造影图,该患者有颈动脉斑块,影像清晰可见,目前用予高端体检诊断。
2012-09-16 16:17:58 4554 浏览
全部评论
t****3
抢首赞
那里的医院能做这个影像检查 心脏能不能把做?谢谢!
2025-11-14 11:15:54
·
黑龙江省
回复
踏**痕
抢首赞
非常好的图片,学习了,加分鼓励!请继续支持我们!
2012-09-16 18:45:14
·
黑龙江省
回复
w****n
抢首赞
双源CT颈动脉、脑动脉造影 很好的图片,长见识了.
2012-09-16 17:47:59
·
广东省
回复
登录后查看全部评论
3
发送
热门推荐
教科书式病例,医生有多想遇见?
医生会帮同行解释吗?
医生如何当好健康“守门人”?
医生的诊疗时间,够用吗?