诊疗助手APP
百万医护都在兼职、学习、交流
立即打开
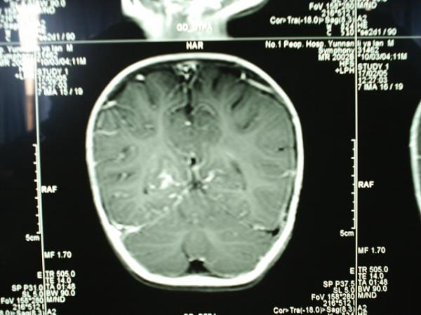
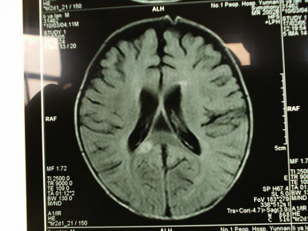
小儿结核性脑膜炎合并脱髓鞘改变MRI
疏**月
楼主
+关注
小儿结核性脑膜炎合并脱髓鞘改变MRI
2005-02-17 21:46:32 3716 浏览
全部评论
m****8
抢首赞
看拉
2008-07-22 23:08:06
·
河南省
回复
x****0
抢首赞
好东西,谢谢分享,学习中。
2008-07-22 10:40:59
·
广西壮族自治区
回复
疏**月
抢首赞
病变部位在右侧大脑半球胼胝体压部强化部分。大家注意看
2005-02-17 21:48:05
·
云南省
回复
登录后查看全部评论
3
发送
热门推荐
教科书式病例,医生有多想遇见?
医生会帮同行解释吗?
医生如何当好健康“守门人”?
医生的诊疗时间,够用吗?