诊疗助手APP
百万医护都在兼职、学习、交流
立即打开
是胆囊憩室吗?
d****g
楼主
+关注
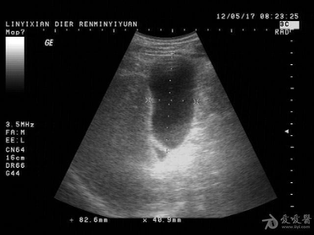
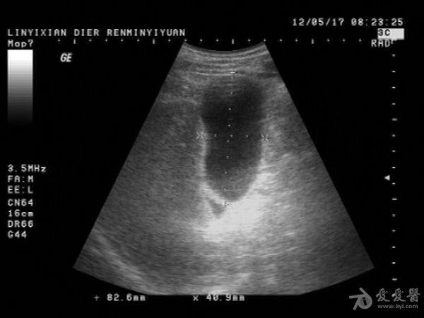
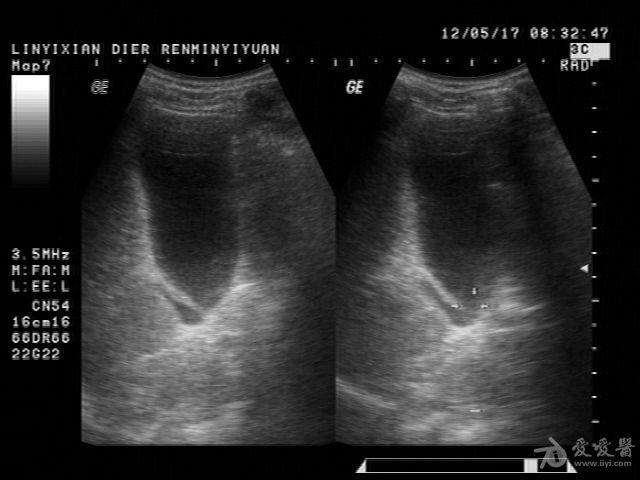
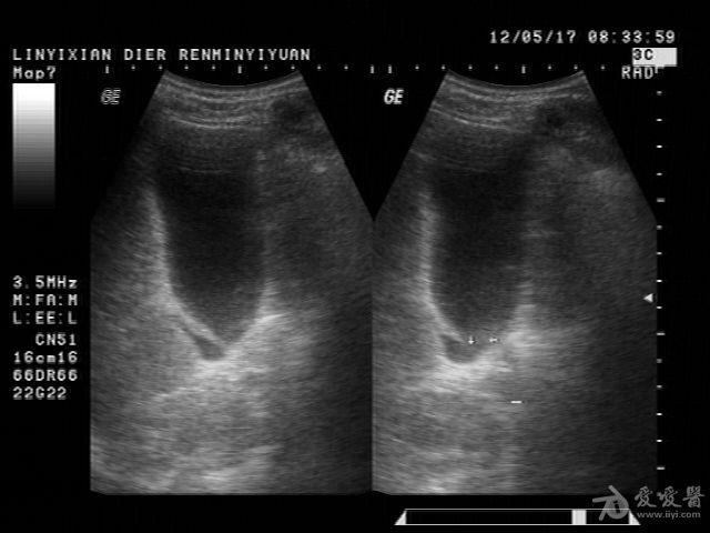
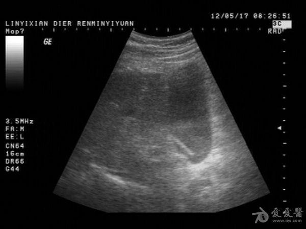
患者男性,57岁,十多年前曾患“肝炎”,近一年在它院曾诊断为:肝硬化。一月前在市医院治疗发现有腹水形成并发现有“腔梗”。古来我院就诊。B超提示:肝脏病理声像(肝光点增粗、肝硬化声像)胆囊图像如图。腹盆腔未及游离暗区回声。
这个胆囊颈部的暗区可以称“胆囊憩室”吗?
2012-05-19 18:09:23 6659 浏览
全部评论
s****l
抢首赞
邹褶吧,不是憩室
2012-08-22 16:22:11
·
山东省
回复
d***f
抢首赞
很明显的胆囊皱褶,这种现象应该很常见的,肝硬化的时候胆囊比正常要大些
2012-08-22 15:35:36
·
广西壮族自治区
回复
l***a
抢首赞
应该是胆囊皱褶。
2012-08-22 14:18:38
·
江苏省
回复
登录后查看全部评论
18
发送
热门推荐
教科书式病例,医生有多想遇见?
医生会帮同行解释吗?
医生如何当好健康“守门人”?
医生的诊疗时间,够用吗?