诊疗助手APP 百万医护都在兼职、学习、交流
立即打开

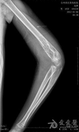
小孩 肱骨骨肿瘤并病理性骨折

b****o 楼主
+关注

性别: 男
年龄:10岁主诉: 右上臂疼痛活动受限20余天现病史: 20余天前摔伤致右肘部疼痛活动不利,曾在外院治疗,X线:右肘部未见明显异常。肘关节活动尚可,于活血化瘀,消肿止痛治疗。20余天疼痛未见明显好转,肘关节活动不利,***就诊。既往史: 既往健康

体格检查: 一般状况好,发育良好,营养中等。头颅五官胸腹未见异常。右肘部,右上臂下端肿胀,压痛、纵向叩击痛(+),局部肤温增高。肘关节固定于约40°,背伸约20°,肘屈约100°,表面无血管充盈,无色素沉着。右上肢皮肤感觉正常,右桡动脉搏动正常。

初步诊断: 左肱骨下端骨肿瘤X线检查显示左肱骨中上段有虫蚀样 低密度改变,局部硬化,可见骨膜反应,病理性骨折鉴别诊断: 动脉瘤样骨囊肿,骨结核诊疗过程:

讨论内容:患者病史极短,摔伤后检查未见明显异常,初次就诊,复诊时间间隔约16天,未留下初次就诊的X线资料,仅感觉肱骨下端较上段骨密度稍减低。

患者是否为骨肉瘤,如何能及早发现诊治,是否需要截肢。


2012-05-13 18:27:44  5079 浏览
全部评论
c***4 抢首赞
有图有真相,赞一个!!
2023-02-18 09:42:22·广东省 回复
b****o 抢首赞
嗯谢谢,学习了
2012-05-14 22:03:24·浙江省 回复
s****0 抢首赞
骨肉瘤多见于小儿,多发生于干骨端,常见于股骨远端和胫骨近端。骨肉瘤的X线表现:⒈骨质破坏⒉肿瘤骨⒊肿瘤软骨钙化⒋软组织肿块⒌骨膜反应和Codman三角。动脉瘤样骨囊肿多发生于10-20岁,可发生生于长骨和脊柱。动脉瘤样骨囊肿的X线表现为长骨干骺端的溶骨性、偏心性骨破坏,其偏心向外突出如气球状膨胀,病变呈局限性透亮区,边界清楚,边缘有狭窄的硬化带,其中有不规则的分隔,呈蜂窝状。位于骨中心者,向周围扩张膨胀,呈卵圆形,与骨的纵轴一致。囊肿表面有一薄的骨壳,可有一层薄的骨膜反应。位于脊椎的病变多在脊突、椎板、横突上,亦可膨出于骨外。 根据以上特点和本病例的表现,骨肉瘤可疑。
2012-05-14 19:07:55·广东省 回复
登录后查看全部评论
3
热门推荐
教科书式病例,医生有多想遇见?
医生会帮同行解释吗?
医生如何当好健康“守门人”?
医生的诊疗时间,够用吗?