诊疗助手APP
百万医护都在兼职、学习、交流
立即打开
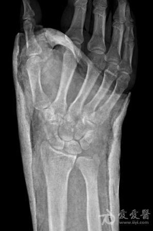
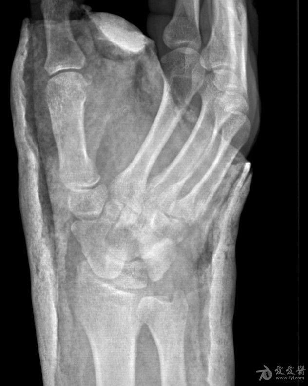
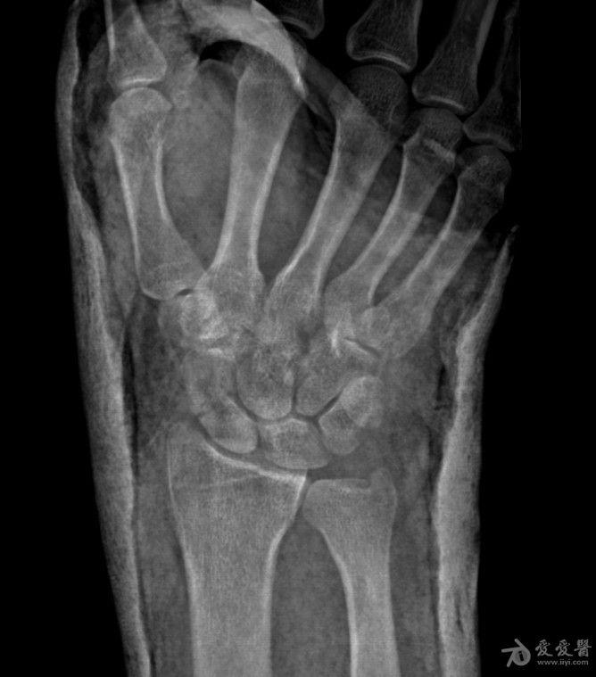
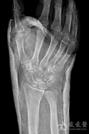
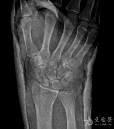
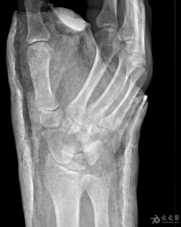
右手舟状骨骨折4个月
p****6
楼主
+关注
右手舟状骨骨折四个月,一直石膏保守治疗,拍片如下,请问,现在是手术治疗好还是继续保守治疗?
2012-05-01 14:20:09 5364 浏览
全部评论
怕***脱
抢首赞
髂骨植骨,用无头钉内固定。我们都是用美国Acumed的无头加压螺钉,效果不错
2012-12-06 22:23:55
·
山东省
回复
甜***3
抢首赞
以前真还没有遇到舟骨骨折3个月以上还不愈合的 不过,说固定1年的,想一想觉得是匪夷所思的还是觉得5楼的说的管用:1、赶快去除石膏外固定; 2、手及腕部功能锻炼; 3、无症状可以不管; 4、观察半年-1年; 5、未愈合,且疼痛明显的,直接将舟骨摘除
2012-05-04 21:02:22
·
湖北省
回复
h****1
抢首赞
骨折对位好,治疗12周,继续管型石膏固定治疗
2012-05-04 16:52:10
·
山东省
回复
登录后查看全部评论
8
发送
热门推荐
教科书式病例,医生有多想遇见?
医生会帮同行解释吗?
医生如何当好健康“守门人”?
医生的诊疗时间,够用吗?