【迎新年病例讨论】系统性红斑狼疮突发急性心肌梗塞救治一例
新***刚
楼主
+关注
性别:女
年龄:39岁
主诉:胸闷8小时入院
现病史:患者8小时前突发胸闷不适,以胸骨下端憋闷为主,自觉憋闷区域约手掌大小,伴胸骨后压榨感,出冷汗,有恶心及呕吐1次,呕出少许胃内容物,无明显胸痛,无头晕、晕厥,无气急,无头痛等,症状呈持续性,经休息后稍有缓解。约100分钟后患者至我院急诊,急诊心电图提示:窦性心律、急性下壁、正后壁、高侧壁心肌梗死。心肌酶谱、肌钙蛋白:AST 21U/L LDH 270U/L CK 36U/L CK-MB 10U/L cTnI<0.01μg/L”,急诊考虑患者“急性心肌梗塞”,临时予阿司匹林片300mg嚼服、玻立维片300mg顿服等对症处理,并请心内科会诊及取得家属意见予尿激酶150万u溶栓治疗,溶栓2小时后复查心电图提示:窦性心动过缓,急性下壁正后壁心肌梗死。患者仍有胸闷不适,出汗多,心电图ST段下降不明显,考虑溶栓效果欠佳,经与家属沟通,取得知情同意后拟行“冠脉造影”检查及进一步治疗,拟“急性心肌梗死,系统性红斑狼疮”收住入院。病来意识清,精神软,未进食,小便自解,大便未解,体重未见明显增减。
既往史:既往体质偏弱,有“系统性红斑狼疮”病史32年,平时坚持服用美卓乐片。有“高血压病”病史4年,平时坚持服用安博维片,血压控制可。否认有“中风”病史,否认有“冠心病”病史,否认有“结核、肝炎”病史,否认有“肾炎,肾功能不全”等慢性肾脏病史,否认有“甲亢、糖尿病”病史,否认有药物、食物过敏史,否认外伤手术史,否认有输血史,常规预防接种。
体格检查:T37.5℃,BP 107/63mmHg,SPO2 100%,意识清,精神软,平卧位休息,颈静脉充盈,双肺呼吸音低,未闻及干湿罗音,心音低,心律欠齐,可及早搏,心脏各瓣膜听诊区未闻及明显杂音;腹软,无压痛反跳痛,肝脾肋下未及;双下肢不肿,双巴氏征未引出。
辅助检查:心电图(2011.10.12 14:03)示:窦性心律、急性下壁、正后壁、高侧壁心肌梗死。心肌酶谱肌钙蛋白(2011.10.12 14:17)AST21U/L LDH270U/L CK36U/L CK-MB10U/L cTnI<0.01μg/L。
初步诊断:1、急性下壁心肌梗死,KillipsⅠ级;2、系统性红斑狼疮;3、高血压病2级(极高危组)。
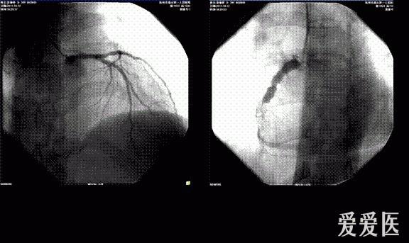
诊疗过程:2011.10.12急诊选择性冠脉造影,结果显示:左冠前降支轻度狭窄,右冠近端、中远段瘤样扩张,内径达10mm左右,右冠中段病变,95%狭窄,狭窄后血栓影,远端血流TIMI2级。将JR46F大腔导管送到右冠开口,送入0.014"runthrough导丝,跨过狭窄处送至右冠远端,然后沿引导钢丝送入抽吸导管到病变处多次抽吸,抽吸血液中可见少量血栓,血栓负荷明显减少,随后送入cordis2.5x15mm球囊,定位于狭窄段,8Kpa扩张球囊1次,重复造影显示残存狭窄85%,但后降支闭塞,0.014"runthrough导丝送入后降支,cordis2.5x15mm球囊8Kpa扩张后血流恢复,改用cordis3.5x15mm球囊定位右冠中段病变处,10kpa扩张后,残存狭窄仍有75%,右冠远端血流TIMI1级,试图进入另一根0.014"runthrough导丝,但在右冠近端瘤样扩张处受阻,结束手术,术中共用肝素针30mg,优维显130ml,期间病人无明显不适,撤出导管,拔除桡动脉鞘管加压包扎,送回病房,嘱右上肢制动,常规抗生素预防感染、心电图、心电监护、注意生命体征及伤口出血血肿和胸痛胸闷等情况。8药物治疗及检查:考虑患者右冠急性血栓形成,予替罗非班应用,同时监测凝血谱、血小板,根据凝血谱、血小板情况调整替罗非班剂量。术后患者血压偏低,一直予多巴胺针微泵维持血压。停用替罗非班针后继续予速碧林针4100iu q12h抗凝,拜阿司匹林片100mg qd、玻立维片75mg qd抗血小板,立普妥片20mg qd调脂,瑞安吉针改善心肌能量代谢,美卓乐片6mg qd治疗系统性红斑狼疮,泮托拉唑针抑酸护胃,阿魏酸哌嗪片、金水宝胶囊改善肾功能,补达秀片补钾。入院来患者一直血压偏低,多巴胺针小剂量维持下血压波动于90/60mmHg,心率70次/分,律齐,心电监护示:窦性心律,未见明显心律失常。2011.10.25停用多巴胺针后血压基本波动予90-100/55-65mmHg左右,患者又有心悸等自觉症状,心电监护可见窦性心律,频发室性早搏,复查心电图示窦性心律下壁、前侧壁、正后壁异常Q波伴ST-T改变。频发室性早搏,部分二联律电轴左偏提示左前分支传导阻滞 左胸导联低电压;急查血电解质K 3.1mmol/l,予静脉+口服加强补钾治疗,第二天复查血钾为4.0mmol/L,但室性早搏仍频发,继续予口服补钾及小剂量倍他乐克12.5mgbid口服后,患者心悸症状缓解不明显。2011.10.16动态心电图:窦性心律伴间歇性窦性心律不齐 房性早搏占<1%,为单发室性早搏占<1%,为单发ST-T改变。2011.10.20查心脏彩色多普勒+左心功能测定+室壁运动分析:(1)左室下壁局部收缩活动稍减弱;(2)主动脉瓣轻度返流;(3)二尖瓣轻度返流;(4)三尖瓣轻度返流;(5)肺动脉瓣轻度返流。(1)主动脉根部内径31舒张期室间隔厚度8左房内径29舒张期左室后壁厚度9左室舒张末期内径52射血分数(EF%)72.9左室收缩末期内径30。(2)左房左室内径正常,左室壁不增厚,静息状态下左室下壁局部收缩活动稍减弱。(3)二尖瓣不增厚,开放不受限,CDFI见轻度返流。二尖瓣血流图示E峰>A峰。(4)主动脉不宽,主动脉瓣不增厚,开放不受限,CDFI:见轻度返流,主动脉瓣瓣口最高流速约1.24m/s。(5)右心正常大,肺动脉内径20mm,CDFI:肺动脉瓣轻度返流,三尖瓣见轻度返流。CW据三尖瓣返流估测肺动脉收缩压23mmHg。2011.10.20心电图:窦性心律 下壁、前侧壁、正后壁异常Q波伴ST-T改变,请结合临床 左胸导联低电压。2011.10.30动态心电图:窦性心律 偶见房性早搏占<1% 室性早搏占15%部分呈三联律 前侧壁异常Q波伴ST-T改变,请结合临床与常规心电图.。
诊断依据:
鉴别诊断:
讨论内容::(1)患者SLE病史多年,此次右冠病变是否与SLE有关?而患者右冠病变重,有瘤样扩张,PTCA治疗效果差,接下来的治疗方案?
(2)患者应用多巴胺针时无明显心律失常,但是停用多巴胺针后出现室性心律失常,两者之间是否相关?
本帖最后由 新郑李永刚 于 2012-1-29 14:57 编辑 系统性红斑狼疮突发急性心肌梗塞救治一例 作者:吴瑰丽彭俊黄建振钱正明 一般情况:患者,女性,39岁 主诉:胸闷8小时入院。 现病史:患者8小时前突发胸闷不适,以胸骨下端憋闷为主,自觉憋闷区域约手掌大小,伴胸骨后压榨感,出冷汗,有恶心及呕吐1次,呕出少许胃内容物,无明显胸痛,无头晕、晕厥,无气急,无头痛等,症状呈持续性,经休息后稍有缓解。约100分钟后患者至我院急诊,急诊心电图提示:窦性心律、急性下壁、正后壁、高侧壁心肌梗死。心肌酶谱、肌钙蛋白:AST 21U/L LDH 270U/L CK 36U/L CK-MB 10U/L cTnI<0.01μg/L”,急诊考虑患者“急性心肌梗塞”,临时予阿司匹林片300mg嚼服、玻立维片300mg顿服等对症处理,并请心内科会诊及取得家属意见予尿激酶150万u溶栓治疗,溶栓2小时后复查心电图提示:窦性心动过缓,急性下壁正后壁心肌梗死。患者仍有胸闷不适,出汗多,心电图ST段下降不明显,考虑溶栓效果欠佳,经与家属沟通,取得知情同意后拟行“冠脉造影”检查及进一步治疗,拟“急性心肌梗死,系统性红斑狼疮”收住入院。病来意识清,精神软,未进食,小便自解,大便未解,体重未见明显增减。 既往史:既往体质偏弱,有“系统性红斑狼疮”病史32年,平时坚持服用美卓乐片。有“高血压病”病史4年,平时坚持服用安博维片,血压控制可。否认有“中风”病史,否认有“冠心病”病史,否认有“结核、肝炎”病史,否认有“肾炎,肾功能不全”等慢性肾脏病史,否认有“甲亢、糖尿病”病史,否认有药物、食物过敏史,否认外伤手术史,否认有输血史,常规预防接种。 家族史:父母均健在,母患“帕金森病”,父患“高血压病”,有一哥哥,体健,否认家族内遗传性、传染性疾病史。 体格检查:T37.5℃,BP 107/63mmHg,SPO2 100%,意识清,精神软,平卧位休息,颈静脉充盈,双肺呼吸音低,未闻及干湿啰音,心音低,心律欠齐,可及早搏,心脏各瓣膜听诊区未闻及明显杂音;腹软,无压痛反跳痛,肝脾肋下未及;双下肢不肿,双巴氏征未引出。 辅助检查:心电图(2011.10.12 14:03)示:窦性心律、急性下壁、正后壁、高侧壁心肌梗死。心肌酶谱肌钙蛋白(2011.10.12 14:17)AST21U/L LDH270U/L CK36U/L CK-MB10U/L cTnI<0.01μg/L。 入院诊断:1、急性下壁心肌梗死,KillipsⅠ级;2、系统性红斑狼疮;3、高血压病2级(极高危组)。 诊疗经过:2011.10.12急诊选择性冠脉造影,结果显示:左冠前降支轻度狭窄,右冠近端、中远段瘤样扩张,内径达10mm左右,右冠中段病变,95%狭窄,狭窄后血栓影,远端血流TIMI2级。将JR46F大腔导管送到右冠开口,送入0.014"runthrough导丝,跨过狭窄处送至右冠远端,然后沿引导钢丝送入抽吸导管到病变处多次抽吸,抽吸血液中可见少量血栓,血栓负荷明显减少,随后送入cordis2.5x15mm球囊,定位于狭窄段,8Kpa扩张球囊1次,重复造影显示残存狭窄85%,但后降支闭塞,0.014"runthrough导丝送入后降支,cordis2.5x15mm球囊8Kpa扩张后血流恢复,改用cordis3.5x15mm球囊定位右冠中段病变处,10kpa扩张后,残存狭窄仍有75%,右冠远端血流TIMI1级,试图进入另一根0.014"runthrough导丝,但在右冠近端瘤样扩张处受阻,结束手术,术[根据相关法规进行屏蔽]用肝素针30mg,优维显130ml,期间病人无明显不适,撤出导管,拔除桡动脉鞘管加压包扎,送回病房,嘱右上肢制动,常规抗生素预防感染、心电图、心电监护、注意生命体征及伤口出血血肿和胸痛胸闷等情况。8药物治疗及检查:考虑患者右冠急性血栓形成,予替罗非班应用,同时监测凝血谱、血小板,根据凝血谱、血小板情况调整替罗非班剂量。术后患者血压偏低,一直予多巴胺针微泵维持血压。停用替罗非班针后继续予速碧林针4100iu q12h抗凝,拜阿司匹林片100mg qd、玻立维片75mg qd抗血小板,立普妥片20mg qd调脂,瑞安吉针改善心肌能量代谢,美卓乐片6mg qd治疗系统性红斑狼疮,泮托拉唑针抑酸护胃,阿魏酸哌嗪片、金水宝胶囊改善肾功能,补达秀片补钾。入院来患者一直血压偏低,多巴胺针小剂量维持下血压波动于90/60mmHg,心律70次/分,律齐,心电监护示:窦性心律,未见明显心律失常。2011.10.25停用多巴胺针后血压基本波动予90-100/55-65mmHg左右,患者又有心悸等自觉症状,心电监护可见窦性心律,频发室性早搏,复查心电图示窦性心律下壁、前侧壁、正后壁异常Q波伴ST-T改变。频发室性早搏,部分二联律电轴左偏提示左前分支传导阻滞 左胸导联低电压;急查血电解质K 3.1mmol/l,予静脉+口服加强补钾治疗,第二天复查血钾为4.0mmol/L,但室性早搏仍频发,继续予口服补钾及小剂量倍他乐克12.5mgbid口服后,患者心悸症状缓解不明显。2011.10.16动态心电图:窦性心律伴间歇性窦性心律不齐 房性早搏占<1%,为单发室性早搏占<1%,为单发ST-T改变。2011.10.20查心脏彩色多普勒+左心功能测定+室壁运动分析:(1)左室下壁局部收缩活动稍减弱;(2)主动脉瓣轻度返流;(3)二尖瓣轻度返流;(4)三尖瓣轻度返流;(5)肺动脉瓣轻度返流。(1)主动脉根部内径31舒张期室间隔厚度8左房内径29舒张期左室后壁厚度9左室舒张末期内径52射血分数(EF%)72.9左室收缩末期内径30。(2)左房左室内径正常,左室壁不增厚,静息状态下左室下壁局部收缩活动稍减弱。(3)二尖瓣不增厚,开放不受限,CDFI见轻度返流。二尖瓣血流图示E峰>A峰。(4)主动脉不宽,主动脉瓣不增厚,开放不受限,CDFI:见轻度返流,主动脉瓣瓣口最高流速约1.24m/s。(5)右心正常大,肺动脉内径20mm,CDFI:肺动脉瓣轻度返流,三尖瓣见轻度返流。CW据三尖瓣返流估测肺动脉收缩压23mmHg。2011.10.20心电图:窦性心律 下壁、前侧壁、正后壁异常Q波伴ST-T改变,请结合临床 左胸导联低电压。2011.10.30动态心电图:窦性心律 偶见房性早搏占<1% 室性早搏占15%部分呈三联律 前侧壁异常Q波伴ST-T改变,请结合临床与常规心电图.。 讨论内容:(1)患者SLE病史多年,此次右冠病变是否与SLE有关?而患者右冠病变重,有瘤样扩张,PTCA治疗效果差,接下来的治疗方案? (2)患者应用多巴胺针时无明显心律失常,但是停用多巴胺针后出现室性心律失常,两者之间是否相关? 以下内容需要积分高于 1000 才可查看*********
2012-01-25 13:59:21 2915 浏览