诊疗助手APP 百万医护都在兼职、学习、交流
立即打开

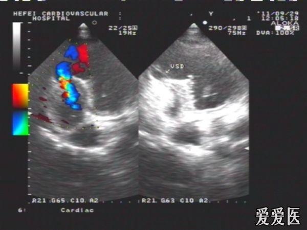
陈旧性前壁心梗继发肌部室间隔缺损典型病例

j****4 楼主
+关注
患者,女性,66岁,活动后心慌,胸闷2年,血压135/70mmHg,HR:78次/分。
2011-12-07 15:53:21  4849 浏览
全部评论
抢沙发,发首评,稳占C位! 立即抢沙发
热门推荐
教科书式病例,医生有多想遇见?
医生会帮同行解释吗?
医生如何当好健康“守门人”?
医生的诊疗时间,够用吗?