诊疗助手APP
百万医护都在兼职、学习、交流
立即打开
甲状腺 求助
w****n
楼主
+关注
年龄:20岁
性别:女
临床诊断:甲亢
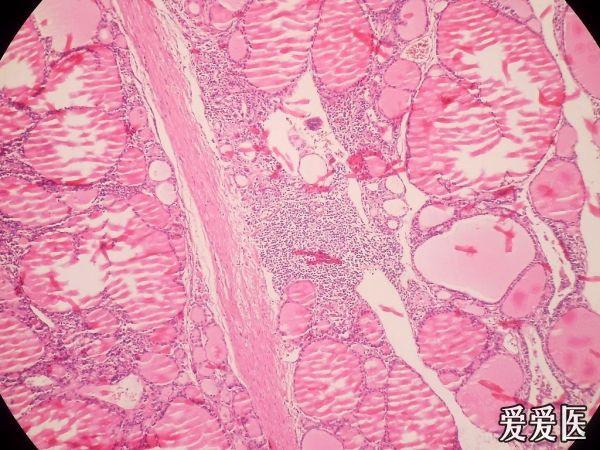
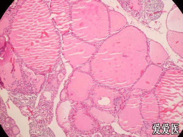
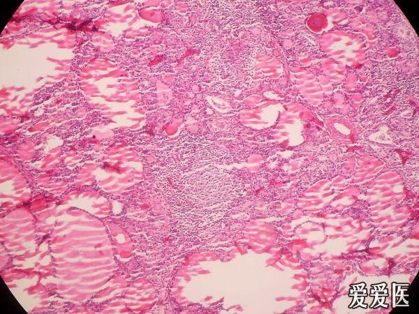
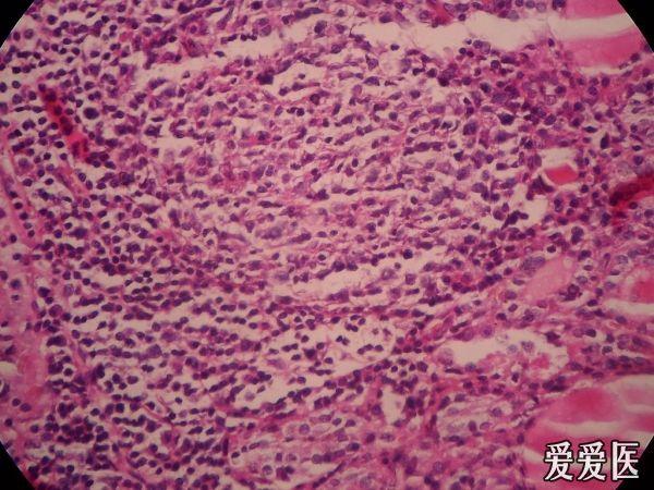
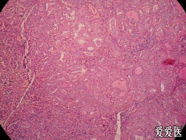
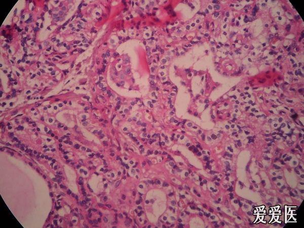
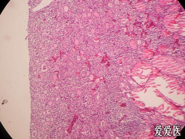
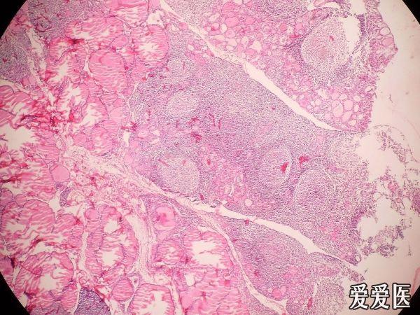
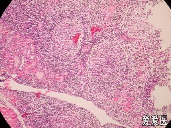
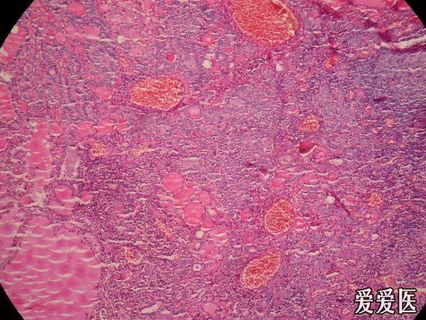
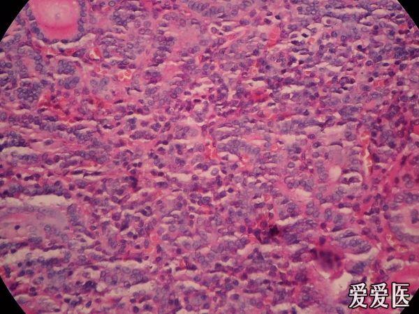
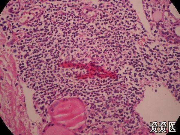
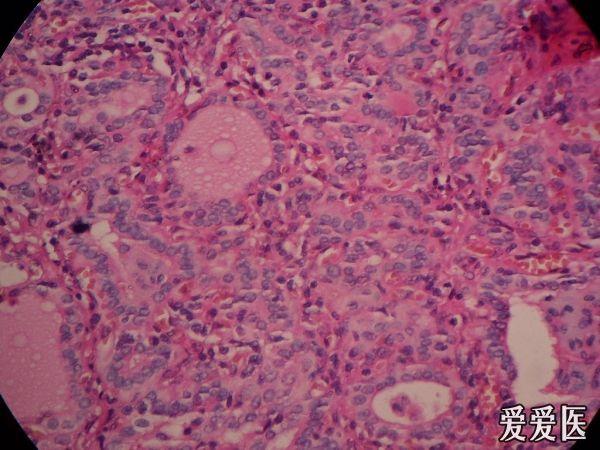
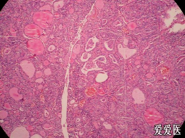
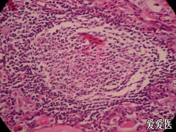
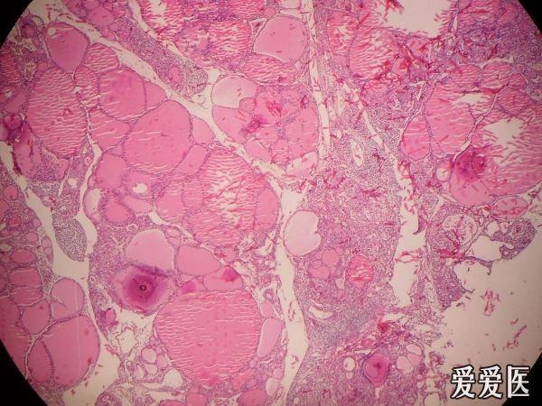
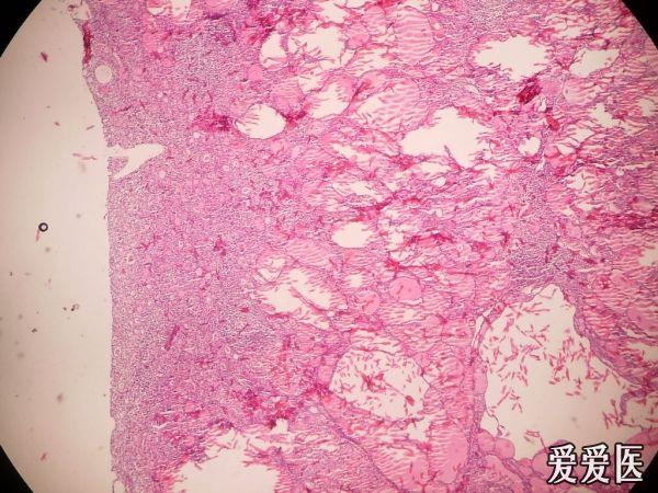
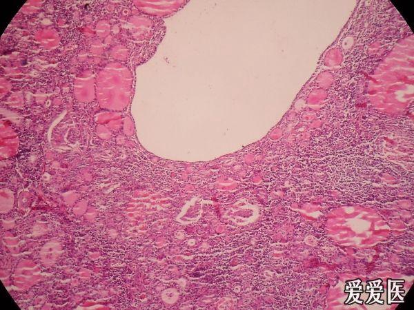
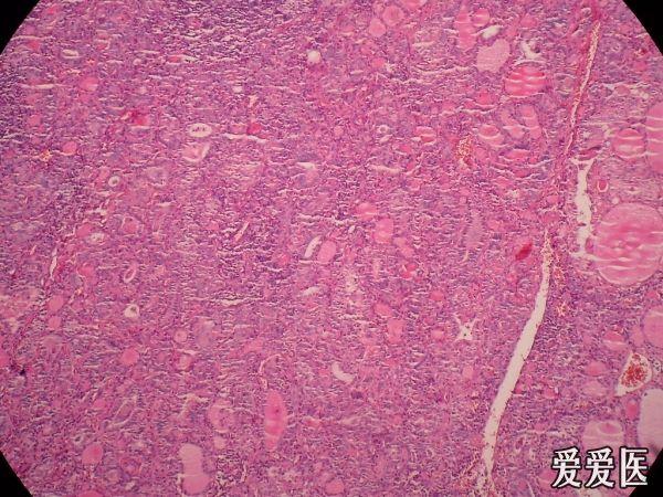
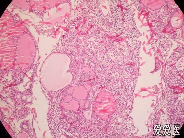
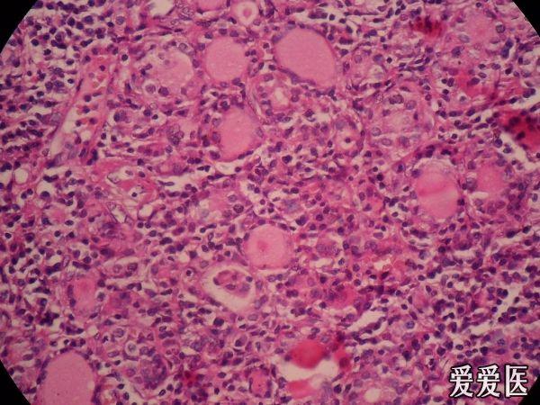
病理检查:甲状腺组织两块,大者7*5*3厘米,切面灰红质软,小者:6*4*3厘米,性质同上。
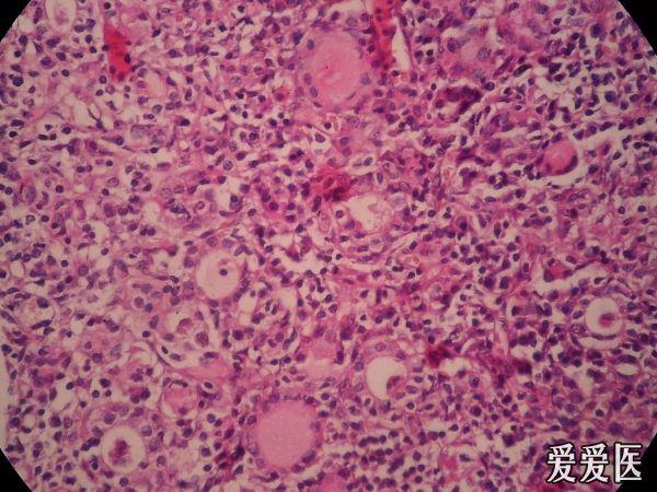
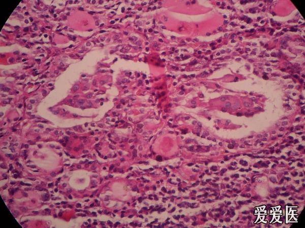
镜下: 淋巴滤泡:大小不规则的甲状腺滤泡:有的细胞核似有异型性?
请问应该怎样考虑
2011-12-04 18:02:45 6564 浏览
全部评论
于****滨
抢首赞
桥本氏病一般多表现为甲状腺功能低下,合并甲状腺机能亢进者少见,特别是临床表现有眼球突出者更为罕见;如果病理不能确定诊断,个人认为应结合彩超、免疫学结果来进行临床诊断。
2012-01-13 00:39:18
·
黑龙江省
回复
s****g
抢首赞
桥本
2012-01-02 14:55:45
·
河北省
回复
w****i
抢首赞
桥本氏甲状腺炎
2011-12-18 14:46:32
·
江西省
回复
登录后查看全部评论
9
发送
热门推荐
教科书式病例,医生有多想遇见?
医生会帮同行解释吗?
医生如何当好健康“守门人”?
医生的诊疗时间,够用吗?