诊疗助手APP
百万医护都在兼职、学习、交流
立即打开
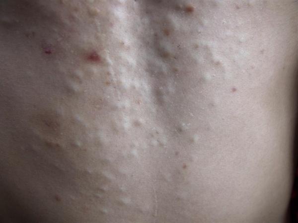
多发性脂囊瘤
d***2
楼主
+关注
本帖最后由 dk312 于 2011-7-31 20:17 编辑
男21岁 皮肤病变一年 只有胸部 其他地方没有 ,皮下遍及黄豆大小的囊肿 可以挤出粉脓性物质 不搔痒
2011-07-31 10:59:13 29153 浏览
全部评论
u****7
抢首赞
多发性脂囊瘤
2023-03-04 22:42:51
·
浙江省
回复
I****W
抢首赞
典型的多发性脂囊瘤病例。谢谢分享!
2012-04-07 22:05:02
·
江西省
回复
x****n
抢首赞
可以用电离子通开一个小口,把里面黄色的内容物全部挤出,再破坏包囊。效果不错的。尤其是这种多发性的脂囊瘤,手术肯定是不实际的。
2012-04-04 22:53:32
·
云南省
回复
登录后查看全部评论
39
发送
热门推荐
教科书式病例,医生有多想遇见?
医生会帮同行解释吗?
医生如何当好健康“守门人”?
医生的诊疗时间,够用吗?