诊疗助手APP 百万医护都在兼职、学习、交流
立即打开

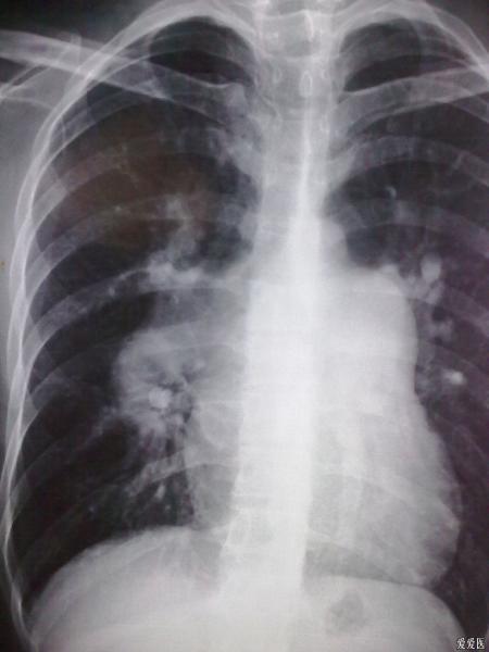
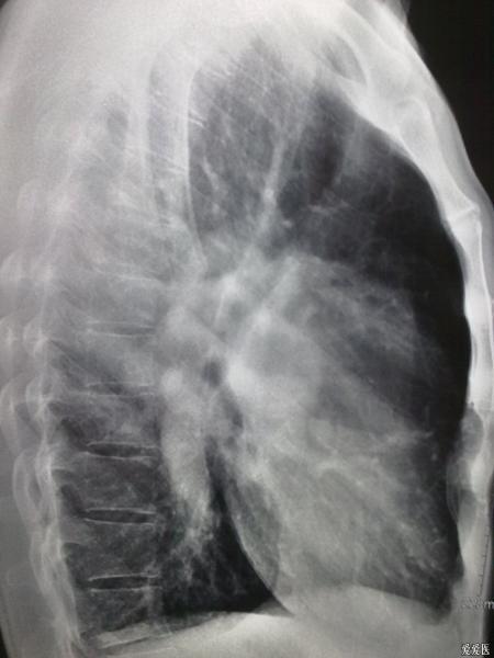
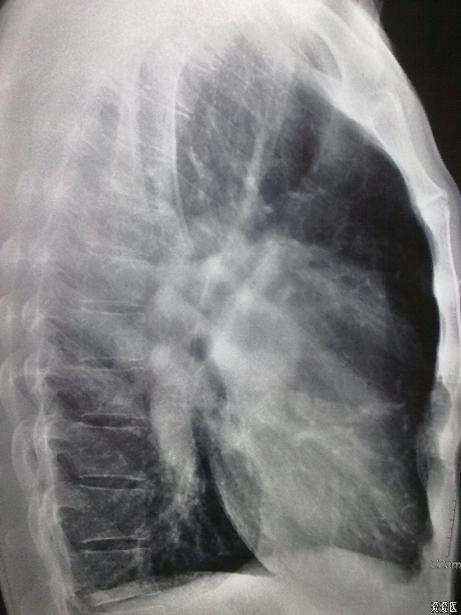
典型肺动脉高压胸片(室间隔缺损)

w****e 楼主
+关注
典型肺动脉高压胸片(室间隔缺损)






2011-06-06 16:54:39  7922 浏览
全部评论
无***律 抢首赞
谢谢楼主发如此好的资料供大家学习,希望继续上传类似的好资料,大家共同进步
2012-06-25 20:35:49·贵州省 回复
n****n 抢首赞
1、肺动脉段突出。2、肺血管纹理变少了。3、右心室大,心尖圆钝。。
2012-06-21 23:18:31·广东省 回复
陪****海 抢首赞
说下诊断报告
2012-06-21 12:48:12·海南省 回复
登录后查看全部评论
8
热门推荐
教科书式病例,医生有多想遇见?
医生会帮同行解释吗?
医生如何当好健康“守门人”?
医生的诊疗时间,够用吗?