诊疗助手APP 百万医护都在兼职、学习、交流
立即打开

急性胃穿孔一例

t****9 楼主
+关注
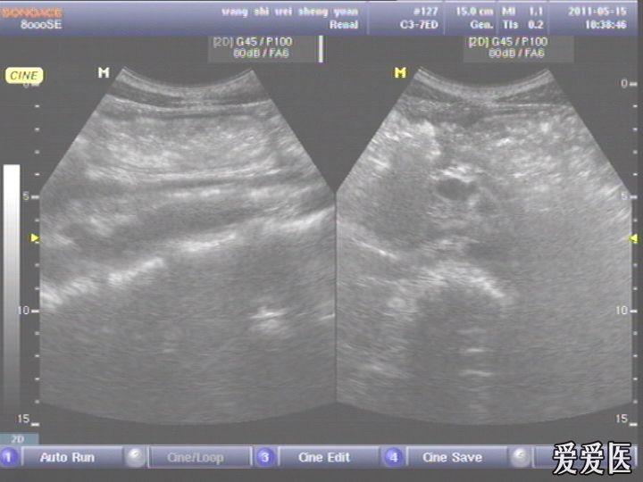
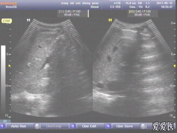
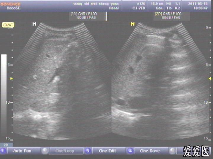
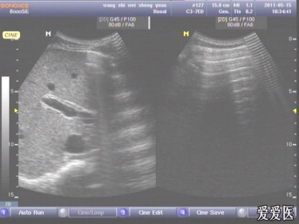
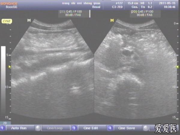
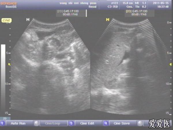
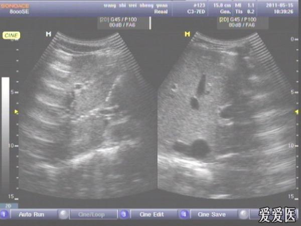
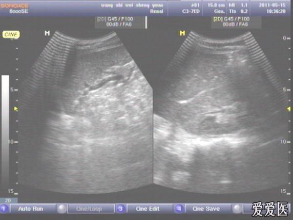
患者,男,38岁,进食后突发上腹部持续性剧烈疼痛一小时来查。超声见横膈与肝之间、上腹部皮下气体强反射回声,后伴多重反射,肝前、肝肾间隙,腹腔肠管间均可见游离无回声区。直视腹部见上腹部似板样。结合病史提示“胃肠道穿孔”。急诊手术证实。








2011-05-17 11:44:23  15181 浏览
全部评论
沙***4 抢首赞
左肝外叶的那个切面如果能看到气体回声的话,那就应该高度怀疑这个病了。好切面,好好学习,太有用了,楼主辛苦感谢感谢。
2011-06-18 12:27:56·黑龙江省 回复
x****3 抢首赞
学习了 要学的东西太多太多了
2011-06-15 11:28:36·安徽省 回复
霁**风 抢首赞
以前看到这样的病例不太敢报,只是建议作腹透。再看到这样的病例就大胆了。谢谢楼主啊
2011-06-14 15:04:39·湖北省 回复
登录后查看全部评论
48
热门推荐
教科书式病例,医生有多想遇见?
医生会帮同行解释吗?
医生如何当好健康“守门人”?
医生的诊疗时间,够用吗?