少见的平片,大家看看哇!
s****3
楼主
+关注
本帖最后由 274005 于 2011-3-18 15:14 编辑 患者是因为腰痛入院检查腰椎,检查前并没有服用过造影剂!

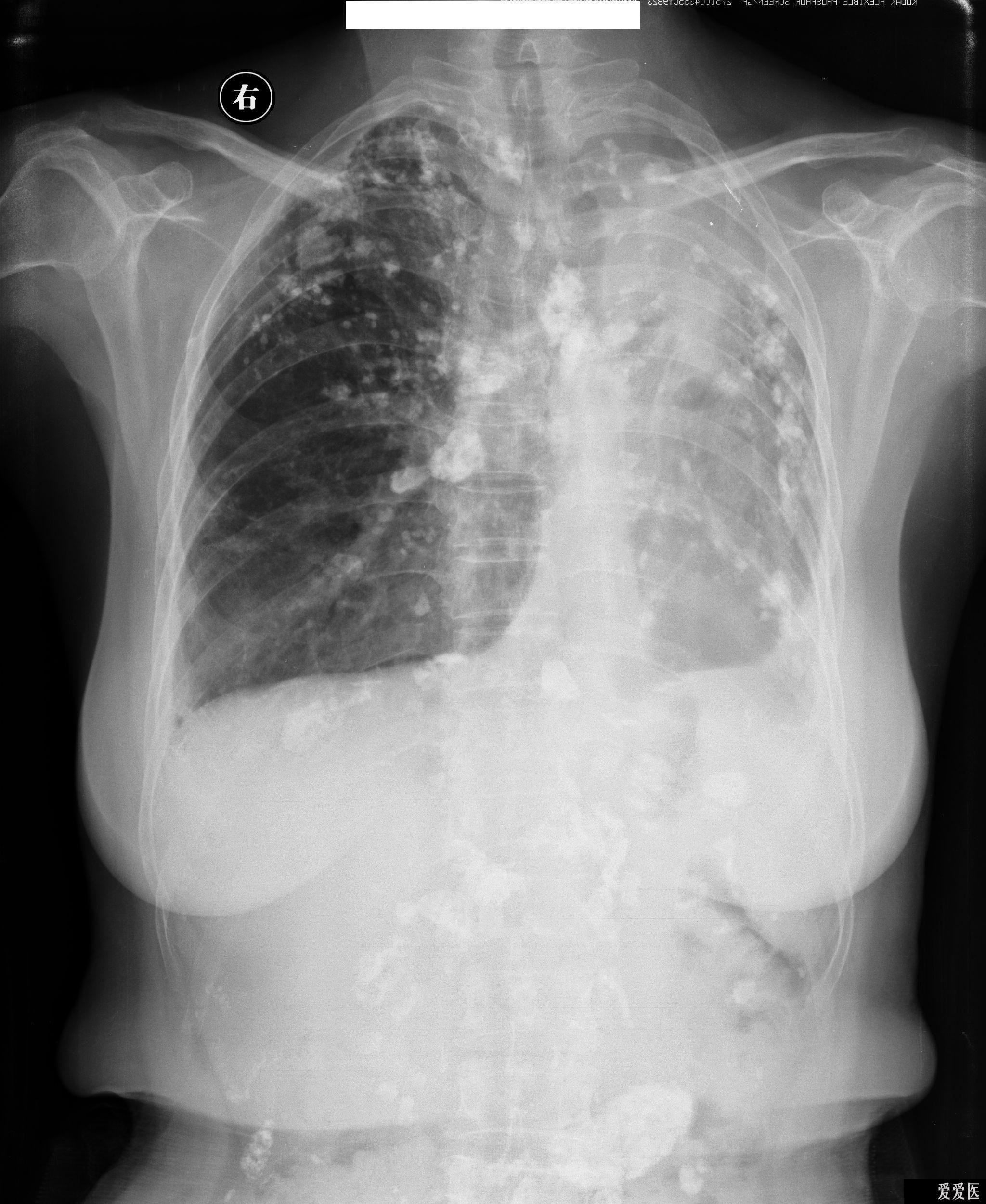
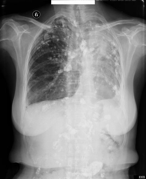
该患者摄腰椎正侧位后,发现腹腔非常罕见的广泛的钙化,而且双侧肋膈角变钝,左侧膈肌感觉明显向上有牵拉,左侧胸廓有塌陷。
之后拍摄胸片:

双侧胸腔散在广泛钙化,左肺萎缩,心脏纵膈向左侧移位。
X线诊断:结合腹部X线征象,为双肺陈旧性肺结核并胸腔、腹腔淋巴结钙化;左肺萎缩;左侧胸膜增厚、钙化致左胸廓塌陷。
2011-03-16 12:53:04 57724 浏览