诊疗助手APP
百万医护都在兼职、学习、交流
立即打开
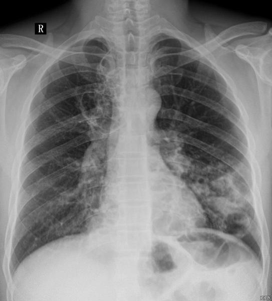
胸部正位DR片——双肺多发透亮影
超***8
楼主
+关注
患者男,40岁,咳嗽、咳痰伴发热、纳差一周。
2011-03-08 17:22:32 8952 浏览
全部评论
随**化
抢首赞
慢支伴左下支肺 囊泡影有伪影的可能
2011-03-08 22:23:25
·
浙江省
回复
今***了
抢首赞
右上肺及左下肺多发囊状阴影,左下肺伴发片状影,考虑多囊肺伴感染。鉴别:1.支气管扩张,多发生下肺,有咳血史。2.肺结核空洞,厚壁、上肺多见,伴咳血、低热的结核症状3.肺脓肿,单发、厚壁伴液平多见。4.肺癌空洞,单发、壁结节、厚壁等。
2011-03-08 20:26:02
·
河北省
回复
z****o
抢首赞
建议CT检查了解情况!
2011-03-08 20:18:13
·
湖南省
回复
登录后查看全部评论
5
发送
热门推荐
教科书式病例,医生有多想遇见?
医生会帮同行解释吗?
医生如何当好健康“守门人”?
医生的诊疗时间,够用吗?