诊疗助手APP
百万医护都在兼职、学习、交流
立即打开
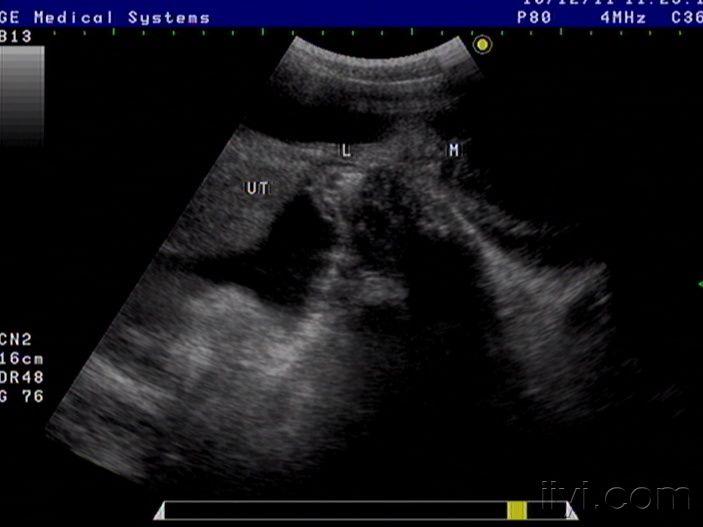
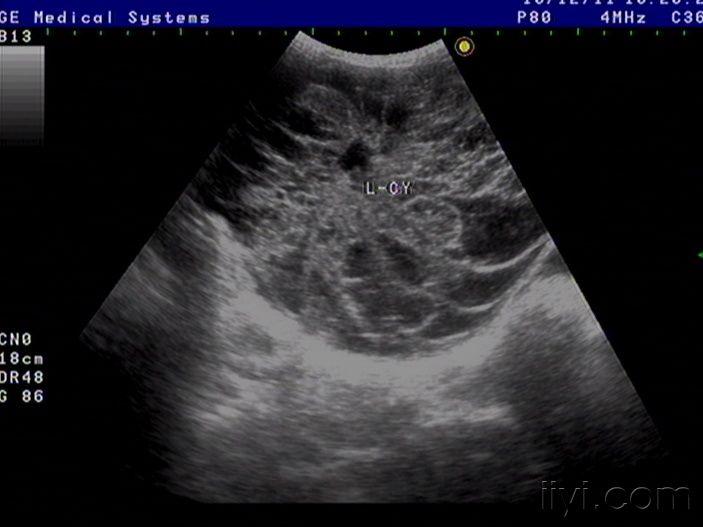
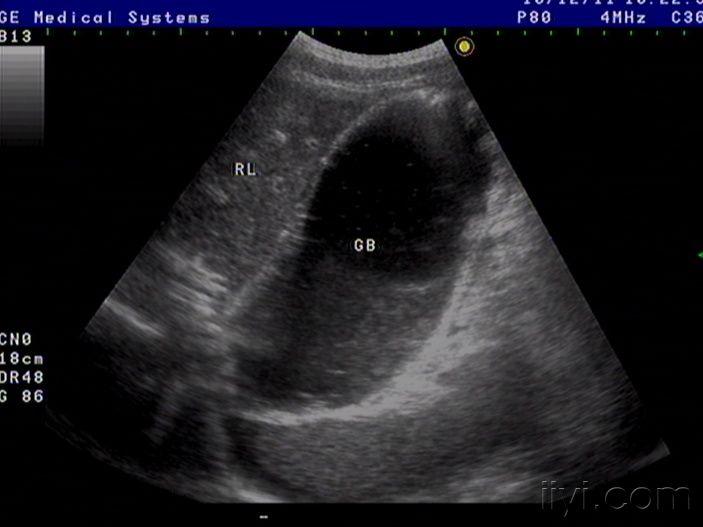
腹盆腔包块
考***苦
楼主
+关注
42岁女性患者,自觉腹胀一月余,未诉其它不适,月经规则,彩超中下腹部至盆腔左右各一包块如图,请老师看看像什么,以前没见过这样的这么大的包块
2010-12-11 14:32:08 5449 浏览
全部评论
宫*慧
抢首赞
粘液性囊腺癌
2010-12-29 20:38:40
·
内蒙古自治区
回复
g****3
抢首赞
19楼主,库肯柏氏瘤声像图有什么特点呢,谢谢
2010-12-29 00:23:56
·
浙江省
回复
考***苦
抢首赞
是啊,网膜都已经广泛转移了,
2010-12-27 23:56:09
·
湖北省
回复
登录后查看全部评论
30
发送
热门推荐
教科书式病例,医生有多想遇见?
医生会帮同行解释吗?
医生如何当好健康“守门人”?
医生的诊疗时间,够用吗?