诊疗助手APP
百万医护都在兼职、学习、交流
立即打开
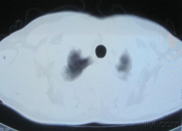
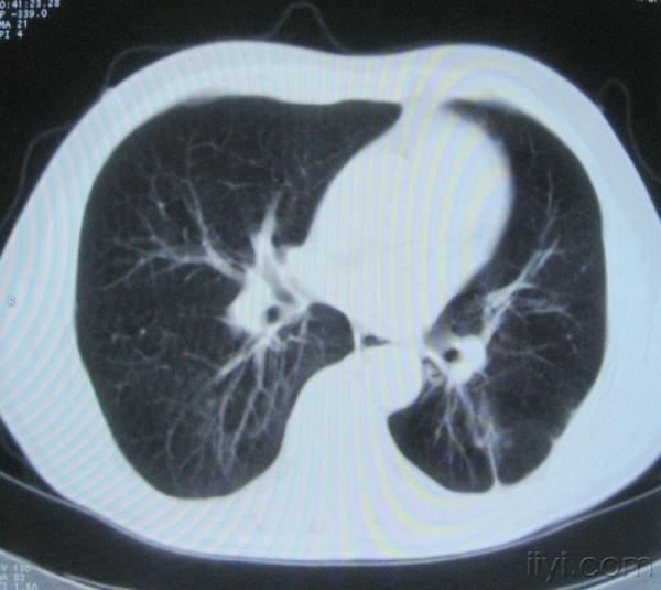
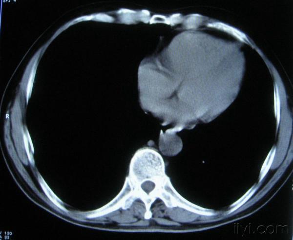
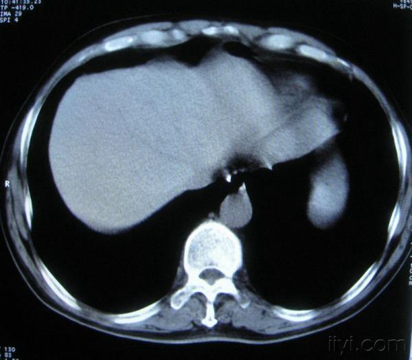
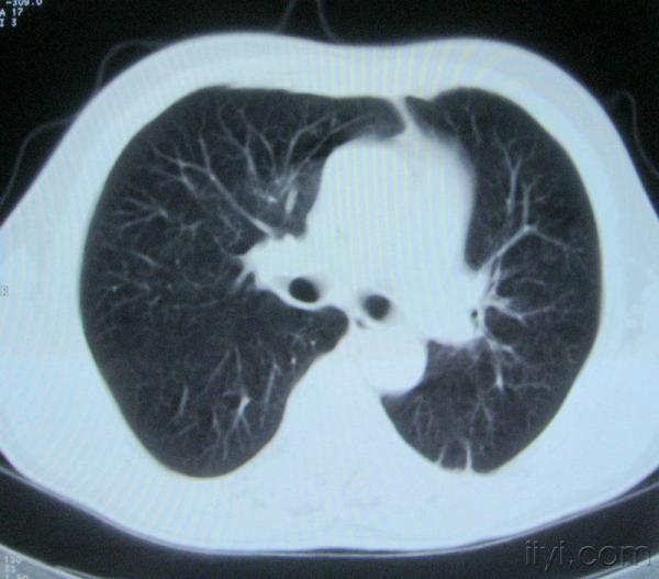
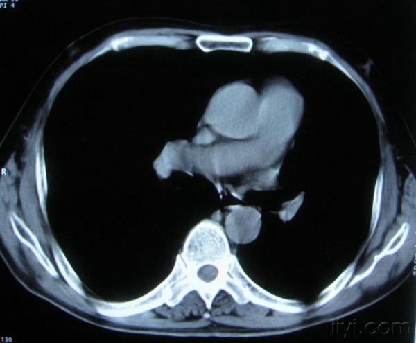
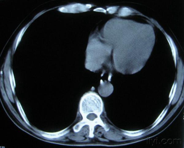
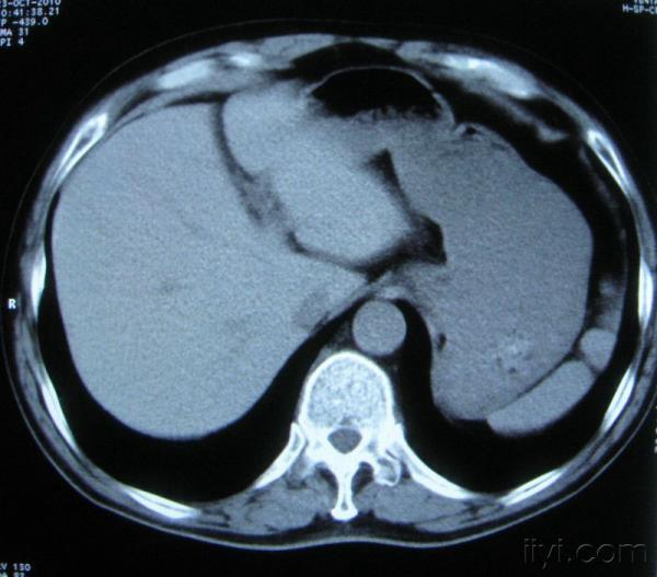
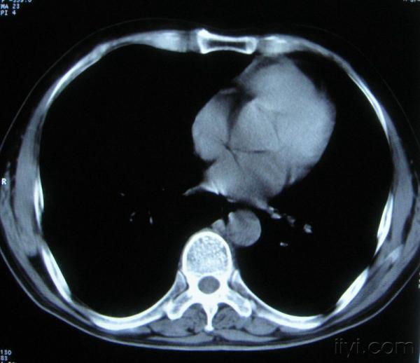
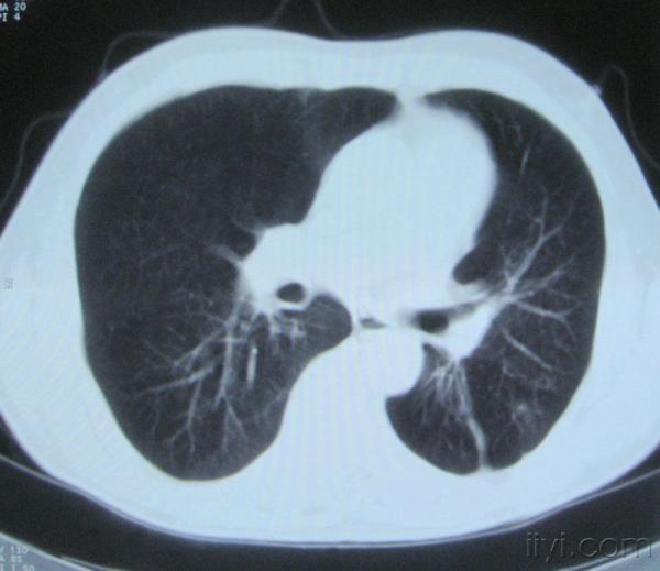
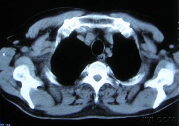
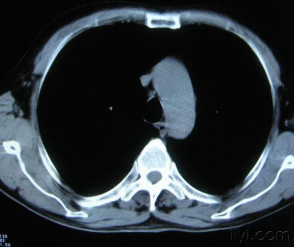
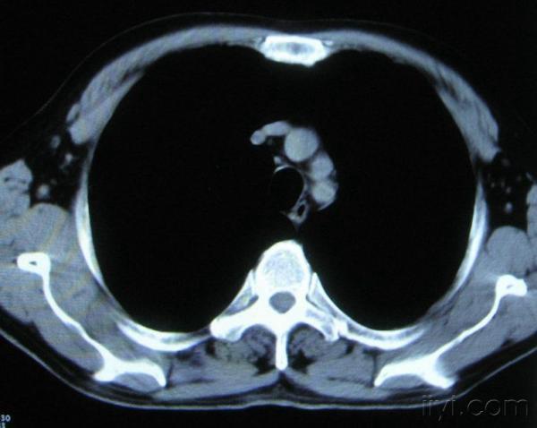
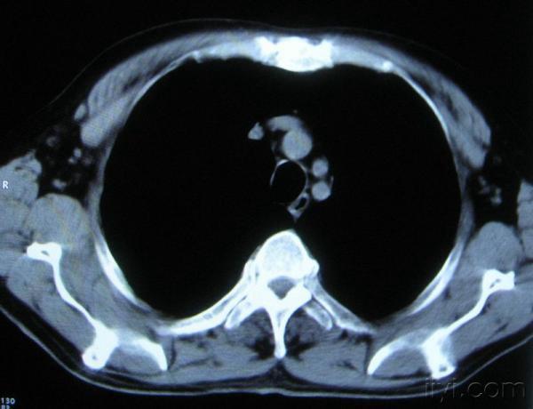
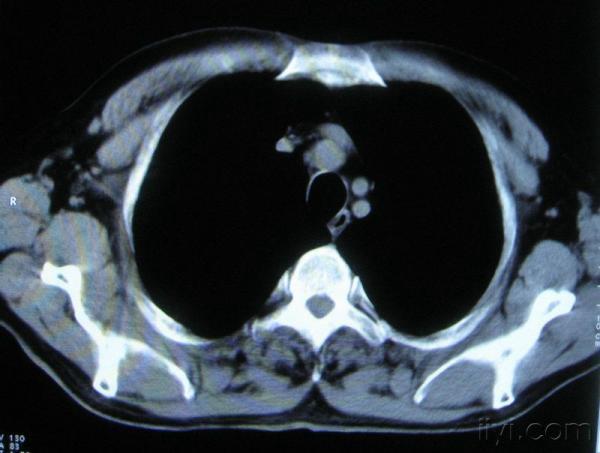
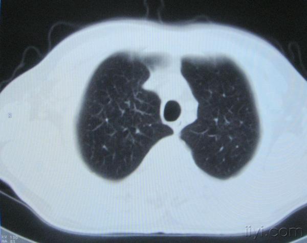
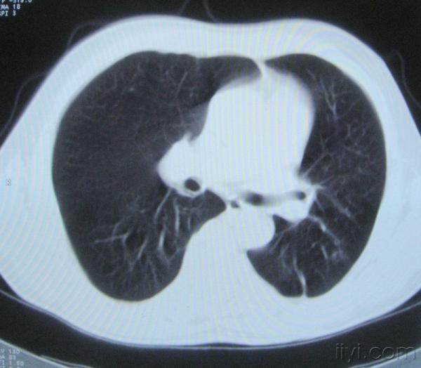
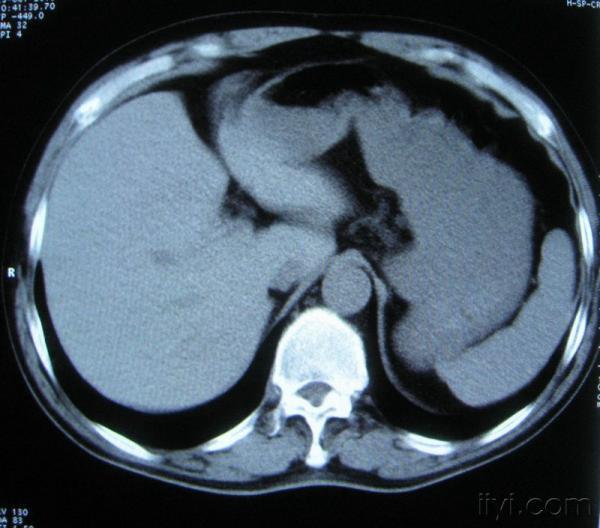
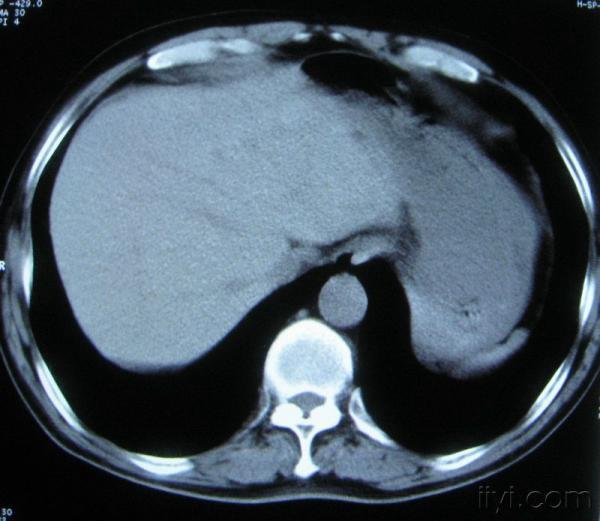
男。60岁,胸片示支气管炎治疗后复查CT。
x****8
楼主
+关注
男。60岁,胸片示支气管炎治疗后复查CT。
2010-10-24 01:17:07 8503 浏览
全部评论
x****9
抢首赞
应该是淋巴结没问题的,中心液化坏死是有这种情况的~~胸科常见到
2010-11-06 23:51:01
·
吉林省
回复
周*
抢首赞
你指那个肯定是淋巴结,中央系坏死,这很常见,特别在双侧腹股沟会经常看到。这个双侧腋窝及纵隔见多发小淋巴结征。
2010-11-06 21:51:58
·
福建省
回复
b****0
抢首赞
根据位置考虑应该是淋巴结,密度不均,是因为肿大的淋巴结中心液化坏死
2010-10-26 22:56:16
·
河北省
回复
登录后查看全部评论
9
发送
热门推荐
教科书式病例,医生有多想遇见?
医生会帮同行解释吗?
医生如何当好健康“守门人”?
医生的诊疗时间,够用吗?