诊疗助手APP 百万医护都在兼职、学习、交流
立即打开

胎儿心包积液

f****8 楼主
+关注
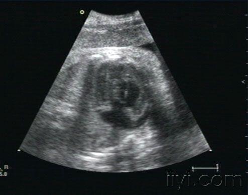
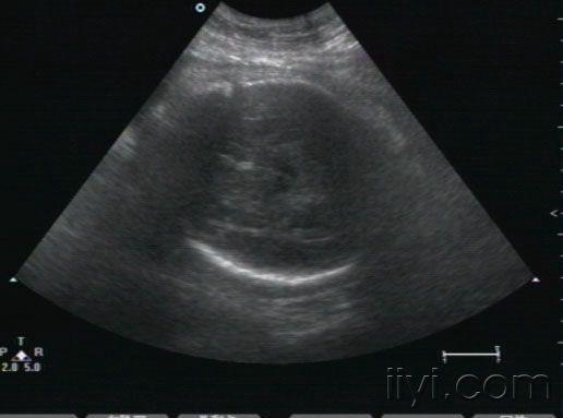
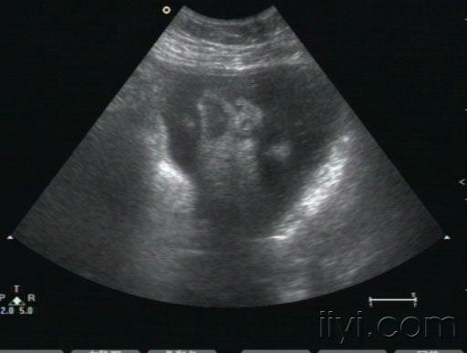
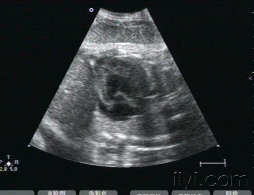
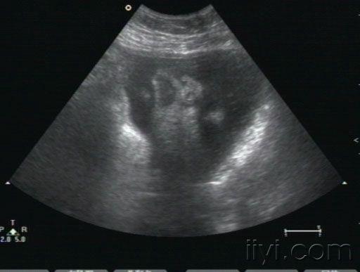
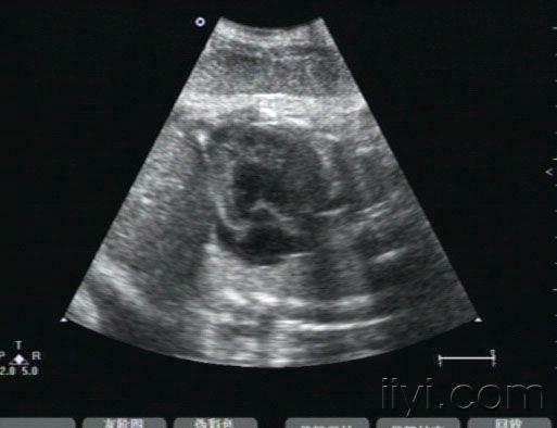
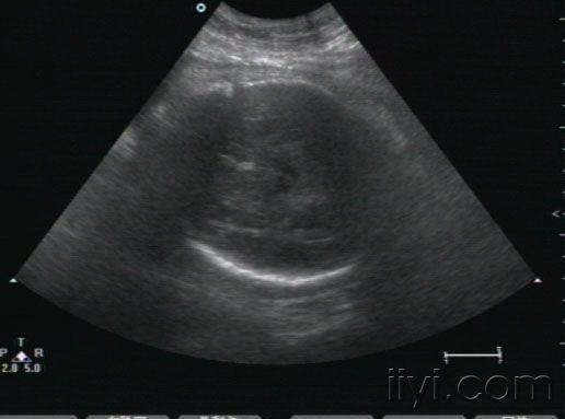
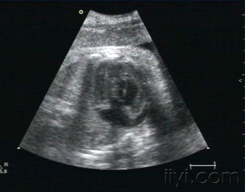
  • 孕38周,10天以前在多家医院检查胎儿正常。近一周来自觉腹胀,下坠。发现胎儿心包积液,并且右室壁好象很厚。胎儿生下来后,临床医生没有听到杂音,遗憾的是孩子也没来检查心脏。我们没有开展胎儿心脏,请各位专家帮忙看下,到底是什么原因,胎儿右室壁增厚考虑什么病,为什么生后没有杂音呢?
  • 附件:您需要登录才可以下载或查看附件。没有账号?注册
  • 本坛属非营利性公益***,仅供医学相关人士专业与情感交流。

    本站始终坚持不涉及政治和宗教话题

    网络媒体转载我站作品请注明我站名称和链接;其他类型媒体未经许可,请勿转载我站作品!

    站内部分资源来自互联网,本站出于学习和科研目的进行讨论,如侵犯版权请联系我们,将在2日内处理。





  • 2010-08-26 21:07:15  3210 浏览
    全部评论
    抢沙发,发首评,稳占C位! 立即抢沙发
    热门推荐
    教科书式病例,医生有多想遇见?
    医生会帮同行解释吗?
    医生如何当好健康“守门人”?
    医生的诊疗时间,够用吗?