诊疗助手APP
百万医护都在兼职、学习、交流
立即打开
这个桡骨远端骨折手术怎么做?
w****i
楼主
+关注
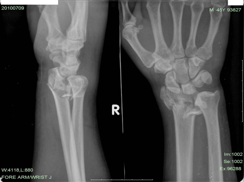
本帖最后由 wangshunzhi 于 2010-7-20 12:48 编辑
患者男性,45岁,外伤后6天,拟明天行开放复位内固定术。请战友指导手术方案及细节!
个人考虑:
1。手法复位,外支架撑开,临时固定;
2。掌侧切口,复位掌侧骨折,置入掌侧小T型锁定钢板,两枚螺钉临时固定钢板近端;
3。背侧切口,复位背侧骨折,利用钢针固定背侧骨块,必要时植骨。
2010-07-13 18:37:41 27404 浏览
全部评论
l****5
抢首赞
这种病例;目前个人觉得好的办法是外固定支架结合克氏针有限内固定技术外固定支架可以叫做短缩移位克氏针可以打住部分大的骨折块对小的骨折块也起到阻挡,间接稳定的作用且内外结合:术后可以以早去除外固定,有内固定克氏针存在骨折不至于移位可以早期进行功能锻炼我们这几年来用这一术式做; 几十例恢复良好 。论文:克氏针结合外固定支架治疗桡骨远端不稳定骨折30例 发表于骨与关节损伤杂志刘德俊.严益军.王兴平.李关兴
2011-07-17 14:23:25
·
江苏省
回复
d****4
抢首赞
x片提示:右桡骨远端严重粉碎性骨折伴下尺桡关节脱位。建议:1.手法复位可能达不到想要的目的,关节面恢复不完整,创伤性关节炎不可避免。病员正是壮年,若是老年人,她对关节活动要求不高的话,也可以,(沟通清楚后)我们遇到很多老年患者,叫做手术,坚决不做,其要求不高。2.对于这个患者,建议手术治疗(手术目的:尽量恢复关节面的完整,恢复关节间隙),治疗方案有三:a掌背侧切开解剖复位,必要时植骨,细钢针固定,恢复关节面,缝合,外固定支架固定。 b,掌背侧切开解剖复位,必要时植骨,细钢针固定,恢复关节面,长的重建钢板自桡骨到第二掌骨固定。c术中看如果远端能曾受螺钉的话,也可以考虑“T”行钢板固定。
2011-07-17 11:26:00
·
四川省
回复
y****e
抢首赞
患者以后可能会有创伤性关节炎,腕关节活动可能有问题
2011-07-17 11:07:26
·
湖北省
回复
登录后查看全部评论
99+
发送
热门推荐
教科书式病例,医生有多想遇见?
医生会帮同行解释吗?
医生如何当好健康“守门人”?
医生的诊疗时间,够用吗?