早几天做的一例严重开放性距骨骨折并距下关节脱位
w****i
楼主
+关注
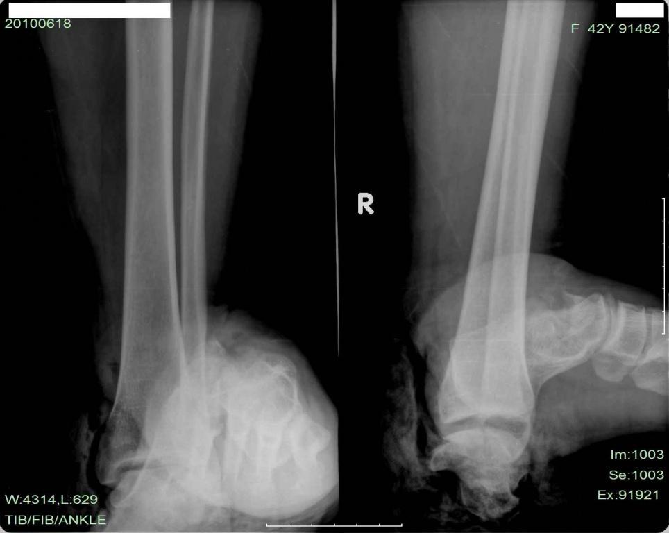
本帖最后由 wangshunzhi 于 2010-6-30 23:18 编辑 患者江某,女,42岁,外伤致左踝疼痛,畸形,流血8小时入院。
术中见:胫后神经呈马尾状撕断,胫后血管未断,搏动可。距骨颈骨折,距骨体内前方骨折,距下关节脱位,踝管破裂,踝管内肌腱脱位,腓骨肌上支持带破裂,腓骨长短肌腱脱位。
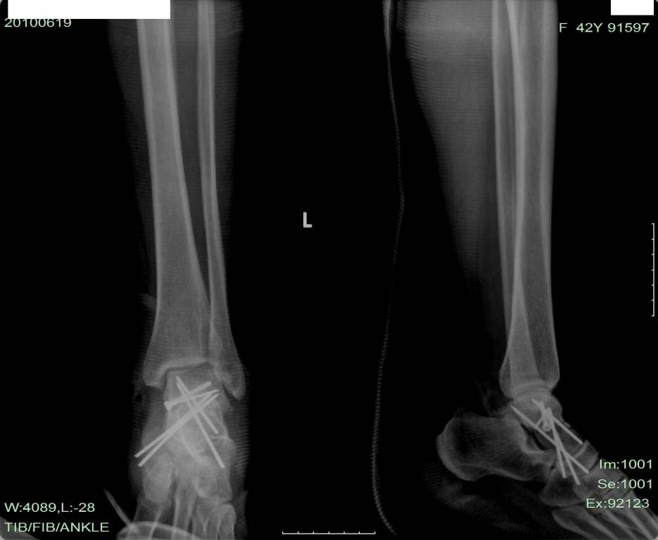
处理:予距骨骨折复位固定,距下关节脱位复位,肌腱复位,胫后神经未修复,伤口闭合,石膏托外固定。
请战友指正!


2010-06-30 23:00:36 10644 浏览