诊疗助手APP 百万医护都在兼职、学习、交流
立即打开

来看看刚出炉的病例:是不是输卵管积水啊?

玲**网 楼主
+关注
本帖最后由 玲玲的网 于 2010-6-18 22:12 编辑

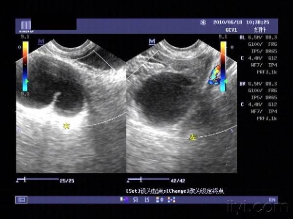
31岁。来看不孕的。她什么也不肯告诉你。让你自己猜~ 晕哦~
大家来帮我看看,右边这个是输卵管积水还是卵巢囊肿?


前位子宫


双侧卵巢


右侧附件区和左侧附件区各见一囊性包块


右侧附件区的包块。
你考虑什么呢?
2010-06-18 22:11:38  6392 浏览
全部评论
晏*利 抢首赞
应该是输卵管积液吧
2015-07-13 16:22:41·四川省 回复
景****4 抢首赞
在双侧卵巢清晰显示的情况下,附件区囊状光团,尤其是呈肠管形时,输卵管积液可能极大。
2014-01-09 18:06:56·江西省 回复
c****y 抢首赞
假如我下结论就下附件区囊性占位、保守点
2014-01-09 12:06:07·四川省 回复
登录后查看全部评论
15
热门推荐
教科书式病例,医生有多想遇见?
医生会帮同行解释吗?
医生如何当好健康“守门人”?
医生的诊疗时间,够用吗?