诊疗助手APP
百万医护都在兼职、学习、交流
立即打开
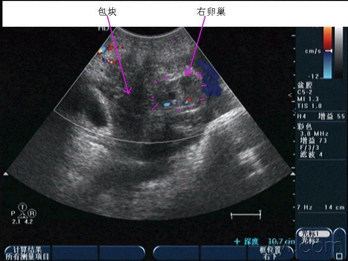
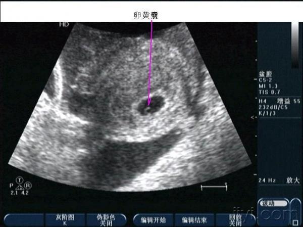
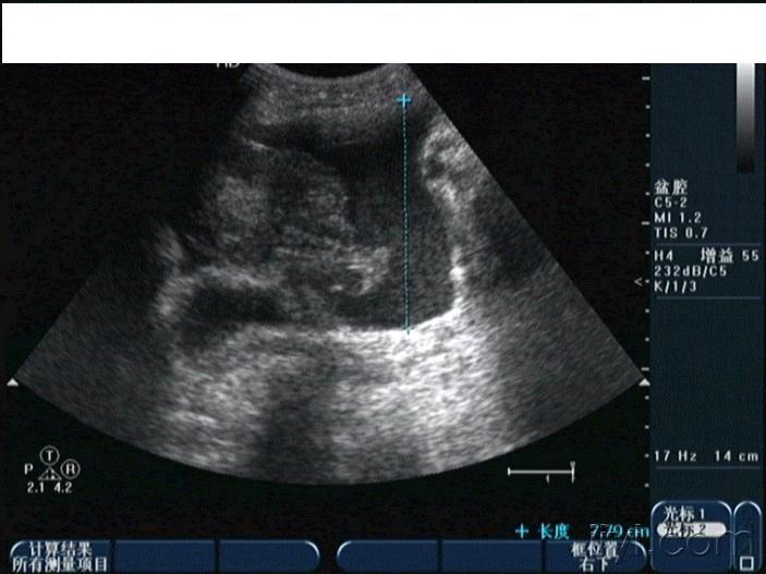
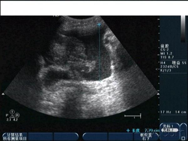
早孕并黄体破裂
山*
楼主
+关注
晚上房事后腹痛入院,第二天早晨8点多超声所见如下,手术证术为黄体破裂。
2010-06-10 18:18:48 6405 浏览
全部评论
赖*
抢首赞
学习了,谢谢
2010-06-20 18:41:17
·
江西省
回复
l****9
抢首赞
就地爱上,学习了
2010-06-19 10:59:48
·
重庆市
回复
彩**我
抢首赞
学习了,经典,漂亮
2010-06-18 23:02:27
·
山西省
回复
登录后查看全部评论
21
发送
热门推荐
教科书式病例,医生有多想遇见?
医生会帮同行解释吗?
医生如何当好健康“守门人”?
医生的诊疗时间,够用吗?