诊疗助手APP 百万医护都在兼职、学习、交流
立即打开

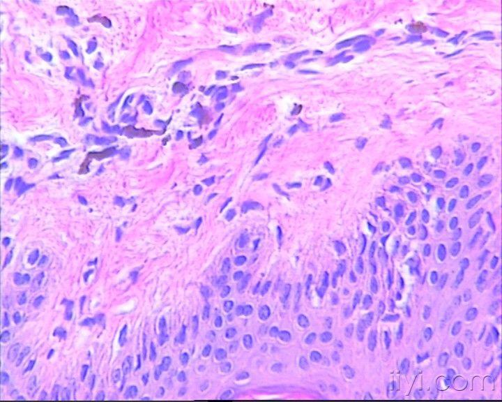
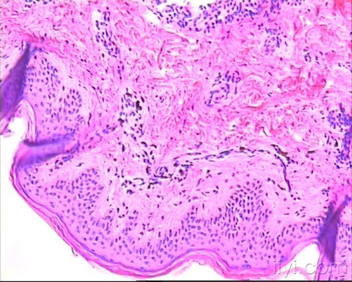
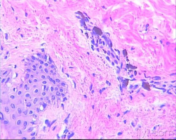
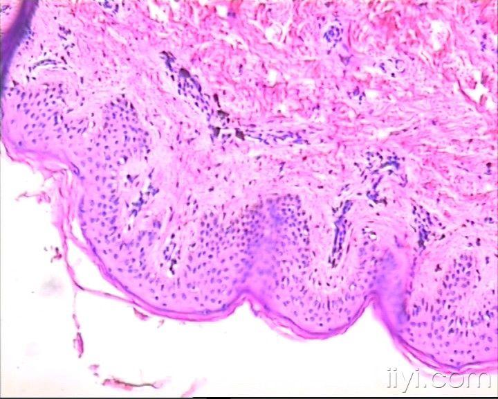
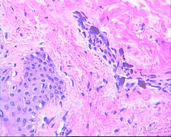
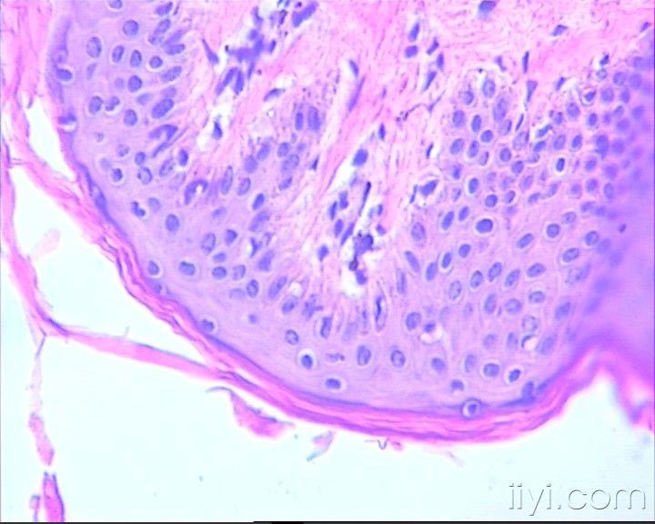
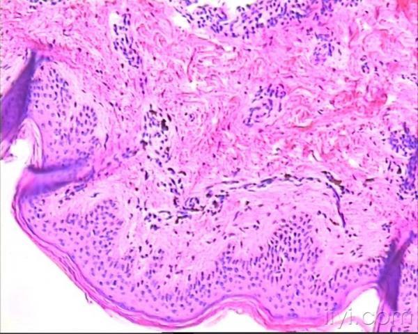
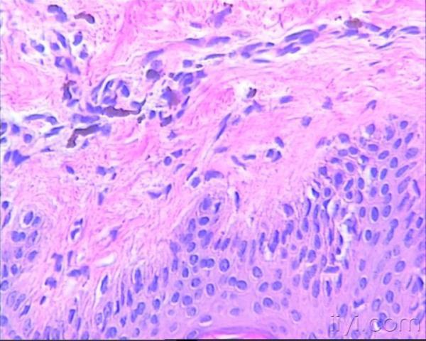
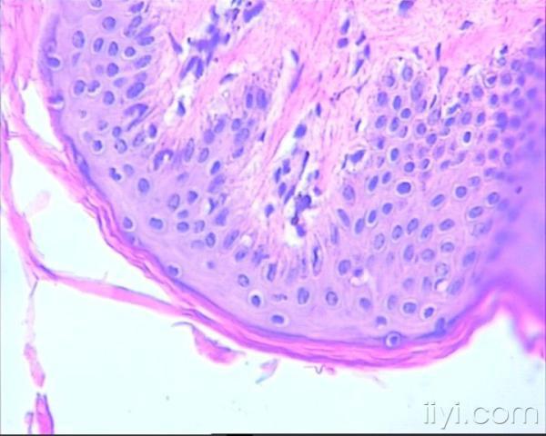
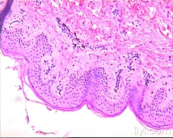
全身皮肤色斑——色素性玫瑰疹

王*宏 楼主
+关注
本帖最后由 王立宏 于 2010-5-18 14:58 编辑

患者女,12岁,2010年1月从腹部皮肤开始出现鲜红色皮肤斑块,伴瘙痒,逐渐蔓延至全身皮肤(面部,手、足除外)。2010年3月开始,皮肤斑块转为褐色。病检取自背部皮肤。患者肝肾功及血常规均正常,无其它异常表现,目前皮损无瘙痒。
我们最终考虑为色素性玫瑰疹。






2010-05-12 17:59:58  14424 浏览
全部评论
u****4 抢首赞
有治好了吗,好像和我女儿的一样,到底是什么病来的
2021-08-17 21:47:57·广东省 回复
王*宏 抢首赞
该患者目前无新发皮疹,旧的皮疹也逐渐消退了。
2010-10-13 22:19:41·四川省 回复
l****6 抢首赞
好图
2010-05-23 15:21:54·湖北省 回复
登录后查看全部评论
26
热门推荐
教科书式病例,医生有多想遇见?
医生会帮同行解释吗?
医生如何当好健康“守门人”?
医生的诊疗时间,够用吗?