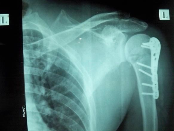
左肱骨外科颈骨折伴左肩关节脱位
5****2
楼主
+关注
患者男,43岁,从约3米高处坠落,左肩关节及上臂肿胀、疼痛活动受限3天入院。
查体:一般状况好,神志清楚,自动**。体温37.1℃,脉搏、呼吸、血压正常。头颅五官胸腹未见异常。脊柱无畸形及压痛。左肩关节明显肿胀,无皮肤裂口,可见大量皮肤瘀斑。左肩关节活动受限。左上肢皮肤浅感觉正常。左手各指感觉正常,左肩处叩击疼。
化验检查:肝肾功能电解质生化血糖均正常。血常规检查显示:血红蛋白130g/l.血象不高。

2010-04-10 09:59:16 36157 浏览