诊疗助手APP
百万医护都在兼职、学习、交流
立即打开
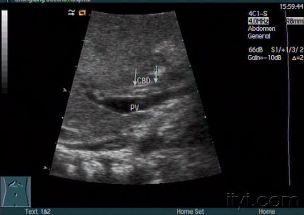
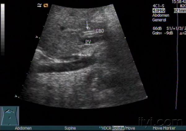
胆道闭锁?
z****a
楼主
+关注
小儿黄疸,是胆道闭锁吗??
2010-02-22 22:32:35 5129 浏览
全部评论
s****8
抢首赞
太难了,本身就很细了,追踪下去难度很大的,而且探头稍微歪曲就有可能看错。不知此病例进一步检查确诊了没有?
2016-02-05 18:56:57
·
江西省
回复
s****1
抢首赞
图像没有胆道闭锁的征象啊!越来越不易啊
2016-01-30 16:40:41
·
福建省
回复
y****2
抢首赞
这么看来超声诊断真的很难诊断的呀!!!
2010-02-24 22:09:59
·
重庆市
回复
登录后查看全部评论
6
发送
热门推荐
教科书式病例,医生有多想遇见?
医生会帮同行解释吗?
医生如何当好健康“守门人”?
医生的诊疗时间,够用吗?