诊疗助手APP 百万医护都在兼职、学习、交流
立即打开

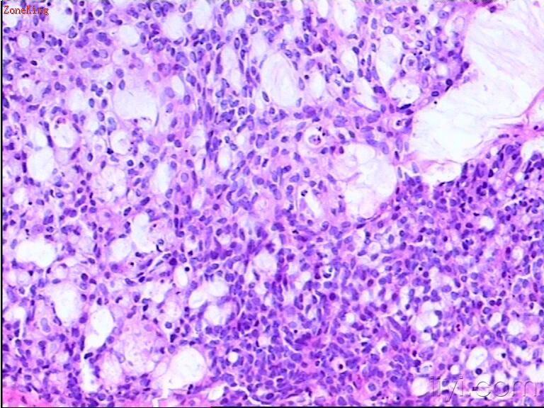
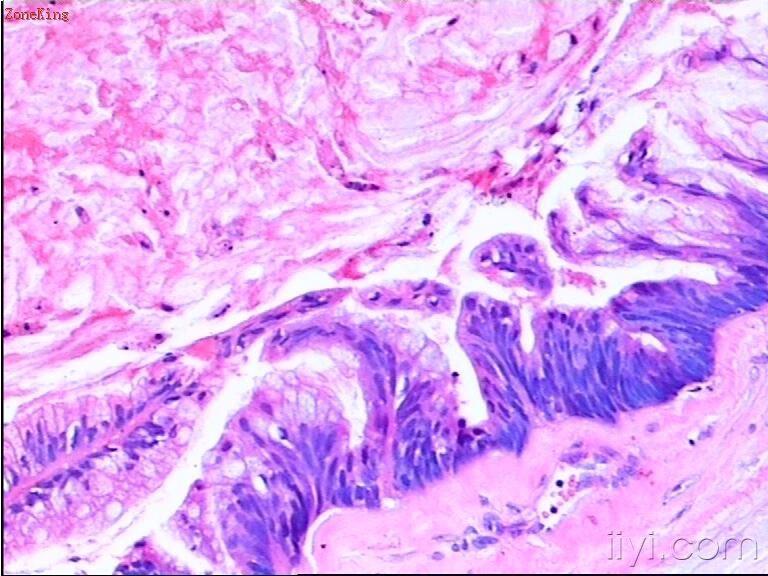
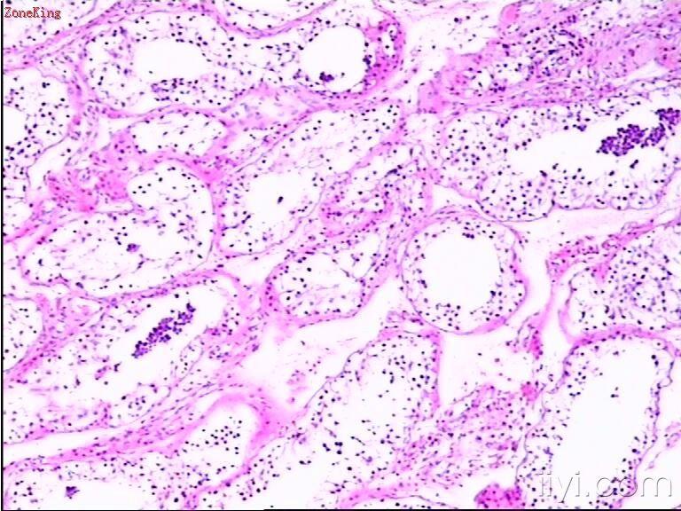
睾丸肿物

s****7 楼主
+关注
本帖最后由 pathology 于 2010-1-15 23:14 编辑

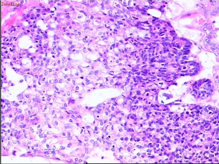
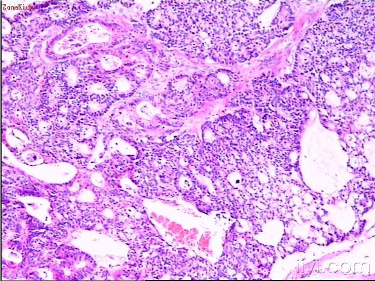
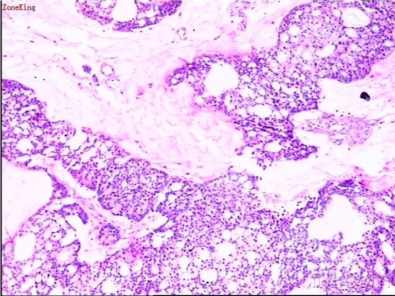
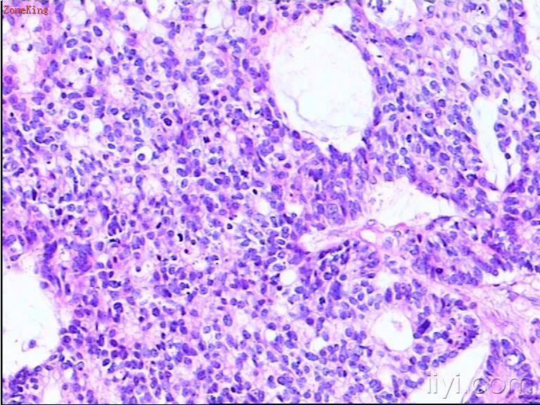
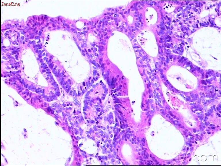
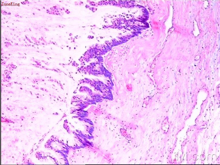
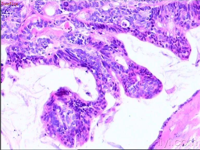
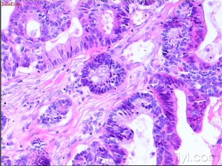
睾丸肿物,30岁,肿物位于睾丸白膜内,紧靠白膜,切面呈胶冻状。










2010-01-14 17:57:34  3085 浏览
全部评论
初**理 抢首赞
部分区被覆上皮为粘液性上皮,考虑为粘液性囊腺癌;
2010-01-17 07:45:21·山东省 回复
a***z 抢首赞
30岁男子,睾丸肿块,有以下考虑:1. NSGCT2. 睾丸类癌。可以作为NSGCT的一个成分,也可以是来源于自身内分泌细胞的一个原发肿瘤或者是来自胃肠道肿瘤的一个转移瘤。 建议进一步做相关免疫组化(PLAP、AFP、HPL、NSE、PSA、β-HCG、CD30、EMA等待)或全面检查确诊。
2010-01-14 21:46:49·河南省 回复
登录后查看全部评论
2
热门推荐
教科书式病例,医生有多想遇见?
医生会帮同行解释吗?
医生如何当好健康“守门人”?
医生的诊疗时间,够用吗?