诊疗助手APP 百万医护都在兼职、学习、交流
立即打开

pvL

医***贝 楼主
+关注
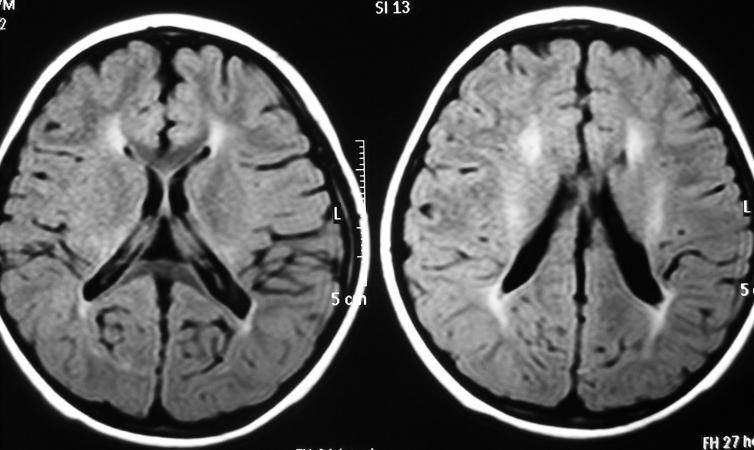
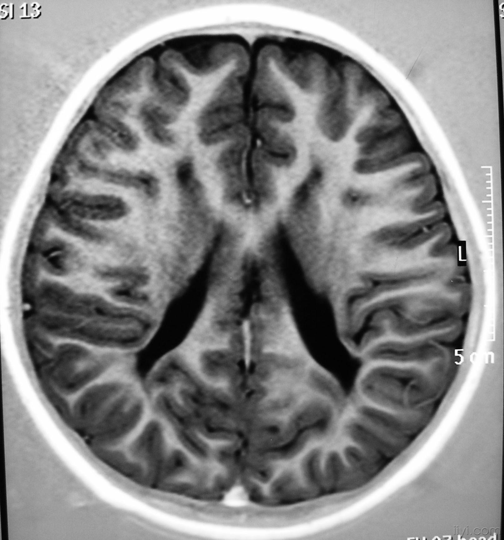
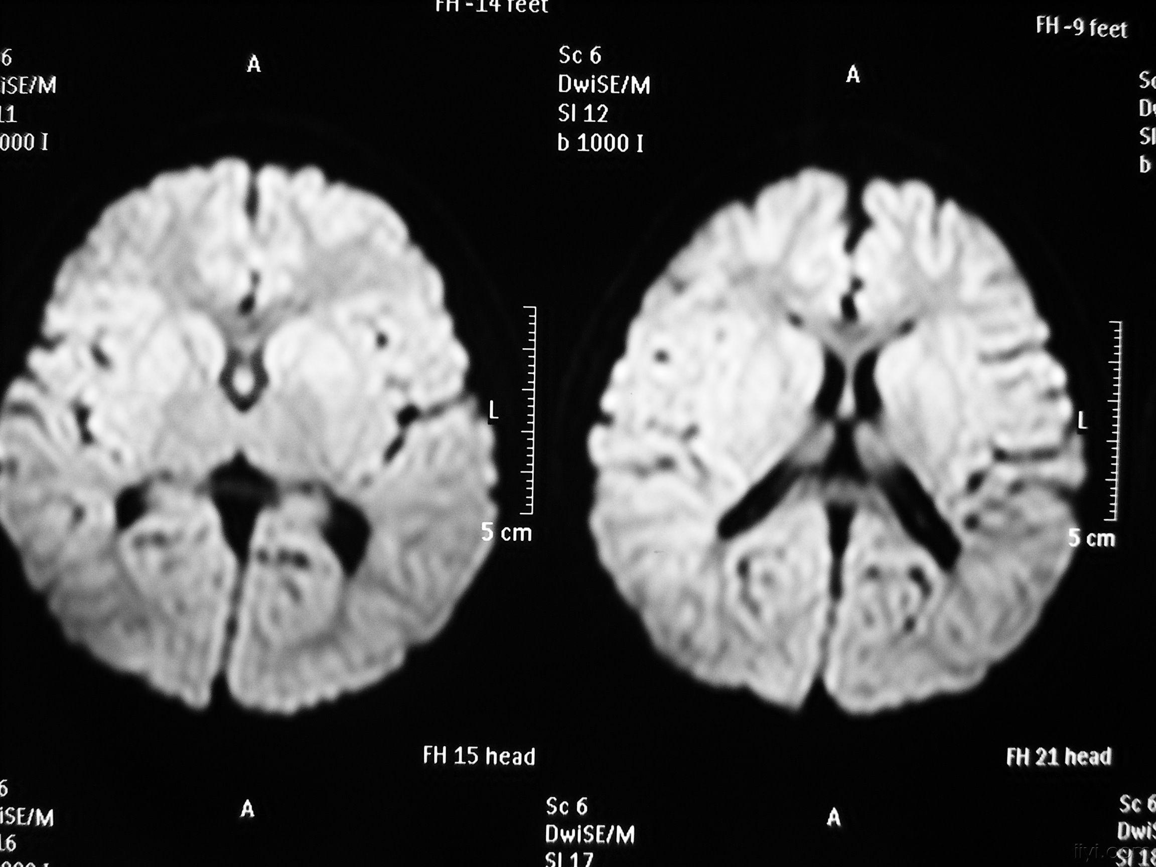
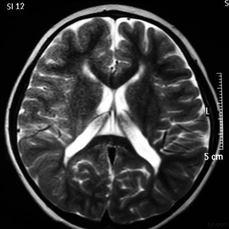
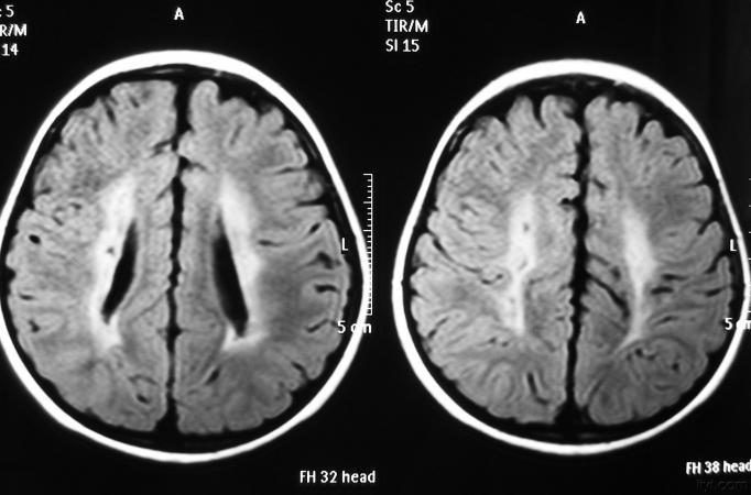
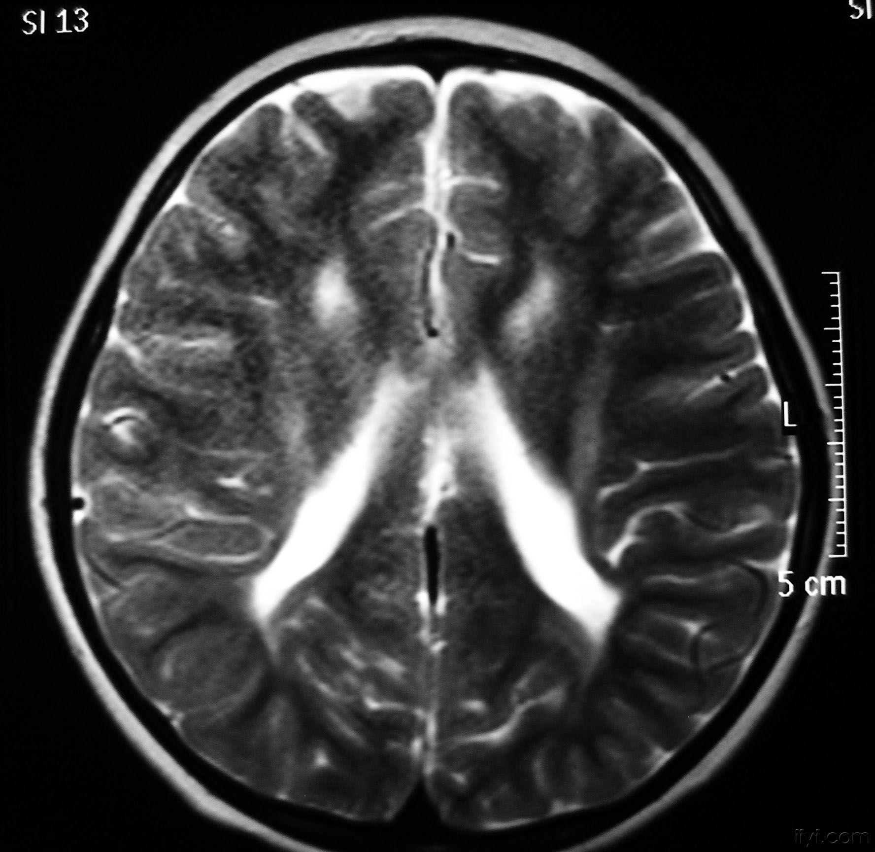
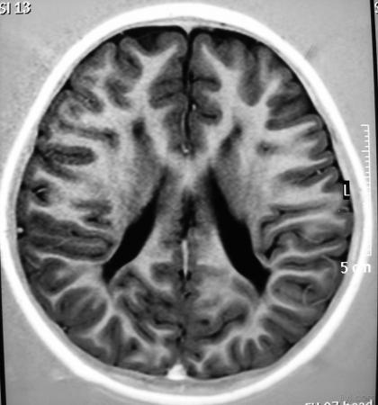
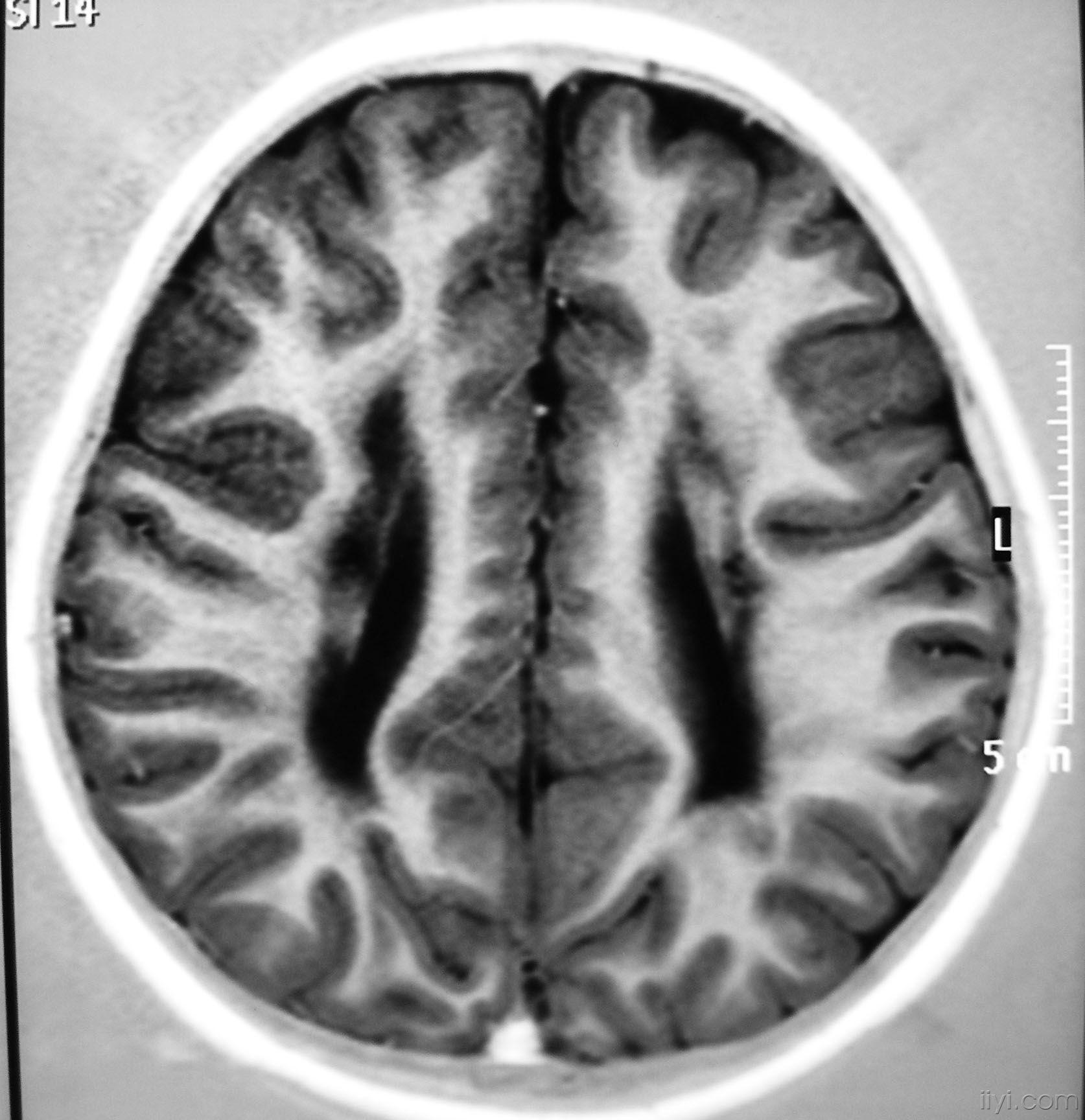
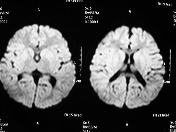
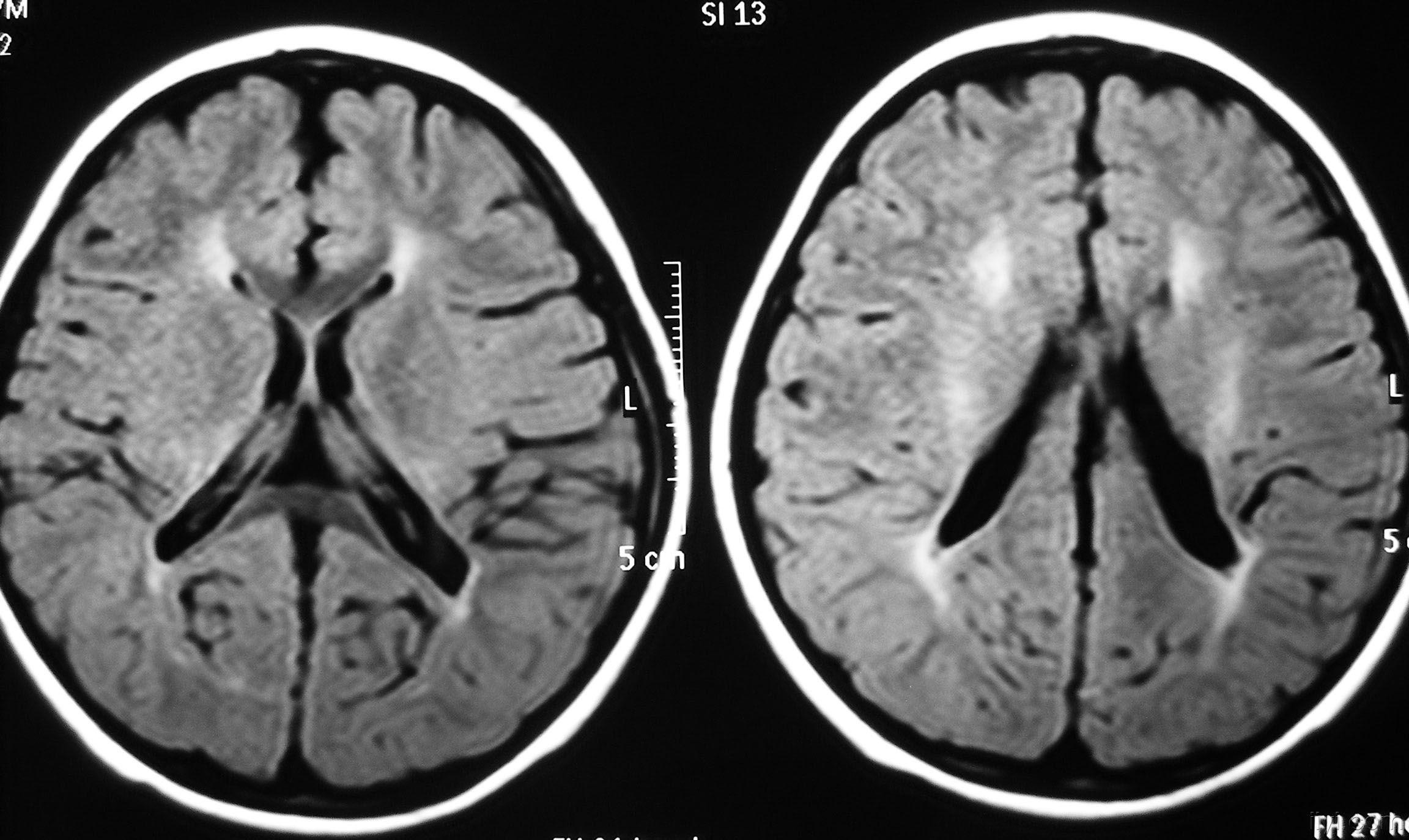
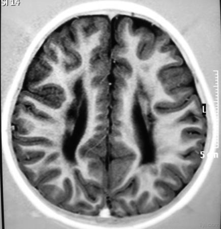
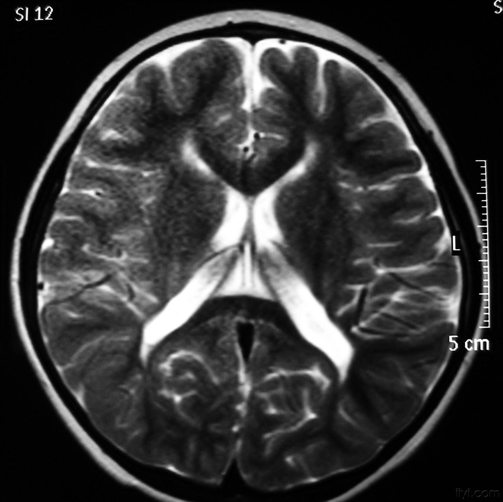
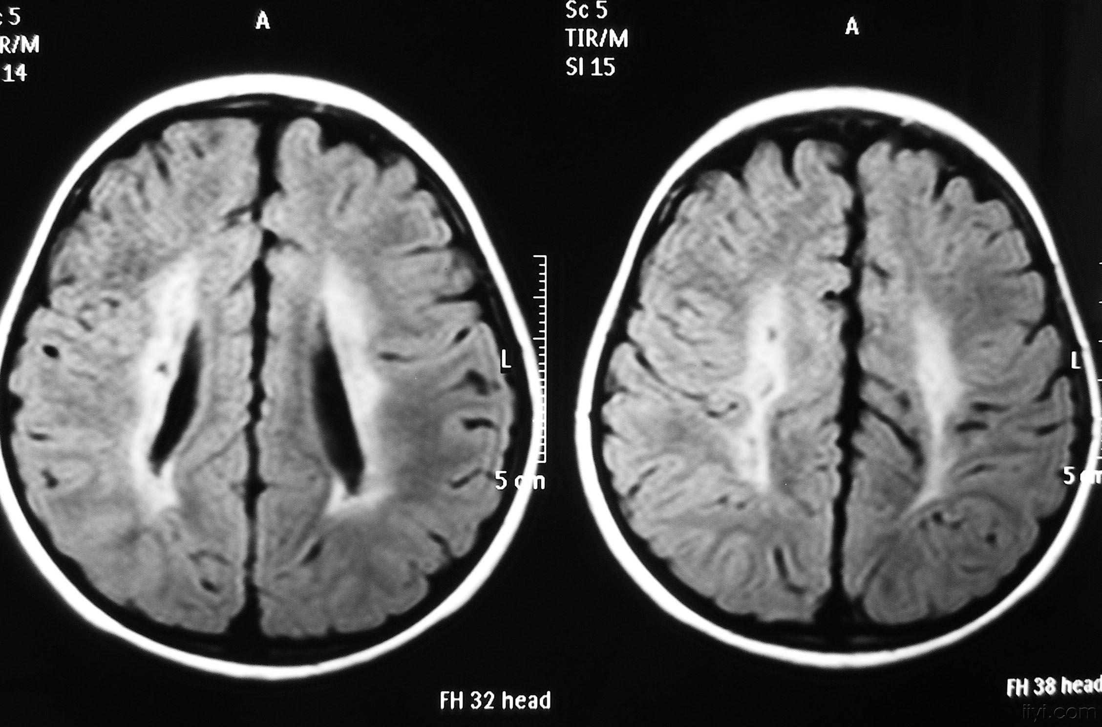
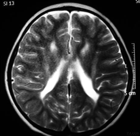
主要与脑缺血缺氧有关,多见于早产儿,是造成脑瘫的主要原因
影像学发生于侧脑室周围,侧脑室扩大,脑白质减少。扩大的侧脑室外缘常不规则为其特点,多为双侧脑室同时扩大。脑白质减少,脑皮层与脑室侧缘相近。MRI T1呈低信号,T2呈高信号。






2009-04-13 21:57:37  4590 浏览
全部评论
抢沙发,发首评,稳占C位! 立即抢沙发
热门推荐
教科书式病例,医生有多想遇见?
医生会帮同行解释吗?
医生如何当好健康“守门人”?
医生的诊疗时间,够用吗?