诊疗助手APP 百万医护都在兼职、学习、交流
立即打开

新病例(肝CT)

l****1 楼主
+关注
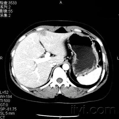
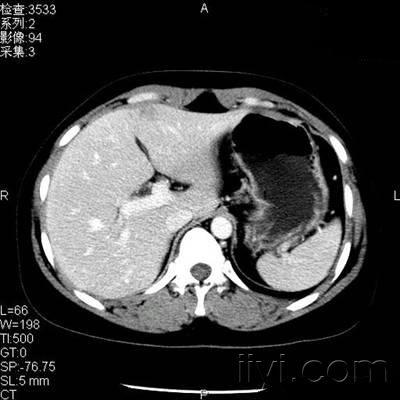
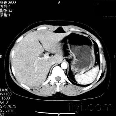
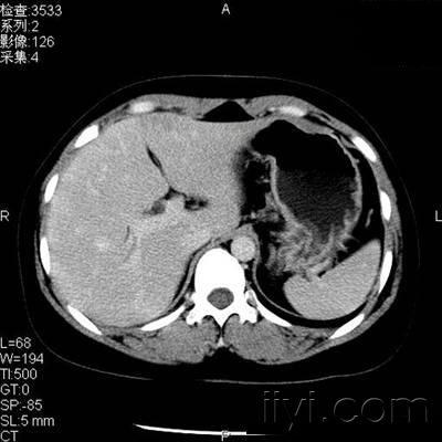
患者,女性,体检发现肝左叶低密度病变2天

[ 本帖最后由 梅雪 于 2009-1-16 08:45 编辑 ] 动脉期
门静脉期
平衡期
延迟5分钟
2009-01-15 23:11:58  5432 浏览
全部评论
l****1 抢首赞
肝门静脉是一条短粗的静脉干,由肠系膜上静脉和脾静脉汇合而成。进入肝十二指肠韧带内,在胆总管和肝固有动脉之间的后方上行至肝门,分左、右支进入肝左、右叶。 绝大多数人肝左叶镰状韧带旁肝实质由肝门静脉左支供血,少数人由附脐静脉供血。门静脉左支与附脐静脉间有微小交通。 CT增强扫描门静脉期所见镰旁假病灶与CTAP上显示的镰旁门静脉灌注缺损假病灶在部位和大小方面相当一致,提示这些患者该区域没有或较少门静脉供血。按肝血供平衡的原则,门静脉供血少则肝动脉供血要增加,但单层动态CT、螺旋CT肝动脉期以及CTA并未见到镰旁假病灶区域的异常强化表现,说明这些患者该区域既无或较少门静脉供血,也无或较少肝动脉供血,而是可能接受其他来源的供血,其静脉供血可能来源于附脐静脉。 附脐静脉是作为肝门静脉系中交通上下腔静脉的重要属支静脉,由脐周静脉网形成而汇入肝门静脉。 出生前成对的附脐静脉***引流进入静脉窦,随着卵黄静脉发展成门静脉,左侧附脐静脉流入门静脉左支,右侧则消失。生后附脐静脉纤维变形成圆韧带,内含连续不全闭锁的残腔,90%可用探针沟通。正常附脐静脉不开放或开放很小,仅88%个体可以观测到,CT图像上多不显示。 部分人附脐静脉收集脐周的部分血液,沿着位于肝镰状韧带游离缘的脐静脉索即肝圆韧带走行并进入肝左叶,经肝血窦与门脉左支相通,正常时附脐静脉血流是向肝性。 文献报道镰旁假病灶很少发生在肝硬化患者,这可能是因肝硬化门脉压力增加,附脐静脉的向肝性血流变成了离肝性血流。 目前有关附脐静脉起始、分布、开放率以及与脐静脉的关系尚有争议。有人通过尸体解剖研究认为附脐静脉在圆韧带近侧段由门静脉左支发出2-4条细小分之组成,远侧段来自脐周静脉网分支。还有人认为附脐静脉位于镰状韧带背侧游离缘,萎瘪细小,直径小于2mm,走行于圆韧带两侧,上行进入肝左叶,并与门静脉周围细小分支沟通。 因门静脉回流较附脐静脉回流相对较快,快速团注对比剂后适时地(门静脉期)快速扫描,将提高肝实质与镰旁肝附脐静脉回流区域的强化(密度)差别,从而出现镰旁区域肝左叶低密度假病灶;进入平衡期或延迟期后,动脉和静脉中的对比剂含量达到平衡,这种强化差别即消失,即低密度病灶又转为等密度而不能分辨。这可解释绝大多数的A型镰旁假病灶在延迟扫描期又转为等密度。 Yoshikawa等报道5例在普通CT增强(相当于门静脉期)显示为低密度的镰旁假病灶,经手术证实为局部脂肪浸润。 Ohashi等认为CT平扫即呈低密度的镰旁假病灶可能代表脂肪浸润,也即是说B型镰旁假病灶可能是因局部脂肪浸润所致。 镰旁局部特殊血供可能引起局部肝组织缺氧,而缺氧可引起局部脂肪浸润,这样,镰旁肝局部脂肪浸润的基础可能也是特殊血供所致。
2009-01-18 00:57:18·陕西省 回复
l****1 抢首赞
肝镰旁假病灶的螺旋CT表现: 部位:肝左叶内侧段或(和)左叶外侧段前缘镰状韧带旁。 大多数为单发,且多位于左叶内侧段,少部分位于左叶外侧段,极少数有2个镰旁假病灶,分别位于左叶内侧段和左叶外侧段,且呈对称性分布 大小:多较小,一般最大径线小于2.5cm。 形态:形状不一,可为不规则形、类圆形或三角形。 CT表现:门静脉期均呈低密度影,平扫、动脉期、平衡期或延迟期可为等或低密度影。 分型:根据平扫时密度可将其分为A型和B型。将平扫呈等密度者称为A型镰旁假病灶,将平扫呈低密度者称为B型镰旁假病灶。A型占绝大多数, B型仅占少数,有报道称A型占91%,B型占9%。 发生率:普通CT增强仅见于1%的患者,而螺旋CT增强扫描门静脉期可见于9%-17%的患者。 发生率的高低不等可能与CT扫描速度和增强扫描方法(对比剂量、注药流速和门静脉期开始扫描时间)有关,还可能与病例构成有关(如较少发生于肝硬化患者)。
2009-01-18 00:51:28·陕西省 回复
l****1 抢首赞
听说过镰状韧带旁假病灶吗,这个病例我们考虑镰旁假病灶。
2009-01-18 00:38:33·陕西省 回复
登录后查看全部评论
6
热门推荐
教科书式病例,医生有多想遇见?
医生会帮同行解释吗?
医生如何当好健康“守门人”?
医生的诊疗时间,够用吗?