【讨论】肝硬化合并肝内多发实性团块及大量腹水
天**扬
楼主
+关注
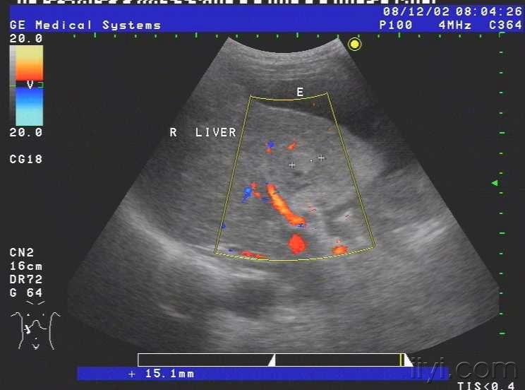
患者女,69岁,病毒性肝炎病史三年余,近半月自觉腹部胀满,来我院就诊,超声查示肝脏被膜不光滑,呈锯齿样,肝内回声不均匀,肝内多发小中等偏强回声团块,大小约1.5cm-3.0cm不等,无明显包膜,境界较清,另于肝右前叶近肝表面见一个大小约4.5cmx2.4cm的椭圆形实性低回声团块,至此处被膜略隆起,团块无明显包膜,伴侧方声影,后方回声增强,内部回声均匀,CDFI未见血流信号.右叶内另见两个类圆形囊性无回声区,肝内管道结构显示不清,肝门脉主干内径约1.1cm.胆囊壁厚1.0cm,囊内透声尚可,脾脏轻度增大,脾门脉无扩张;平卧位腹腔扫查于肝上前间隙肝肾隐窝脾肾隐窝双髂窝均见液性暗区.超声提示:1.肝硬化肝内多发实性团块合并胆囊炎脾轻大及大量腹水;考虑不除外肝癌?


[localimg=400,297]3[/localimg]






2.肝内多发囊肿.
2008-12-03 15:41:06 7271 浏览