诊疗助手APP
百万医护都在兼职、学习、交流
立即打开
【贴图】肝脏血管瘤
y****i
楼主
+关注
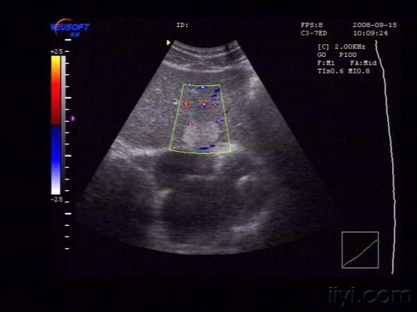
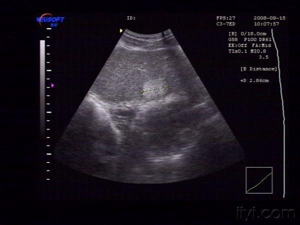
体检发现左肝内一较强回声团,大小约为29X22X15mm,边界清,中央回声稍低。CDFI:未见异常血流信号
2008-09-15 11:03:07 3428 浏览
全部评论
l****0
抢首赞
肝左叶血管瘤
2008-10-08 14:23:58
·
安徽省
回复
g****1
抢首赞
血管瘤
2008-10-08 12:39:09
·
广东省
回复
甜**孩
抢首赞
肝血管瘤。
2008-10-04 21:36:32
·
广西壮族自治区
回复
登录后查看全部评论
9
发送
热门推荐
教科书式病例,医生有多想遇见?
医生会帮同行解释吗?
医生如何当好健康“守门人”?
医生的诊疗时间,够用吗?