讨论:胫骨Pilon骨折的处理
梅*人
楼主
+关注
胫骨Pilon骨折如何处理某男、44岁,水电工人
高处跌下致左踝肿痛流血畸形活动受限半小时。
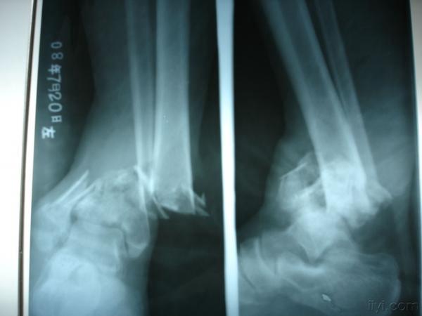
患者缘于半小时前在1.7米高处不慎跌下,左脚着地、折弯,立即出现剧痛、畸形、流血,由同事护送我科就诊。PE:神清、痛苦貌,生命体征平稳,心肺(-)、腹平软,CNS(-),左内踝处有一约3.5Cm的皮肤横裂口,胫骨远端骨折断端完全外漏,X光片如下

(插注:
Pilon骨折是指累及胫骨下关节面的胫骨下端骨折。法国放射学家Destot于1911年首次提出,在法语中“Pilon”的意思是“杵”(pestle)。
骨折特点:胫骨远端具有典型的不同程度的压缩粉碎性骨折,累及关节面关节软骨的原发性损伤以及永久性关节面不平整导致不良的预后。Pilon骨折约占下肢骨折的1%,胫骨骨折的3%--10%,约75%--85%的Pilon骨折并发有同侧腓骨骨折。随着建筑业和交通业的迅速发展,高能量损伤所致的胫骨Pilon骨折有增多的趋势。虽然治疗的手段不断修正和更新,但至今仍然是临床上一个棘手的问题,其并发症多、病残率高。)
讨论:1:如何选择手术切口
2:手术时机的选择(是急诊手术还是延期手术?)
3:内固定材料的选择要求
4:手术方式(有限内固定结合外固定支架
或切开复位内固定术(ORIF)和分步延期ORIF)
5: 是否再进行CT等相关检查?
6:并发症的预防(
早期并发症:伤口裂开、皮肤坏死、表浅和深部感染;
晚期并发症:骨折延期愈合或不愈合、畸形愈合、创伤性关节炎、关节僵硬、慢性骨髓炎等)
[
本帖最后由 梅医人 于 2008-8-3 09:29 编辑 ]
2008-07-30 17:03:36 58245 浏览