诊疗助手APP
百万医护都在兼职、学习、交流
立即打开
请大家帮助看看这个胆囊有没有问题
j****e
楼主
+关注
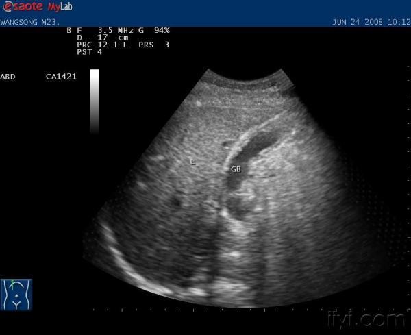
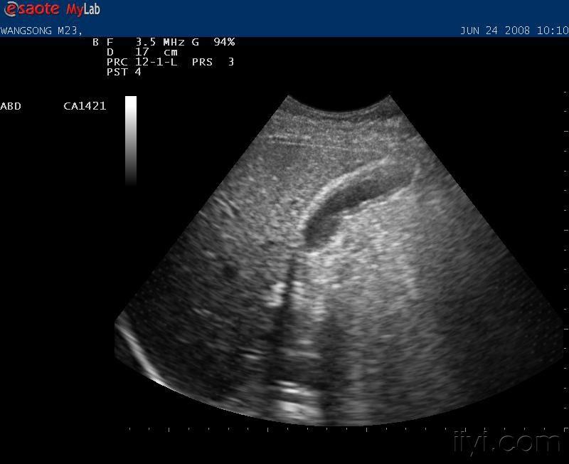
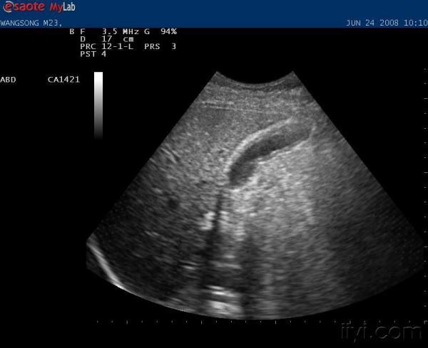
年轻男性,23岁,无任何不适症状,体检时发现.(禁食水检查)
超声所见:胆囊大小正常,胆囊壁厚,约4MM,且不光滑。
2008-07-02 20:46:18 4424 浏览
全部评论
爱**言
抢首赞
胆囊壁增厚,胆囊腺肌病?肝质地回声不均匀,是否得过肝炎
2008-07-14 18:49:58
·
上海市
回复
求****8
抢首赞
慢性胆囊炎
2008-07-14 15:01:34
·
山西省
回复
j****e
抢首赞
受益匪浅!患者脾不大,肝功正常!所以我就不知道这是为什么了!!!:'(
2008-07-03 18:25:51
·
北京市
回复
登录后查看全部评论
16
发送
热门推荐
教科书式病例,医生有多想遇见?
医生会帮同行解释吗?
医生如何当好健康“守门人”?
医生的诊疗时间,够用吗?