诊疗助手APP
百万医护都在兼职、学习、交流
立即打开
多例典型肺大泡的DR片,与大家分享!
s****i
楼主
+关注
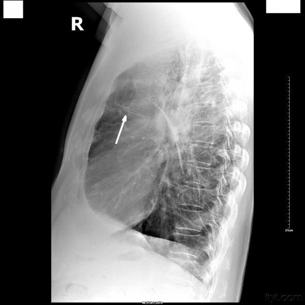
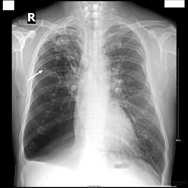
患者,男,59岁,有肺结核病史多年,现咳嗽、气喘,加重一天。
常规胸部正侧(右)位片如下:
发此贴的真正意义是:肺大泡和包裹性气胸的鉴别诊断。
该患者右上肺有胸膜粘连,单纯一张正位片上不排除右下包裹性气胸的诊断,但侧位片未发现粘连胸膜及压缩肺组织边缘,所以右下仍然考虑:巨大肺大泡。
[
本帖最后由 shanyi 于 2008-6-8 22:01 编辑
]
2008-06-06 12:13:52 22153 浏览
全部评论
区*
抢首赞
典型,不看还不知道呢.
2015-01-27 21:23:23
·
广东省
回复
外**宗
抢首赞
学习了,很典型
2014-12-05 12:56:03
·
浙江省
回复
w****9
抢首赞
学习了,好贴
2014-12-04 11:08:48
·
福建省
回复
登录后查看全部评论
17
发送
热门推荐
教科书式病例,医生有多想遇见?
医生会帮同行解释吗?
医生如何当好健康“守门人”?
医生的诊疗时间,够用吗?