诊疗助手APP 百万医护都在兼职、学习、交流
立即打开

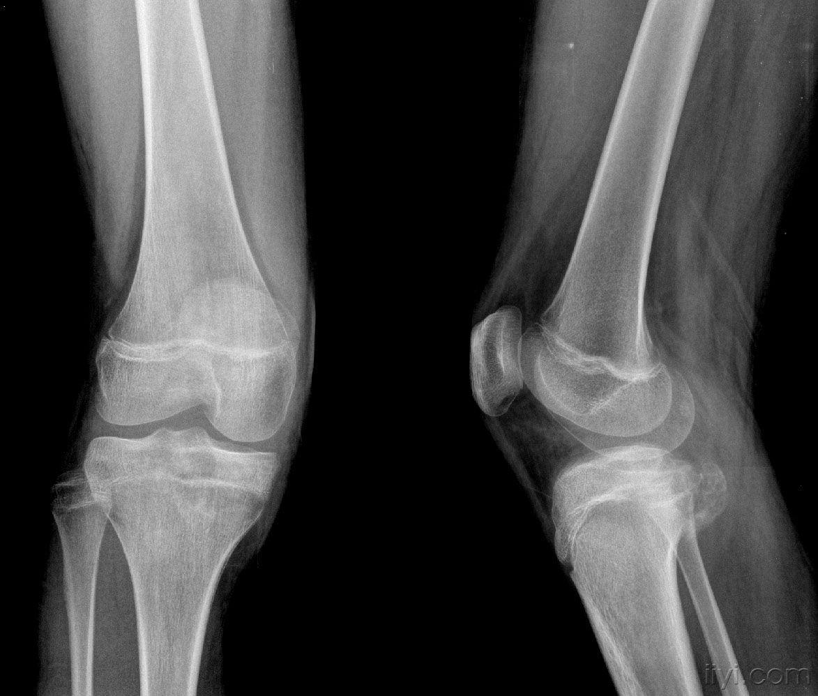
胫骨病变,有结果,请讨论!结果公布!

x****u 楼主
+关注
女,14岁,膝关节外伤后疼痛4月余。

[ 本帖最后由 xueshanfeihu 于 2008-6-7 18:58 编辑 ]







2008-04-18 19:55:55  16847 浏览
全部评论
u****9 抢首赞
学习
2025-11-01 16:21:20·上海市 回复
u****9 抢首赞
向老师学习,恶性肿瘤可能,骨肉瘤?
2025-05-16 18:50:36·云南省 回复
H**林 抢首赞
前来向老师学习
2023-12-07 22:19:14·河南省 回复
登录后查看全部评论
40
热门推荐
教科书式病例,医生有多想遇见?
医生会帮同行解释吗?
医生如何当好健康“守门人”?
医生的诊疗时间,够用吗?