诊疗助手APP 百万医护都在兼职、学习、交流
立即打开

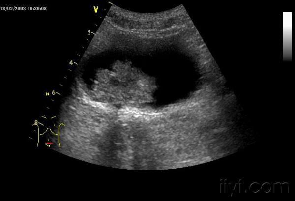
典型膀胱癌声像图一例

c****5 楼主
+关注
病史
男,53岁,10余天前出现肉眼血尿,不混血块,伴下腹痛痛,无发热


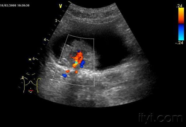
[ 本帖最后由 cdk1234555 于 2008-4-5 16:13 编辑 ] 膀胱肿瘤
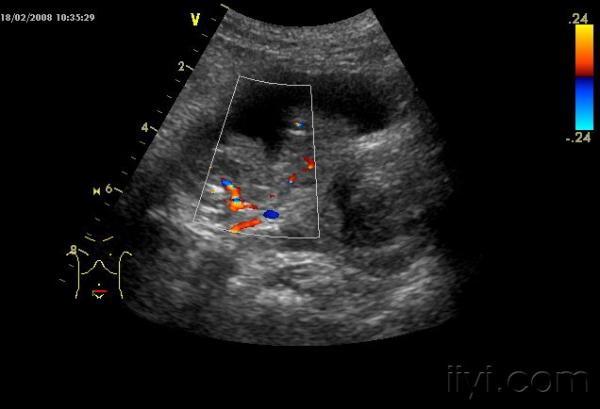
肿瘤内丰富血流
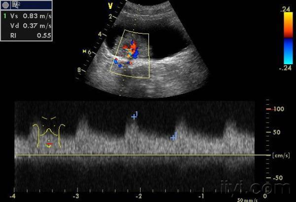
频谱呈高速血流
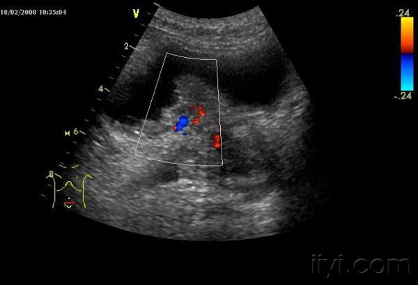
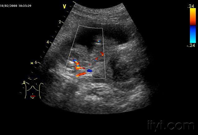
另一处
肿瘤内血供
2008-04-05 16:08:30  8556 浏览
全部评论
超* 抢首赞
谢谢!本人在社区医院做了10几年,可从未见过.
2008-06-11 09:56:04·江苏省 回复
紫*瑗 抢首赞
:handshake 谢谢分享!
2008-05-29 09:58:04·河南省 回复
z****a 抢首赞
谢谢分享
2008-05-29 00:43:05·重庆市 回复
登录后查看全部评论
26
热门推荐
教科书式病例,医生有多想遇见?
医生会帮同行解释吗?
医生如何当好健康“守门人”?
医生的诊疗时间,够用吗?