诊疗助手APP
百万医护都在兼职、学习、交流
立即打开
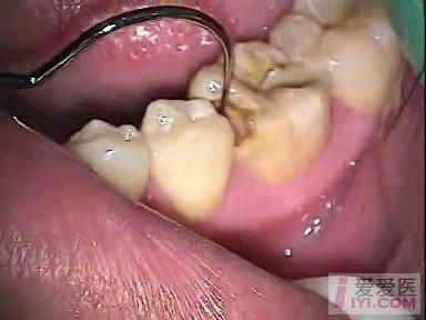
龋齿二类洞经典图片
牙*
楼主
+关注
不多见
龋齿二类洞经典图片
[
本帖最后由 牙典 于 2007-11-21 18:06 编辑
]
2006-09-03 11:20:19 42621 浏览
全部评论
q****v
抢首赞
谢谢
2016-11-14 19:04:22
·
北京市
回复
l****8
抢首赞
nice!
2013-06-25 22:19:34
·
新疆维吾尔自治区
回复
m****4
抢首赞
支持一下
2011-12-25 08:48:01
·
福建省
回复
登录后查看全部评论
38
发送
热门推荐
教科书式病例,医生有多想遇见?
医生会帮同行解释吗?
医生如何当好健康“守门人”?
医生的诊疗时间,够用吗?