【基本信息】女、49、自由职业
【发病原因】间歇性左侧腰腹部疼痛
【临床诊断】1.左输尿管结石 2.左侧输尿管狭窄 3.泌尿系感染 4.左肾积水 5.左肾盏结石
【治疗方案】左侧经尿道输尿管支架置入术
【治疗结果】出院恢复
间歇性左侧腰腹部疼痛3天,加重3小时
患者3天前无明显诱因出现间歇性左侧腰腹部疼痛,向左侧下腹部放射,有恶心、无呕吐,无尿频、尿急、尿痛及肉眼血尿,无排尿费力、尿不尽感,间歇性发热、无寒战,间歇性眼睑水肿、早重晚轻。自行中医药物治疗、疼痛缓解,3小时前出现疼痛加重呼叫120,遂来我院,急诊行下腹部+盆腔CT示左肾盂输尿管移行处结石;血分析+全程C-反应蛋白示白细胞(9-HR):14.07×10^9/L,超敏C反应蛋白:>10.00mg/L,C-反应蛋白:10.57mg/L↑;尿液分析示白细胞(9-HR):25(1+)cells/μL,以输尿管结石 腹痛 泌尿系感染之诊断收住我科。自发病以来,神志清,精神可,食纳可、夜休差,大小便无异常。
30余年前外伤引起头面部皮肤缺损行整形植皮术及输血史。高血压病史,舒张压最高100mmHg,高血脂,先锋过敏史。否认肝炎、结核、疟疾病史,否认心脏病史,否认糖尿病、脑血管疾病、精神疾病史,无食物过敏史,无其他过敏史,预防接种史不详。
久居本地,无疫区、疫情、疫水接触史,无牧区、矿山、高氟区、低碘区居住史,无化学性物质、放射性物质、有毒物质接触史,无吸烟史,无饮酒史,无冶游史。月经史16岁5-7天/30天,2025-11-28,月经量少,痛经有。适龄结婚,育有1子1女,配偶健康状况良好。
T: 36.6℃,P: 104次/分,R: 20次/分,BP: 137/89mmHg。
发育正常,营养良好,正常面容,神志清。全身皮肤无黄染,全身浅表淋巴结未触及肿大。头颅无畸形,眼睑无水肿,睑结膜无苍白,巩膜无黄染,双侧瞳孔等大等圆,对光反射未见异常。外耳道无异常分泌物,听力正常。鼻中隔无偏曲,鼻腔无异常分泌物。口唇无紫绀,口腔粘膜无糜烂、溃疡,牙龈无红肿,咽不红,扁桃体无肿大。颈软无抵抗,颈静脉无怒张,气管居中,甲状腺无肿大。胸廓对称无畸形,双侧呼吸动度一致,双肺呼吸音清晰,未闻及干、湿性罗音及胸膜摩擦音。心前区无隆起,心界叩诊不大,心律齐,各瓣膜听诊区未闻及病理性杂音,无心包摩擦音。腹平坦、柔软,无压痛、反跳痛。肝脾肋下未触及,Murphy氏征阴性,移动性浊音阴性,肠鸣音未见异常。脊柱生理弯曲,四肢无畸形,活动自如,肌力、肌张力无异常,双下肢无静脉曲张、水肿。双侧膝腱反射无亢进、减弱,病理征未引出。
专科情况双肾区无隆起,肾下极未触及,左侧肾区压痛阴性、叩痛阴性,左侧肾区压痛阴性、叩痛阴性,左侧输尿管走行区压阳阴性,耻骨上区压痛阴性,叩诊鼓音。尿道外口无红肿及异常分泌物。
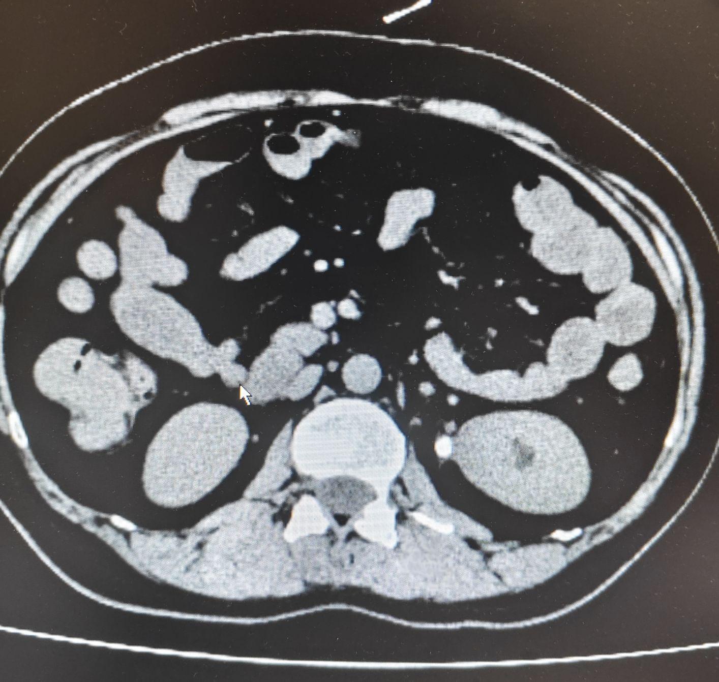
下腹部+盆腔CT(我院急诊,2026-1-30)左肾盂输尿管移行处结石,左肾盂肾盏轻度扩张,伴左输尿管上段及左肾周围少许渗出,左肾略大、密度略减低,肾周筋膜略增厚。左肾盏内点状结石;血分析+全程C-反应蛋白白细胞(9-HR):14.07×10^9/L,超敏C反应蛋白:>10.00mg/L,C-反应蛋白:10.57mg/L↑;尿液分析*白细胞(9-HR):25(1+)cells/μL;复查下腹部CT平扫+盆腔CT平扫+薄层(2026-2-2)左侧肾盂、输尿管移行处结石,以上肾盂肾盏扩张;左肾盏点状结石。右侧输尿管下段走行区近膀胱入口处点状致密影,结石可能。不均匀脂肪肝;肝内多发囊性病变。泌尿系(女)(含肾、输尿管、膀胱)彩超左肾小结石。右肾、膀胱声像图未见明显异常。双侧输尿管未见明显扩张。


1.左输尿管结石 2.泌尿系感染 3.左肾积水 4.左肾盏结石
1.患者中年女性以间歇性左侧腰腹部疼痛3天,加重3小时之主诉入院。2.专科情况双肾区无隆起,肾下极未触及,左侧肾区压痛阴性、叩痛阴性,左侧肾区压痛阴性、叩痛阴性,左侧输尿管走行区压阳阴性,耻骨上区压痛阴性,叩诊鼓音。尿道外口无红肿及异常分泌物。3.辅助检查下腹部+盆腔CT(我院急诊,2026-1-30)示左肾盂输尿管移行处结石,左肾盂肾盏轻度扩张,伴左输尿管上段及左肾周围少许渗出,左肾略大、密度略减低,肾周筋膜略增厚。左肾盏内点状结石;血分析+全程C-反应蛋白示白细胞(9-HR):14.07×10^9/L,超敏C反应蛋白:>10.00mg/L,C-反应蛋白:10.57mg/L↑;尿液分析示白细胞(9-HR):25(1+)cells/μL。
1.急性胰腺炎多有暴饮暴食病史,左侧腹痛,压痛、反跳痛、肌紧张阳性,血尿淀粉酶升高,腹部CT提示胰腺肿胀或胰周积液可鉴别。
2.急性肾盂肾炎多有发热、尿频、尿急、尿痛,血尿分析提示感染,影像学检查除外结石、梗阻等病变可鉴别。
3.卵巢囊肿蒂扭转多发生于年轻女性,突发一侧下腹部剧痛,可伴有恶心、呕吐,妇科检查及盆腔超声可明确诊断。
4.肠梗阻多有腹痛、腹胀、停止排气排便,腹部立位平片可见气液平面可鉴别。
完善血分析、尿分析、生化、血凝常规、心电图、心脏超声等相关检查,暂行抗感染、解痉、止痛等对症治疗。入院前血分析提示白细胞偏高,考虑泌尿系感染较重先行头孢哌酮舒巴坦钠 3g q12h抗感染、山莨菪碱,氨酚双氢可待因止痛、解痉对症支持治疗。患者左侧输尿管移行处结石,密度轻度高,最大直径10mm,可行体外冲击波碎石治疗,但体外碎石存在碎石不彻底及引起输尿管狭窄处堵塞并引发感染加重、积水引起肾损伤等风险并需多运动排石,取得患者知情同意。患者及家属要求行输尿管支架置入术,排除手术禁忌症并签知情同意
于2026-2-3行全麻下左侧经尿道输尿管支架置入术,手术顺利,术后病情平稳,术中存在逆行感染、细菌扩散入血风险,暂继续给予头孢哌酮舒巴坦钠 3g q12h抗感染、对症支持治疗,术后患者出现轻度尿频、尿急考虑导尿管刺激尿道黏膜引起的不适,给予患者详细讲解原因,患者执意要求拔管给予耐心讲治疗原则,若提前拔管存在尿反流引起感染进一步加重以及肾功能损伤风险,患者执意要求拔除导尿管,经上级同意给予今日下午拔管处理,并说道患者承担一切提前拔除导尿管处理的不良后果。下午患者执意要求拔除导尿管同时出院,建议继续住院抗感染等对症治疗,患者要求拔除尿管出院。告知出院后风险及注意事项,签署医患谈话记录单,经上级医师查房后同意出院恢复。
1.左输尿管结石 2.左侧输尿管狭窄 3.泌尿系感染 4.左肾积水 5.左肾盏结石
该病例为中年女性,因左侧腰腹部疼痛入院,确诊为左输尿管移行处结石伴泌尿系感染、肾积水。治疗上首先予以抗感染、解痉止痛等对症处理,待感染控制后评估结石情况。
对于输尿管移行处结石,尤其是直径约10mm的结石,体外冲击波碎石虽为可选方案,但存在碎石不彻底、结石堵塞输尿管狭窄处引发感染加重及肾损伤风险,且该患者术中发现结石易返回肾盂,进一步增加了碎石难度和风险。因此临床治疗中针对此类输尿管移行处结石,建议采用一期输尿管支架置入术解除梗阻、控制感染,二期行经尿道输尿管软镜钬激光碎石取石术的方案。
一期置管可有效引流尿液、减轻肾积水、控制感染,为二期手术创造良好条件;二期软镜碎石能更精准地处理肾盂及肾盏内的结石,降低结石残留及复发风险。同时对于存在输尿管狭窄的患者,一期置管还可起到扩张输尿管的作用,提高二期手术的成功率。临床实践中,需充分评估患者病情,结合结石位置、大小、输尿管条件及患者意愿,选择个体化治疗方案,以达到最佳治疗效果,减少并发症发生。
此外术后需指导患者多饮水、避免剧烈运动,定期复查尿分析及泌尿系影像学检查,以便及时发现并处理可能出现的结石残留、尿路感染及输尿管狭窄等问题,保障患者预后。
本站所注明来源为"爱爱医"的文章,版权归作者与本站共同所有,非经授权不得转载。
本站所有转载文章系出于传递更多信息之目的,且明确注明来 源和作者,如果您认为我们的转载侵犯了您的