【基本信息】男、64、退休
【发病原因】出现头晕伴走路不稳,头晕表现为头昏沉感
【临床诊断】1、进行性核上性麻痹 定位:桥脑、中脑 定性:变性病 2、高血压病
【治疗方案】予以抗帕金森药物复方左旋多巴、恩他卡朋、吡贝地尔缓释片及金刚烷胺等治疗
【治疗结果】临床症状好转出院。
【病案重点】进行性核上性麻痹
头晕、走路不稳5年,饮水呛咳3年,视物模糊1年。
患者于5年前无明显诱因出现头晕伴走路不稳,头晕表现为头昏沉感,无食物选择及食物模糊,不伴恶心、呕吐,有步态不稳,尤其是起步困难,转身时易摔跤,行走时身体易后仰,步态非细碎步。曾外院就诊,诊断为“颈椎病、帕金森病”,予以手术治疗颈椎病,美多巴等药物治疗,患者步态不稳有所改善,自行停用美多巴数月后症状反复,头晕则一直存在。
3年前患者自觉上述症状加重,伴随言语不清、饮 水呛咳、偶有流涎,未予以特殊治疗。1年前患者出现视物模糊,近期症状逐渐加重,为进一步诊治收住我科。病来患者记忆力稍有下降,面部表情稍有减少,无意识不清及胡言乱语等精神症状,无肢体抽畜及震颤。小便较困难,大便正常。
既往史患高血压5年,服用硝苯地平控释片控制,未规律监测血压情况,否认糖尿病及心脏病病史。有乙肝“小三阳”病史。 婚育史已婚,育有2子1女,配偶子女体健。 家族史家族中未发现有类似疾患者及特殊遗传病史。 无食物及药物过敏史。
个人史无特殊。
T: 36.7℃,P: 80次/分,R: 19次/分,BP: 122/88mmHg。
一般情况:发育正常,营养中等,神志清楚,精神可,自主体位,查体合作。 心肺腹及脊柱四肢检查无异常。
神经专科查体: 1、精神智能状态:神志清楚,无幻觉、妄想,时间、地点、人物定向力正常,近远事物记忆力及计算力略减退,无失读、失写,理解力正常,言语欠清,无失认及体象障碍。 2、脑神经检查:嗅觉无异常,有视物模糊,无双侧视野未见缺损,无眼裂增大或变窄,双眼脸无下垂,双眼球居中,无突出、凹陷,眼球各向运动有受限,尤其向上、下、右侧运动时眼球明显受限,复视,伴水平眼球震颤;双侧瞳孔等圆等大,直径约2.0mm,双侧直接、间接对光反射存在。双侧面部痛、触觉对称存在,双侧咀嚼肌无萎缩,咀嚼动作对称有力,张口下颌无偏歪,双侧角膜反射正。常,吸吮反射、下颌反射未引出。闭目、鼓腮、露齿可,双侧鼻唇沟对称,口角无偏歪:听力粗测及音叉试验无异常;声音嘶哑、构音障碍,偶有饮水呛咳、吞咽困难转颈、耸肩完成良好,伸舌居中,无舌肌萎缩及震颤。
3、运动系统:起步困难,行走时身体易后仰,肌肉无萎缩,四肢肌张力增高,四肢肌力5级:未见共济失调及不自主运动。
4、感觉系统:双侧浅感觉对称存在,双侧音叉振动觉未查,关节位置觉、运动觉存在,双侧形体觉、定位觉、两点辨别觉及图形觉存在。 反射,浅反射存在,双侧肱二头肌、肱三头肌、桡骨膜、膝腱、跟腱等反射存在。
5、病理反射:左侧掌颌反射阳性,其余病理征未引出。脑膜刺激征未引出。
6、自主神经系统:全身皮肤温度正常.湿度适中.皮肤弹性好.毛发、指(趾)甲营养好,排尿、排便正常,皮肤划痕试验阴性。
1、实验室检查:血常规、基础代谢生化、凝血、甲功、尿常规及便常规均未见明显异常。乙肝两对半,脑桥HBeAbHBsAb、HBcAb、HBsAg(+)。
2、影像学检查
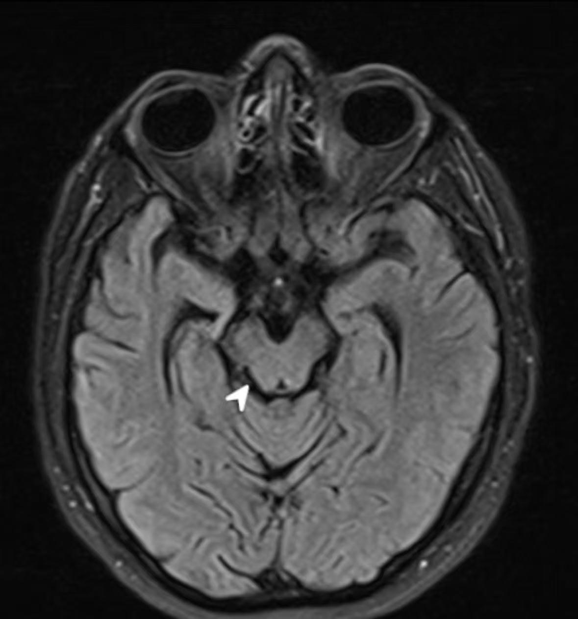
头颅MRI提示:脑内多发缺血灶:脑萎缩(弥漫性的皮质萎缩,中脑上缘凹陷)。
腹部彩超提示:肝囊肿,单发:右肾囊肿;胆囊、胆管、脾脏、胰腺、左肾、膀胱、双输尿管未见异常。
颈动脉彩超及椎动脉彩超未见异常。
心电图未见异常
胸片未见异常。
1、进行性核上性麻痹 定位:桥脑、中脑 定性:变性病 2、高血压病
1.病例主要特点 (1)老年男性,慢性病程。 (2)头晕伴走路不稳5年,饮水呛咳3年,视物模糊1年。 (3)主要阳性体征:双眼球居中,无突出、凹陷,各向运动有受限,尤其向上下、右侧运动时眼球明显受限,双眼水平眼震(+),双侧瞳孔等圆等大,直径约2.0mm,双侧直接、间接对光反射存在;声音嘶哑、构音障碍,偶有饮水呛咳、吞咽困难:起步困难,行走身体易后仰;左侧掌颌反射阳性。 (4)头颅MRI提示:脑内多发缺血灶;脑萎缩。
2.临床诊断思路 本例为老年男性患者.慢性起病,初发病时出现与帕金森病相类似的“起步不稳、美多巴治疗有效、小便困难”等临床表现,较易误诊为帕金森病。但从临床发展及药物治疗反应看,主要存在以下特点: ①眼部症状,表现为视物模糊,查体提示眼球垂直性运动麻痹,左右侧眼球活动不到位; ②起步困难,行走时步态呈后仰而非典型的细碎、前冲、“慌张”步态,强直静止性震颤也不明显,面容表情无异常,存在肢体对称性肌张力增高; ③停用美多巴治疗病情无明显反复。可以排除帕金森病,诊断为“进行性核上性麻痹(PSP)”。
诊断鉴别方面,尚需排除以下相关疾病:
1、橄榄-脑桥-小脑萎缩(OPCA):OPCA以小脑、脑桥、黑质、下橄榄核、小脑-脑桥通路神经变性为主,MRI扫描以小脑萎缩最明显,其次为脑桥和橄榄核,但无中脑萎缩.T2加权像在脑干的被盖部亦无高信号:本例无小脑性共济失调及相应头颅磁共振脑萎缩表现,可以排除。
2、Shy-Drager综合征:本例虽有小便困难.但可以用前列腺肥大解释.大便正常、无明显体位性低血压,不支持自主神经功能障碍诊断,可以排除。
3、纹状体-黑质变性:本例无小脑性共济失调及自主神经功能障碍表现,且眼球活动障碍明显,可以排除。
4、皮质基底节变性:本病例无皮质复合感觉消失,无一侧肢体失用、失语及痴呆等皮质损害症状,可以排除。
进行性核上性麻痹目前尚无根治方法,治疗主要以对症支持治疗为主,旨在改善症状、提高生活质量并延缓病情进展。 患者入院后继续予以抗帕金森药物复方左旋多巴、恩他卡朋、吡贝地尔缓释片及金刚烷胺等治疗后,患者的运动症状(如步态不稳、运动迟缓)有一定改善作用。患者记忆力略减退,予以改善认知药物:多奈哌齐可改善认知功能。予以巴氯芬等肌松药物缓解症状。同时予以积极康复治疗及人文关怀。经治疗后,患者临床症状好转出院。
1、进行性核上性麻痹 定位:桥脑、中脑 定性:变性病 2、高血压病
进行性核上性麻痹(progressive supranuclearpalsy,PSP)是一种少见的神经系统变性疾病,以假性球麻痹、垂直性核上性眼肌麻痹、肌僵直、共济失调步态和轻度痴呆为主要临床特征。PSP的临床表现变异较大.且无特异的辅助检查.极易被误诊。
1、病因学分析 目前认为可能为变性疾病或病毒感染所致,因本病在一定程度上可与Lhermitte综合征、Creutzfeldt-Jakob综合征、Hirano震颤-痴呆综合征以及神经源性色素缺乏综合征等皮质变性疾病重叠,并且很难根据其临床表现或解剖学改变加以区别,故而把这些综合征归为同一类疾病。
2、病理学分析 镜下可见大脑组织神经纤维分布紊乱(Hirano球型),颗粒空泡变性,轴突偶有破坏。基底神经节、脑干、小脑组织内神经细胞丢失,神经纤维胶质增生,分布紊乱,各神经传导束脱髓鞘变性,黑质和下丘脑核内小囊形成。
3、临床表现:多发生于51~60岁中老年男性,隐袭起病,逐渐加重,于发病后2~3年内出现下列症状:
(1)精神行为症状:逐渐出现性格改变,记忆力下降,智能减退,但是很少会发展至重度痴呆。
(2)核上性眼球运动障碍:主要表现为对称性眼球垂直运动障碍,最早为向下注视障碍,继则发生上视运动困难,最后不能水平运动,眼球固定于正中位:瞳孔多缩小,但对光反射存在,辐辏反射障碍,类似“玩偶眼”现象。
(3)锥体外系症状:颈部肌张力障碍为本病重要表现.出现颈部过伸、仰脸和下颏突出的特殊姿势:头颈部和躯干部肌肉明显僵硬.四肢较轻:面部表情呈担忧、焦虑或张口惊讶状,皱纹加深;步态不稳,平衡障碍,转身时容易向后方倾倒,但指鼻试验、跟膝胫试验等共济运动检查多完成准确,一般不出现震颤。
(4)假性球麻痹:表现为构音障碍,吞咽困难,下颌反射增强,腱反射亢进,出现病理反射:可伴有各种非恒定的小脑和锥体束损害的症状和体征。
(5)血液、脑脊液、脑电图等辅助检查可无异常发现.头颅CT可见脑室轻度扩大,MRI可显示中脑萎缩和脑干被盖部T2加权像弥散性高信(影像表现:弥漫性皮质萎缩,中脑上缘凹陷,似“蜂鸟征”,中脑基底萎缩导致大脑脚之间间距变宽,似“米老鼠征”)。
4、PSP的诊断标准为:中年或中老年后起病,非家族性的进行性核上性眼肌麻痹表现,并且至少有下列5项中的2项:
(1)姿势不稳,易向后跌倒。
(2)假性球麻痹(构音障碍、吞咽困难)。
(3) 少动和僵直。
(4)额叶综合征(智能减退、反应迟钝.强握和摸索动作)。
(5)头颈、躯干分布的中轴肌张力异常和强直。
5、治疗:PSP无特殊治疗,预后不良。治疗主要以对症支持治疗为主,旨在改善症状、提高生活质量并延缓病情进展。包括抗帕金森药物如复方左旋多巴、恩他卡朋、吡贝地尔缓释片及金刚烷胺等治疗改善患者的运动症状(如步态不稳、运动迟缓)。以改善认知药物如多奈哌齐。巴氯芬等肌松药物缓解症状。同时予以积极康复治疗及人文关怀。
本站所注明来源为"爱爱医"的文章,版权归作者与本站共同所有,非经授权不得转载。
本站所有转载文章系出于传递更多信息之目的,且明确注明来 源和作者,如果您认为我们的转载侵犯了您的