【基本信息】女、54、无业
【发病原因】右侧面部疼痛,吃饭、说话、洗脸时易发作,疼痛呈刀割样
【临床诊断】三叉神经痛
【治疗方案】入院后第二天行三叉神经微血管减压术、硬脑膜补片修补术、颅骨钛网置入术
【治疗结果】好转出院
【病案重点】三叉神经痛
右侧面部疼痛2年余。
患者自诉于2年前无明显诱因出现右侧面部疼痛,吃饭、说话、洗脸时易发作,疼痛呈刀割样,疼痛持续时间及发作无规律,口服卡马西平可有效缓解疼痛。近一个月内以来疼痛加剧,口服卡马西平效果欠佳,现为手术治疗,来我院就诊,拟三叉神经痛收入我科住院治疗。自起病以来,患者精神饮食可,二便正常,体重无明显改变。
平素健康状况:良好;无疾病史;无传染病史;无传染病接触史;预防接种史不详;手术外伤史:无手术史;无外伤史;无输血史;无药物过敏史;无食物过敏史。
生于原籍,无外地久居史,生活规律,无吸烟史;否认饮酒史,无毒物、粉尘及放射性物质接触史,无冶游史,无重大精神创伤史。
T: 36.4℃,P: 78次/分,R: 20次/分,BP: 134/80mmHg。
发育正常,营养良好,神志清楚,精神正常,自主体位,查体合作。全身皮肤黏膜无黄染,无出血点。浅表淋巴结未触及肿大。头颅无畸形。眼睑无水肿,结膜无充血、无苍白,双侧瞳孔等大等圆,对光反射灵敏。耳鼻无畸形,口唇无发绀,扁桃体无肿大、无化脓。颈软,气管居中,甲状腺无肿大,无颈静脉怒张。胸廓对称,无畸形,双侧呼吸运动均等,双肺未及干湿啰音。心前区无隆起,心界正常,心率78次/分,律齐,各瓣膜听诊区未闻及病理性杂音。腹平软,全腹无压痛及反跳痛,肝脾肋下未及,移动性浊音(-),肠鸣音正常。肛门直肠、外生殖器未查。脊柱、四肢无畸形,运动无障碍,关节无红肿,无杵状指、趾,双下肢无水肿。腹壁反射、肱二头肌反射、肱三头肌反射、膝腱反射、跟腱反射正常,巴宾斯基征、脑膜刺激征未引出。专科情况:神志清楚,GCS评分E4V5M16,双侧瞳孔等大等圆,大小约2.0mm,对光反射灵敏。右侧面部阵发性疼痛,累及三叉神经分布区第Ⅰ、Ⅱ、Ⅲ支,四肢肌力、肌张力正常。生理反射存在,病理反射未引出。
心电检查报告:1、窦性心律2、肢体导联低电压。生免检验报告:总胆红素 4.8umol/L ,胆碱脂酶 6567U/L ,胆固醇5.28mmol/L ,钙 1.91mmol/l ,无机磷检测 1.94mmol/L ,钾 3.07mmol/l ,凝血功能:凝血酶原时间 13.9s 凝血酶原时间活动度 79.4% 纤维蛋白原 1.55g /l D-二聚体 1.03mg/L ,血常规:白细胞 2.53*10^9/L *红细胞 3.13*10^12/L *血红蛋白 98g/L 血小板 134*10^9/L。CT检查报告:检查结果1.颅脑CT平扫未见明显异常。2.右肺中叶纤维灶。3.胸主动脉钙化灶。
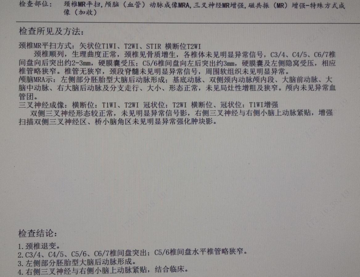
MR检查报告:检查结果1.颈椎退变。2.C3/4、C4/5、C5/6、C6/7椎间盘突出; C5/6椎间盘水平椎管略狭窄。3.左侧部分胚胎型大脑后动脉形成。4.右侧三叉神经与右侧小脑上动脉紧贴。


三叉神经痛
1、患者,中年女性,因右侧面部疼痛2年余入院;
2、查体:神志清楚,GCS评分E4V5M6,双侧瞳孔等大等圆,大小约2.0mm,对光反射灵敏。右侧面部阵发性疼痛,累及三叉神经分布区第I、II、III支,四肢肌力、肌张力正常。生理反射存在,病理反射未引出。
1、牙痛:疼痛为持续性疼痛,多局限于齿龈部,局部有龋齿或其它病变,X线及牙科检查可鉴别。2、颞颌关节炎:疼痛局限于颞颌关节腔,呈持续性,关节部位有牙痛,关节活动障碍,疼痛与下颌动作关系密切,可行X线及专科检查鉴别。
入院后予完善相关检查,入院后第二天行三叉神经微血管减压术、硬脑膜补片修补术、颅骨钛网置入术:1、患者取左侧卧位,取右侧乙状窦后入路耳后发际内直切口,常规消毒、铺巾。
2、切开皮肤、皮下组织,严密电凝止血。电刀切开枕部肌肉,乳突牵开器牵开头皮、皮下组织及肌肉,暴露术区颅骨,颅骨上缘至上项线,外缘至乙状窦水平。于二腹肌沟处颅钻钻一骨孔,铣刀铣出直径约3x3cm骨窗,充分暴露横窦及乙状窦硬脑膜,检查乳突气房未开放,骨蜡封堵骨窗板障渗血。以乙状窦为基底弧形剪开硬脑膜并悬吊固定。移入显微镜,小脑表面垫脑绵片,经小脑岩面进入桥小脑角区。牵开小脑,锐性分离蛛网膜,缓慢释放脑脊液后脑压下降,进一步牵开小脑,首先暴露面听神经,进一步向深部分离蛛网膜,暴露三叉神经REZ段,见一动脉血管袢挤压三叉神经REZ区,并与三叉神经粘连,松解三叉神经与该动脉蛛网膜及粘连,给予微血管减压垫片(Baiflon)垫敷于动脉血管与脑干表面并将血管推移离开三叉神经,予以温盐水反复冲洗术区,未见活动性出血。
术区小脑表面覆盖明胶海绵,取1片可吸收硬脑膜补片(RDS-29)裁剪大小约3x4cm平铺在明胶海绵上、硬脑膜下,然后复位硬脑膜,向硬脑膜下腔持续冲生理盐水,排尽空气并使硬脑膜补片隆起、四周与原硬脑膜充分贴合粘连,之后再覆盖一层硬脑膜补片,使两层硬脑膜补片与原硬脑膜呈三层夹心状,硬膜外填满明胶海绵,取1块颅颌骨固定夹板(WZ03-90*127)塑性并修剪成骨窗合适大小、4枚颅颌骨内固定螺钉(HE1.8*5)固定修补颅骨。
分层缝合肌肉、皮下组织及皮肤,手术顺利,术后以尼莫地平静脉泵入防治脑血管痉挛、氟比洛芬酯注射液止痛、注射用奥美拉唑钠护胃、补液、维持水电解质平衡、对症支持治疗,经治疗6天患者疼痛明显好转,好转出院
三叉神经痛
三叉神经痛是一种以面部三叉神经分布区阵发性、剧烈电击样疼痛为特征的神经系统疾病。发病机制:主要与颅内段三叉神经根部受到血管压迫有关(尤以小脑上动脉多见),导致神经脱髓鞘改变,引发异常放电。其他原因包括肿瘤、多发性硬化等。
临床表现:
1. 疼痛性质:突发突止的剧痛,呈刀割、针刺、电灼样。
2. 触发因素:说话、洗脸、刷牙、微风等可诱发。
3. 疼痛部位:严格限于单侧三叉神经(第Ⅱ、Ⅲ支多见)分布区。
4. 间歇期:发作间期完全正常。
诊断要点:
1. 典型的发作性疼痛病史和特征。
2. 神经系统检查通常无阳性体征。
3. 头颅MRI(包括3D-TOF序列)是重要检查,用于排除继发性病因并评估神经血管关系。三叉神经微血管减压术治疗:该手术是治疗原发性三叉神经痛的首选方法。其原理是在显微镜下,于颅后窝开一小骨窗,找到三叉神经根,仔细分离压迫神经的责任血管,并在神经与血管之间置入特制垫片,从而解除压迫、消除病因。该手术不损伤神经功能,长期有效率可达90%以上。
分析总结:三叉神经痛是严重影响生活质量的疾病。其诊断主要依据典型临床表现,MRI有助于明确病因。对于药物难治性或无法耐受药物的患者,三叉神经微血管减压术是针对血管压迫这一根本病因的根治性方法,疗效确切,是外科治疗的金标准。手术成功的关键在于精细操作和准确识别责任血管。
本站所注明来源为"爱爱医"的文章,版权归作者与本站共同所有,非经授权不得转载。
本站所有转载文章系出于传递更多信息之目的,且明确注明来 源和作者,如果您认为我们的转载侵犯了您的