【基本信息】男、68、农民
【发病原因】行尿道狭窄扩张术加左侧直视下输尿管支架管置入术,术中见尿道膜部明显狭窄
【临床诊断】左肾结石,尿道狭窄,左输尿管支架置入术后,泌尿道感染,左输尿管狭窄,前列腺增生。
【治疗方案】行左侧经尿道输尿管镜肾盂激光碎石取石术加左侧直视下输尿管支架管置入术
【治疗结果】术后予以补液抗感染对症支持治疗,密切观察尿管引流情况
【病案重点】尿道狭窄
左侧输尿管支架管置入术后20天
患者20余天前因左侧输尿管结石于我院行尿道狭窄扩张术加左侧直视下输尿管支架管置入术,术中见尿道膜部明显狭窄,可见输尿管上段结石,结石返回肾盂无法触及,术后长期留置导尿管,出院后无发热腹痛,无头晕头痛,间断有下腹部憋胀感,伴有血尿尿频尿急尿道烧灼感,给予托特罗定片加布洛芬症状有所好转,现为求进一步诊治来我院,门诊以左侧输尿管结石伴血尿收住我科,发病以来患者神志清,精神可,食纳正常,大便通畅,近期体重较前无明显变化。
28年前车祸致尿道断裂,于甘肃当地医院行尿道成形修补术,术后出现尿线变细,偶有尿等待尿滴沥,无尿分叉,5年前因肾肿瘤行手术切除,具体不详,既往高血压7年,最高180/110mmHg,自服用硝苯地平每日1片控制血压,近一个月以来换药氨氯地平每日1片,近5天没吃药,否认肝炎结核疟疾病史,否认心脏病史,否认糖尿病脑血管疾病精神疾病史,否认输血史,无药物过敏史,无食物过敏史,无其他过敏史,预防接种史不详。
久居本地,无疫区疫情疫水接触史,无牧区矿山高氟区低碘区居住史,无化学性物质放射性物质有毒物质接触史,吸烟史20年,1天1包,近7天未饮酒,无冶游史,适龄结婚,育有2子,配偶健康状况良好。
T: 36.3℃,P: 98次/分,R: 20次/分,BP: 169/115mmHg。
发育良好,营养良好,正常面容,神志清醒,自主体位,查体合作,皮肤弹性良好,皮肤及黏膜未见黄染,浅表淋巴结未及肿大,头颅无畸形,未触及包块,无压痛,眼睑正常,结膜正常,巩膜无黄染,角膜正常,眼球运动自如,双侧瞳孔等大正圆,直径约3mm,对光反射灵敏,无震颤,耳廓无畸形,外耳道畅通,无异常分泌物,乳突正常,听力正常,鼻翼无煽动,鼻中隔无偏曲,鼻腔无异常分泌物,口唇红润,口腔黏膜无充血,无糜烂,无溃疡,牙龈无红肿,舌苔正常,伸舌居中,扁桃体无肿大,咽部无充血水肿,颈软无抵抗,气管居中,肝颈静脉回流征阴性,甲状腺左右叶未及肿大,未闻及血管杂音,胸廓对称无畸形,胸骨无压痛,呼吸动度两侧一致,语颤正常,两肺叩诊呈清音,双肺呼吸音清晰,未闻及干湿性啰音及胸膜摩擦音,心前区无隆起,心尖搏动位于左侧第5肋间锁骨中线内0.5cm处,未触及细震颤,未触及摩擦感,心界叩诊不大,心率98次/分,律齐,各瓣膜区未闻及病理性杂音,无心包摩擦音,腹部外形正常,无腹壁静脉曲张,腹部软,无压痛,无反跳痛,腹部未触及包块,肝脾肋下未触及,Murphy氏征阴性,移动性浊音阴性,听诊肠鸣音正常,肛门及外生殖器未见异常,脊柱呈生理弯曲,四肢无畸形,下肢静脉不曲张,无杵状指(趾),关节活动自如,无双下肢水肿,四肢肌力正常,肌张力正常,双侧膝跟腱反射无亢进或减弱,双侧Babinski征阴性。
专科情况双肾区无隆起,肾下极未触及,双肾区压痛阴性叩痛阴性,双输尿管走行区压痛阴性,耻骨上区压痛阴性,叩诊鼓音,阴茎发育正常,包皮不长,尿道外口无红肿及异常分泌物,双侧睾丸附睾形态均正常,直肠指诊未查。
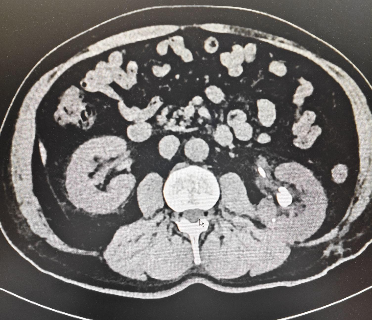
立位腹部平片(本院2025-12-21)左侧泌尿系走行区双J管影,位置形态正常,左肾区结节状高密度影,多系结石,盆腔导尿管影,骨盆部分骨质陈旧性骨折畸形愈合,部分骨不连,耻骨联合间隙、右侧耻骨下支及坐骨旁多发小骨片影,
026年1月8日行腹部CT平扫加盆腔CT平扫加薄层,较前2025-12-16下腹部盆腔CT对比,左侧输尿管内双J管置入术后改变,左肾盂输尿管中度扩张积水较前稍减少,左肾密度减低较前好转,左肾周输尿管周围渗出较前稍增多,左肾多发结石,较前原左输尿管上段肾盂移行区结石上移改变,左肾边缘线状高密度影,请结合病史,右肾周渗出较前变化不著,膀胱充盈差,壁增厚,前列腺内钙化灶,较前变化不著,左侧腹股沟疝,较前稍进展,骨盆部分骨质陈旧性骨折畸形愈合,部分骨不连,右坐骨支旁多发小骨片影,骨盆周围部分肌群萎缩,脂肪浸润,较前变化不著,血分析加全程C反应蛋白中性粒细胞百分比75.2%,肾功肝功血糖电解质eGFR(CKD-EPI)80.46,尿液分析白细胞(9-HR)500(3+)cells/μL,隐血(9-HR)7.5(3+)mg/L,尿蛋白(9-HR)0.3(1+)g/L,白细胞(镜检)2-4/HP,十二通道心电图检查窦性心律心电轴左偏大致正常心电图。

左肾结石,尿道狭窄,左输尿管支架置入术后,泌尿道感染,左输尿管狭窄,前列腺增生。
患者以左侧输尿管支架管置入术后20天主诉入院,专科情况双肾区无隆起,肾下极未触及,双肾区压痛阴性叩痛阴性,双输尿管走行区压痛阴性,耻骨上区压痛阴性,叩诊鼓音,阴茎发育正常,包皮不长,尿道外口无红肿及异常分泌物,双侧睾丸附睾形态均正常,直肠指诊未查,辅助检查立位腹部平片提示左肾区结石,双J管位置正常,CT提示左肾多发结石,左侧输尿管双J管置入术后改变,尿道狭窄既往有尿道成形修补术史,术中见尿道膜部狭窄呈针眼状,尿液分析提示白细胞及隐血阳性,提示泌尿道感染,同时存在前列腺增生表现。
1.急性胰腺炎,多有暴饮暴食病史,左侧腹痛,压痛反跳痛肌紧张阳性,血尿淀粉酶升高,腹部CT提示胰腺肿胀或胰周积液可鉴别。
2.急性肾盂肾炎,多有发热腰痛,血尿分析提示感染,影像学检查除外结石梗阻等病变可鉴别。3.尿道损伤,多有明确外伤史,可出现尿道滴血,排尿困难,会阴部血肿等表现,结合病史及尿道检查可鉴别。
4.膀胱结石,可出现排尿中断,尿痛等症状,泌尿系CT或膀胱镜检查可明确鉴别。
入院后完善血分析尿分析血凝常规泌尿系CT心电图心脏超声等相关检查,暂行拔除尿管观察排尿情况,给予头孢哌酮舒巴坦钠2.25g每日2次抗感染治疗,完善术前准备后于2026-01-14在全身麻醉下行左侧经尿道输尿管镜肾盂激光碎石取石术加左侧直视下输尿管支架管置入术,术中见尿道膜部尿道狭窄并瘢痕息肉形成,输尿管镜进入膀胱,见左侧输尿管支架管位置正常,用取石钳将输尿管支架管取出,向左侧输尿管口置入超滑导丝,沿导丝进镜阻力较大,与尿道狭窄相关,继续上镜至肾盂输尿管连接处顺利,沿导丝放置输尿管软镜镜鞘至肾盂输尿管连接处,沿输尿管软镜鞘置入输尿管软镜顺利,于左肾盂一黄褐色结石最大直17mm,另可见一大小约9mm结石,开启钬激光碎石机,应用钬激光将结石粉末化,用取石网篮取出较大结石颗粒,残留较小结石无法取出,检查各肾盏无明显出血,退镜顺利,拔除输尿管软镜镜鞘,向左侧输尿管内置入F6双J管1根,在导丝引导下留置F16号三腔尿管1根,术毕。
术中无明显出血,术后予以补液抗感染对症支持治疗,密切观察尿管引流情况。
左肾结石,尿道狭窄,左输尿管支架置入术后,泌尿道感染,左输尿管狭窄,前列腺增生。
本病例患者为老年男性,既往有骨盆骨折致尿道断裂行尿道成形修补术病史,术后长期存在尿道狭窄,此次因左肾结石合并输尿管结石入院,治疗过程需充分关注尿道狭窄的特殊性。首先,尿道狭窄会增加输尿管镜等内镜操作的难度,术中进镜阻力大,需谨慎操作避免尿道损伤,本病例中术中因尿道膜部狭窄呈针眼状,进镜时阻力明显,需依靠超滑导丝引导逐步进镜,降低了尿道撕裂等并发症风险。其次,尿道狭窄患者长期排尿不畅,易合并泌尿系感染及结石形成,本病例患者尿液分析提示感染,术前需积极抗感染治疗,选用头孢哌酮舒巴坦钠等广谱抗生素控制感染,避免术中脓毒血症发生。
对于左肾结石的治疗,因患者存在尿道狭窄,开放手术创伤大,经尿道输尿管软镜碎石取石术是更合适的选择,术中需注意保护尿道,操作轻柔,同时术后需留置尿管及输尿管支架管,维持尿路通畅,减少狭窄复发及结石残留风险。此外,患者既往有高血压病史,围手术期需监测血压,调整降压药物,保障手术安全。
对于尿道狭窄的后续管理,患者出院后需定期复查泌尿系B超尿流率,必要时完善尿道造影检查,若狭窄复发或加重,需再次行尿道扩张或尿道成形术,以改善排尿功能,减少泌尿系感染及结石的复发概率。
同时,指导患者多饮水多排尿,避免辛辣刺激饮食,戒烟酒,有助于降低结石及感染的发生风险,本病例的治疗过程提示,对于合并尿道狭窄的泌尿系结石患者,需多学科协作评估,制定个体化治疗方案,关注尿道狭窄对内镜操作的影响,加强围手术期管理,以提高治疗效果,减少并发症发生。
本站所注明来源为"爱爱医"的文章,版权归作者与本站共同所有,非经授权不得转载。
本站所有转载文章系出于传递更多信息之目的,且明确注明来 源和作者,如果您认为我们的转载侵犯了您的