【基本信息】女、36、农民
【发病原因】呕吐咖啡色液体、解黑便2天余
【临床诊断】1.胃-食管撕裂-出血综合征 2.反流性食管炎 3.糜烂性胃炎 4.胸腔感染 5.乙型肝炎大三阳 6.气管憩室
【治疗方案】以禁食、洛赛克持续静脉泵入抑酸、硫糖铝混液+康复新液保护黏膜、头孢曲松钠2g静脉滴注qd抗感染、脂肪乳注射液+氨基酸注射液营养支持、补液治疗
【治疗结果】病情好转出院
【病案重点】胃食管撕裂出血综合征
呕吐咖啡色液体、解黑便2天余;
患者于2天余前进食后出现剧烈呕吐,一开始呕吐胃内容物,继而呕吐咖啡色液体,含有胃内容物,无鲜血及血凝块,呈非喷射性,共约2次,量中(具体不详),同时出现解黑便1次,为暗黑色成型便,无血凝块、鲜血及脓便,无里急后重,量中(具体不详),当时无头晕、乏力、黑矇,无胸痛,无胸闷,无发热等不适,遂就诊于我院门诊,拟上消化道出血收治入院;近1周以来,患者精神、饮食、睡眠一般,大便如上所述,小便正常,体重无明显增减。
平素健康状况:一般;有疾病史,既往有乙肝小三阳病史3年余,未规范治疗及复查;有传染病史,肝炎,其他;无传染病接触史;预防接种史不详;手术外伤史:无手术史;无外伤史;无输血史;无药物过敏史;无食物过敏史。
生于原籍,无外地久居史,生活规律,无吸烟史;否认饮酒史,无毒物、粉尘及放射性物质接触史,否认冶游史,无重大精神创伤史。
T: 36.7℃,P: 85次/分,R: 18次/分,BP: 146/85mmHg。
发育正常,营养良好,神志清楚,精神正常,自主体位,查体合作。全身皮肤黏膜无黄染,无出血点。浅表淋巴结未触及肿大。头颅无畸形。眼睑无水肿,结膜无充血、无苍白,双侧瞳孔等大等圆,对光反射灵敏。耳鼻无畸形,口唇无发绀,扁桃体无肿大、无化脓。颈软,气管居中,甲状腺无肿大,无颈静脉怒张。胸廓对称,无畸形,双侧呼吸运动均等,双肺未及干湿啰音。心前区无隆起,心界正常,心率85次/分,律齐,各瓣膜听诊区未闻及病理性杂音。腹平坦,腹肌软,全腹无压痛及反跳痛,肝脾肋下未触及,未扪及明显异常腹部包块,肝肾区无叩击痛,移动性浊音阴性,肠鸣音约4次/分。肛门未见肿物脱出,指检肛门括约肌舒缩功能正常,肛管压力适中,未触及肿块,退出后指套表面无染血,外生殖器未查。脊柱、四肢无畸形,运动无障碍,关节无红肿,无杵状指、趾,双下肢无水肿。腹壁反射、肱二头肌反射、肱三头肌反射、膝腱反射、跟腱反射正常,巴宾斯基征、脑膜刺激征未引出。
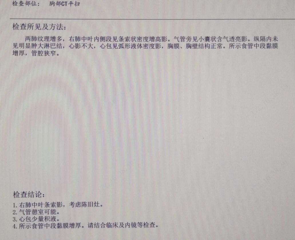
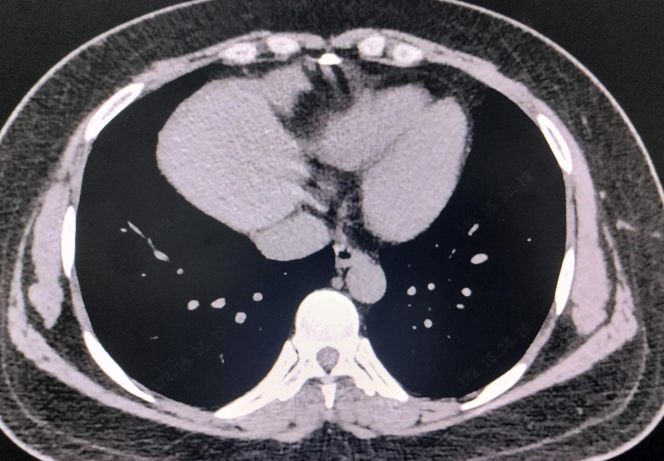
血分析:白细胞14.49*10^9/L;中性粒细胞比率88.6%,血红蛋白129g/L;C反应蛋白:12.4mg/L;凝血功能、D二聚体、肝肾功能、电解质、心肌酶谱、血脂、血糖、淀粉酶、脂肪酶、尿分析均未见明显异常;乙肝两对半:乙肝表面抗原 阳性;乙肝e抗原 阳性;乙肝核心抗体 阳性,入院4天后复查C反应蛋白:24.7mg/L;血分析:血红蛋白118g/L;复查肝肾功能、电解质、降钙素原、白介素6均未见明显异常;胸部CT:1.右肺中叶条索影,考虑陈旧灶。2.气管憩室可能。3.心包少量积液。4.所示食管中段黏膜增厚。请结合临床及内镜等检查。心电图:1、窦性心律不齐2、P-R时限短,请结合临床。电子胃镜:1、食管上段黏膜撕裂并血肿形成;2、非萎缩性胃炎伴糜烂。



急性上消化道出血:消化性溃疡伴出血?急性胃黏膜病变伴出血?
1.中年女性;2.呕吐咖啡色液体、解黑便2天余;3.查体:腹平软,全腹无压痛及反跳痛,移动性浊音阴性,肠鸣音约4次/分。
1.食管-胃底静脉曲张破裂出血:常表现为大出血,可有呕血、头晕、休克等表现,常有肝病史,查体可见肝掌、蜘蛛痣。电子胃镜及B超检查可助诊断。 2.胃癌并出血:也可出现腹胀、上腹痛、渐消瘦、呕血、解黑便症状。但需有如下条件:无表浅淋巴结肿大;胸片无纵隔淋巴结肿大;末稍血和骨髓中无幼稚或异常细胞;肿瘤仅限于胃肠道及该引流区域淋巴结;肝脾无侵犯。电子胃镜及B超检查可助诊断。
入院后予以禁食、洛赛克持续静脉泵入抑酸、硫糖铝混液+康复新液保护黏膜、头孢曲松钠2g静脉滴注qd抗感染、脂肪乳注射液+氨基酸注射液营养支持、补液治疗;治疗1周,患者无呕吐,大便转黄,进食流质无不适,病情好转出院,院外继续服用艾普拉唑肠溶片、瑞巴派特胶囊治疗。
1.胃-食管撕裂-出血综合征
2.反流性食管炎
3.糜烂性胃炎
4.胸腔感染
5.乙型肝炎大三阳
6.气管憩室
该患者中年女性,急性起病,因剧烈呕吐继而出现呕血、解黑便入院,结合胃镜检查结果诊断胃食管撕裂出血综合征明确。发病机制:因剧烈干呕、呕吐、咳嗽等导致腹内压和胃内压骤然急剧升高,使胃食管连接处或附近食管/胃黏膜产生纵向撕裂,损伤黏膜下血管而引发急性上消化道出血。临床表现:典型表现为剧烈呕吐或干呕后,出现鲜红色或咖啡色呕血,可伴黑便。部分患者呕吐物中仅含血丝或无呕血仅表现为黑便。腹痛通常不明显或轻微。
诊断要点:
1. 典型病史:出血前有剧烈呕吐或腹压骤增诱因;
2. 急诊胃镜:是确诊金标准,应在出血24-48小时内进行,可见胃食管连接处单一或数条纵向黏膜撕裂,伴活动性渗血或血痂;3. 排除其他原因(如消化性溃疡、静脉曲张破裂)引起的出血。
治疗要点:
1. 一般治疗:禁食、补液、抑酸(PPI);
2. 内镜下治疗:对活动性出血者,首选内镜下止血(如注射肾上腺素、电凝、止血夹等)效果显著;
3. 药物治疗:静脉应用止血药、PPI;
4. 血管介入或手术:用于内镜治疗失败、出血凶猛者,但非常罕见。
分析总结:本病是急性上消化道出血的常见原因之一,属自限性急症。剧烈呕吐后呕血的病史是其关键临床线索。急诊胃镜检查兼具诊断与治疗双重价值,大多数患者通过内镜治疗及药物支持可有效止血,预后良好,复发率低。临床处理的核心在于及时识别、迅速内镜干预及积极防治再出血诱因。
本站所注明来源为"爱爱医"的文章,版权归作者与本站共同所有,非经授权不得转载。
本站所有转载文章系出于传递更多信息之目的,且明确注明来 源和作者,如果您认为我们的转载侵犯了您的