【基本信息】男、103、农民
【发病原因】出现腹部疼痛,以脐周为主,呈持续性钝痛
【临床诊断】1.横结肠恶性肿瘤2.穿孔性腹膜炎3.急性弥漫性腹膜炎4.慢性支气管炎伴肺气肿5.脓毒血症6.肾功能不全7.全心衰竭、心功能IV级(NYHA分级)8.阵发性心房颤动9.低蛋白血症10.贫血11.胆囊结石12.前列腺增生13.肝囊肿14.单纯性肾囊肿15.双侧腹股沟疝
【治疗方案】行右半结肠肿瘤根治术+肠系膜淋巴结清扫术+肠吻合术+肠粘连松解术+血管危象探查术+探查术
【治疗结果】好转出院
【病案重点】横结肠破裂穿孔
腹痛12小时。
患者缘于入院12小时前无明显诱因出现腹部疼痛,以脐周为主,呈持续性钝痛,在家未医治,疼痛无明显缓解,感疼痛较前加剧,呈持续性刀割样剧痛无缓解,期间未行任何治疗,疼痛持续存在无缓解并扩散至全腹,无恶心、无呕吐,无腹胀,无畏寒、发热,无咳嗽、咳痰,无胸闷、心悸,无昏迷,遂来我院急诊就诊,行全腹部CT示:考虑消化道穿孔伴腹膜炎改变,经我科医生会诊后,遂拟消化道穿孔收住入院。起病来,患者精神、睡眠、食欲差,大便未解,小便有解。
平素健康状况:一般;既往有双侧腹股沟疝病史,未治疗;无传染病史;无传染病接触史;预防接种史不详;手术外伤史:无手术史;无外伤史;无输血史;无药物过敏史;无食物过敏史。
生于原籍,无外地久居史,生活规律,无吸烟史;否认饮酒史,无毒物、粉尘及放射性物质接触史,无冶游史,无重大精神创伤史。
T: 36.6℃,P: 86次/分,R: 28次/分,BP: 97/60mmHg。
发育正常,营养良好,神志清楚,精神差,痛苦表情,自主体位,查体合作。全身皮肤黏膜无黄染,无出血点。浅表淋巴结未触及肿大。头颅无畸形。眼睑无水肿,结膜无充血、无苍白,双侧瞳孔等大等圆,对光反射灵敏。耳鼻无畸形,口唇无发绀,扁桃体无肿大、无化脓。颈软,气管居中,甲状腺无肿大,无颈静脉怒张。胸廓对称,无畸形,双侧呼吸运动均等,双肺未及干湿啰音。心前区无隆起,心界正常,心率86次/分,律齐,各瓣膜听诊区未闻及病理性杂音。腹部详见专科情况。肛门直肠、外生殖器未查。脊柱、四肢无畸形,运动无障碍,关节无红肿,无杵状指、趾,双下肢无水肿。腹壁反射、肱二头肌反射、肱三头肌反射、膝腱反射、跟腱反射正常,巴宾斯基征、脑膜刺激征未引出。
专科情况:腹稍膨隆,未见胃肠型及蠕动波,无腹壁静脉曲张,双侧腹股沟区见一大小约3cm*4cm肿物,平卧时包块可回纳入腹腔,外环口松弛,压迫外环口包块不再突出。腹肌紧,呈板状腹,全腹有压痛及反跳痛,尤以脐周显著,未扪及包块,肝脾肋下未触及,墨菲氏征阴性,肝肾区叩击痛阴性,肝浊音界存在,移动性浊音阴性,听诊肠鸣音消失。
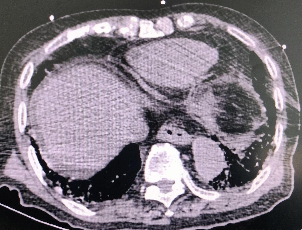
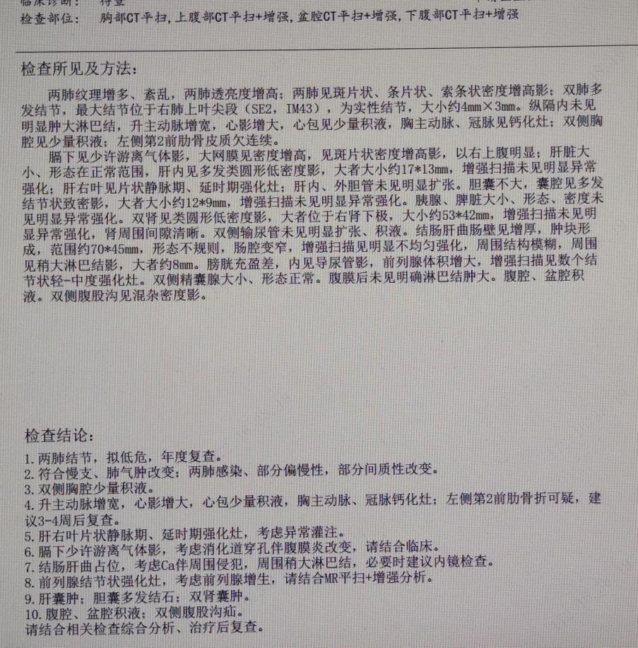
胸腹部CT平扫+增强示:1.两肺结节。2.符合慢支、肺气肿改变;两肺感染。3.双侧胸腔少量积液。4.升主动脉增宽,心影增大,心包少量积液,胸主动脉、冠脉钙化灶;左侧第2前肋骨折可疑,建议3-4周后复查。5.肝右叶片状静脉期、延时期强化灶,考虑异常灌注。6.膈下少许游离气体影,考虑消化道穿孔伴腹膜炎改变。7.结肠肝曲占位,考虑 Ca伴周围侵犯,周围稍大淋巴结。8.前列腺结节状强化灶,考虑前列腺增生。9.肝囊肿;胆囊多发结石;双肾囊肿。10.腹腔、盆腔积液;双侧腹股沟疝。
超声检查报告:1.肝囊肿;2.胆囊结石;3.双肾囊肿,左肾结石;4.前列腺增生并钙化;5.脾未见明显异常。附见:腹腔积液。血常规:白细胞(WBC)10.98*10^ 9/L;中性粒细胞比率(NEUT%)90.10%;淋巴细胞比率(LYM%)3.90%;嗜酸性粒细胞比率(EOS%)0.00%;中性粒细胞计数(NEUT#)9.90*10^9/L;红细胞(RBC)3.74*10^12/L;血红蛋白(HGB)109g/L;红细胞压积(HCT)33.10%;C反应蛋白(CRP)83.6mg/L;生化:尿素(Urea)9.30mmol/L;肌酐(Cr)128.0umol/L;肌酸激酶(CK)1429 U/L;氯(CL)93.0mmol/L;肌酸激酶同工酶(质量法)(CK-MB)6.00ng/ml;凝血功能:凝血酶原时间(PT)16.10s;凝血酶原时间活动度(FT-%)63.9%;纤维蛋白原(Fib)5.58g/L;D-二聚体(DDi)18.74mg/L;肝功能、电解质、血糖、血脂未见异常,输血前三项、乙肝三对未见异常。
病理结果:(右半结肠)中-低分化腺癌伴坏死,考虑伴有神经内分泌分化;-肿物大小6*1.8cm,侵及浆膜下层纤维脂肪组织 (T3);-侵犯神经,脉管内见瘤栓;-肠穿孔;-自检远、近切缘均未见癌;-自检淋巴结7枚,其中1枚见癌转移(1/7),,并见癌结节1枚。


1.消化道穿孔2.急性弥漫性腹膜炎3.慢性支气管炎伴肺气肿4.胆囊结石5.肺部感染6.前列腺增生7.肝囊肿8.单纯性肾囊肿9.结肠占位性病变10.双侧腹股沟疝
1.腹痛12小时;
2.查体:腹稍膨隆,双侧腹股沟区见一大小约3cm*4cm肿物,平卧时包块可回纳入腹腔,外环口松弛,压迫外环口包块不再突出。腹肌紧,呈板状腹,全腹有压痛及反跳痛,尤以脐周显著,听诊肠鸣音消失。
3.辅助检查:CT平扫+增强示:1.两肺结节,拟低危,年度复查。2.符合慢支、肺气肿改变;两肺感染。3.双侧胸腔少量积液。4.膈下少许游离气体影,考虑消化道穿孔伴腹膜炎改变。5.结肠肝曲占位,考虑Ca伴周围侵犯。
5.前列腺增生,请结合MR平扫+增强分析。
6.肝囊肿;胆囊多发结石;双肾囊肿。
7.腹腔、盆腔积液;双侧腹股沟疝。
1、胃十二指肠溃疡急性穿孔:板状腹和膈下游离气体是溃疡穿孔的典型表现。病人既往有溃疡病史,突发上腹部刀割样疼痛,迅速蔓延至全腹部,明显腹膜刺激症状、典型的板状腹、肝浊音界消失、膈下游离气体可以确诊。
2、急性阑尾炎伴穿孔:转移性右下腹疼痛和右下腹固定压痛是急性阑尾炎典型表现。疼痛始于脐周或上腹部,待炎症波及阑尾浆膜,腹痛转移并固定于右下腹。病情加重达到化脓或坏疽时,可出现右下腹局限性腹膜炎体征。一旦穿孔,腹膜炎体征可扩大至全腹部,但压痛仍以右下腹为主。
患者入院后予完善相关检查,考虑肠穿孔,急诊行右半结肠肿瘤根治术+肠系膜淋巴结清扫术+肠吻合术+肠粘连松解术+血管危象探查术+探查术:
1、患者麻醉成功后取仰卧位,输液,输氧,留置导尿。手术区消毒铺巾。
2.从脐下2cm纵行切开约1厘米,逐层切开入腹腔,置入10毫米鞘卡,充气,维持腹腔内压力14cmH20。进入腹腔镜,腹腔探查未发现穿刺部位及腹腔脏器损伤、出血,见腹腔内少许粪便及粪汁渗液,考虑结肠穿孔,吸尽脓液及粪便,继续探查发现横结肠靠近肝曲可见一大小约7x5cm肿瘤,距肿瘤远端可见一大小约2x1cm穿孔,可见少许粪便流出,因肿瘤与周围肠管、侧腹膜、网膜粘连严重,腔镜下难以分离,遂决定行腹腔镜中转开放右半结肠切除+肠系膜淋巴结清扫术+肠吻合术+肠粘连松解术+血管危象探查术+探查术。
3.取右侧腹直肌切口约15厘米,逐层分离入腹腔,为减轻腹腔污染,减少毒素吸收,先将穿孔处缝合,用大量温盐水冲洗腹腔直至腹腔冲洗液较清亮,更换污染的手术器械及手套,加盖无菌单。将大网膜和小肠推向左腹腔。超声刀松解粘连的回肠末端后,将大网膜和横结肠推向头侧,小肠推向左腹腔,显露肠系膜根部及肠系膜上静脉,将后腹膜沿肠系膜上血管方向剪开清扫前方淋巴脂肪组织,显露静脉,在十二指肠水平部下方显露会结肠动静脉,hemo-lock夹闭后离断,进入Told间隙,超声刀锐性+钝性分离,向头侧暴露十二指肠及胰腺头部,暴露结肠右动静脉,hemo-lock夹闭后离断,向右侧游离至右结肠旁沟侧腹膜,显露右侧输尿管。提起横结肠系膜,沿结肠中动脉左右分支空隙处打开横结肠系膜,游离系膜至汇入肠系膜上血管根部,hemo-lock夹闭后离断,有胃结肠韧带中分向右,沿胃网膜右血管弓外游离至幽门处胃网膜右血管根部,hemo-lock夹闭后离断,继续向右侧离断肝结肠韧带,向下沿腹膜黄白线离断右侧腹膜,与内侧Tolda间隙相通。将横结肠中段右侧至15cm末端回肠及附属肠系膜血管脂肪淋巴组织提出体外,用管型吻合器体外行回肠横结肠端侧吻合,切割闭合器闭合结肠残端,3.0薇荞线吻合口加固,检查术区无出血,冲洗腹腔后,于右侧盆腔及吻合口附近放置腹腔引流管各一根,从左右侧腹壁引出,2.0薇荞线缝合固定。
4.术毕,清点器械、纱条无误,逐层关闭切口,手术顺利。术后麻醉未醒,血压低,予去加肾上腺素静脉泵入维持血压,并呼吸气囊辅助呼吸转重症医学科治疗,并行气管插管后接呼吸机辅助呼吸、 输血及血浆、舒普深抗感染、注射用泮托拉唑抑酸、输注白蛋白、血必净清除毒素、脂肪乳注射液+复方氨基酸注射液营养支持、维持水电解质平衡、对症治疗,IUC治疗5天,患者生命体征平稳,血氧稳定,拔除气管插管后转普通病房治疗, 继续舒普深抗感染、注射用泮托拉唑抑酸、输注白蛋白、血必净清除毒素、脂肪乳注射液+复方氨基酸注射液营养支、那屈肝素钙预防静脉血栓、地高辛片+呋塞米片+螺内酯片抗心衰治疗,普通病房治疗10天,患者进食流质无不适,搀扶可行走,无发热,无腹痛,一般情况尚可,好转出院。
1.横结肠恶性肿瘤
2.穿孔性腹膜炎
3.急性弥漫性腹膜炎
4.慢性支气管炎伴肺气肿
5.脓毒血症
6.肾功能不全
7.全心衰竭、心功能IV级(NYHA分级)
8.阵发性心房颤动
9.低蛋白血症
10.贫血
11.胆囊结石
12.前列腺增生
13.肝囊肿
14.单纯性肾囊肿
15.双侧腹股沟疝
患者高龄,男性,腹部剧痛急诊入院,查体腹部呈板状腹,压痛反跳痛阳性,腹部ct提示膈下见游离气体,诊断横结肠破裂穿孔明确,消化道穿孔患者常表现为突发剧烈腹痛,迅速蔓延至全腹,伴有明显腹膜刺激征(压痛、反跳痛、肌紧张)。因穿孔继发脓毒血症,可出现高热、寒战、心动过速、呼吸急促、低血压、意识改变等感染性休克表现。
诊断要点1. 病史与体征:结肠癌病史或相关症状(如排便习惯改变、便血),突发急性弥漫性腹膜炎体征,2. 影像学检查:腹部CT平扫+增强是首选,可显示横结肠肿瘤、腹腔游离气体、肠管穿孔征象及腹腔积液。3. 实验室检查:白细胞显著升高或降低,降钙素原(PCT)、C反应蛋白(CRP)急剧升高,血培养可能阳性。4. 术中探查:是最终确诊手段,可见肿瘤及穿孔部位,腹腔内大量脓性渗液。
治疗遵循抢救生命第一、肿瘤根治第二的原则。
1. 紧急复苏:快速液体复苏,使用血管活性药物维持血压,纠正酸中毒及电解质紊乱。
2. 强力抗感染:早期、足量、广谱静脉应用抗生素,覆盖需氧菌和厌氧菌,后根据药敏调整。 3. 急诊手术:是唯一根治性治疗方法,需在初步复苏后尽快实施。
手术要点:
1. 目标:控制感染源(修补或切除穿孔肠段)、冲洗引流腹腔、切除肿瘤。
2. 术式选择:根据患者全身情况、腹腔污染程度及肿瘤分期决定。常行穿孔肠段切除、近端结肠造口(Hartmann术)。若条件极差,可仅行穿孔修补近端造口。腹腔需彻底冲洗,并放置引流管。
3. 关键:手术应快速、有效,避免复杂操作,以控制感染为首要目的。分析总结:横结肠癌破裂穿孔是肿瘤急症,病情凶险,死亡率高。其本质是局部肿瘤并发症引发全身性脓毒血症及多器官功能衰竭。诊断依赖典型的腹膜炎体征结合CT检查。治疗上必须争分夺秒,贯彻损伤控制理念:先通过强有力的抗休克和抗感染为手术赢得机会,再通过急诊手术解除感染源头。手术方式宜简化,以引流和转流粪便为主,通常不主张一期吻合。术后需在重症监护下继续抗感染及器官功能支持。此病预后取决于穿孔至手术的时间、脓毒休克的纠正速度及肿瘤本身的分期,强调多学科协作与快速决策。
本站所注明来源为"爱爱医"的文章,版权归作者与本站共同所有,非经授权不得转载。
本站所有转载文章系出于传递更多信息之目的,且明确注明来 源和作者,如果您认为我们的转载侵犯了您的