【基本信息】女、48、职员
【发病原因】发现左肾占位3个月
【临床诊断】左肾血管平滑肌脂肪瘤
【治疗方案】芬奇机器人手术精准切除肿瘤并成功保肾
【治疗结果】恢复良好
【病案重点】左肾血管平滑肌脂肪瘤
体检发现左肾占位3个月
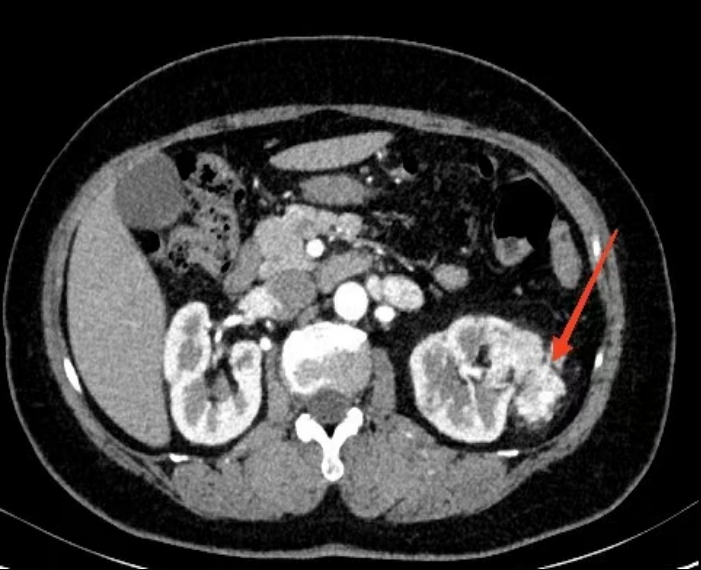
3个月前患者于体检中发现左肾占位性病变,行增强CT检查提示左肾上极存在一个约12cm×4cm的不规则肿物,双肾动脉成像进一步明确为血管平滑肌脂肪瘤。患者暂无症状,为求进一步诊治入院。
平素体健,无高血压、糖尿病、心脏病等慢性病史,无手术、外伤、输血史,无药物及食物过敏史。
无吸烟、饮酒等不良嗜好,职业无特殊有害物质接触史,家族中无类似疾病患者。
T: 36.5℃,P: 72次/分,R: 18次/分,BP: 120/80mmHg。
发育正常,营养中等,神志清,精神可,自主体位,步态正常,面容自然,配合查体。 皮肤黏膜及淋巴结:皮肤色泽正常,湿度、弹性可,无皮疹、出血点。巩膜无黄染,黏膜光滑。浅表淋巴结(颌下、颈部、锁骨上、腋窝、腹股沟)未触及肿大。 头部及其器官:头颅无畸形,头发分布均匀。眼睑无水肿,结膜无充血,瞳孔直径3mm,对光反射灵敏,眼球运动正常。耳廓无异常,外耳道无分泌物,听力粗测正常。鼻中隔居中,鼻腔无异常分泌物,鼻窦无压痛。口唇红润,牙龈无出血,扁桃体无肿大,咽部无充血,声音正常。 颈部:对称无畸形,颈静脉无充盈,气管居中。甲状腺未触及肿大,无震颤及血管杂音。 胸部:胸廓对称,呼吸动度双侧一致,节律规整。肺触诊语颤对称,叩诊清音,肺下界锁骨中线第6肋间、腋中线第8肋间、肩胛线第10肋间,移动度6cm,听诊呼吸音清,无干湿性啰音。心前区无隆起,心尖搏动位于左锁骨中线内0.5cm第5肋间,范围2cm。触诊无震颤,叩诊心界正常(左界Ⅱ肋间2.5cm、Ⅲ肋间3.5cm、Ⅳ肋间5cm、Ⅴ肋间6cm;右界Ⅱ肋间2cm、Ⅲ肋间2.5cm、Ⅳ肋间3cm)。心率78次/分,律齐,S1、S2清晰,无杂音及心包摩擦音。 腹部:平坦,腹壁静脉无曲张,无胃肠型。触诊软,无压痛、反跳痛,Murphy征阴性。肝脾未触及,肾区无叩痛,移动性浊音阴性。肠鸣音4次/分,无血管杂音。 脊柱四肢:脊柱生理弯曲存在,无畸形、压痛,活动度正常。四肢对称无畸形,关节无红肿,肌力5级,肌张力正常,无水肿、静脉曲张。 神经系统:意识清,面神经功能正常,伸舌居中。无瘫痪,共济运动正常,感觉功能正常。肱二头肌、肱三头肌、膝、踝反射(左/右均++),病理反射(Babinski、Chaddock等)均阴性,脑膜刺激征阴性。 其他:生殖器、肛门未查。
增强CT:左肾上极可见约12cm×4cm不规则肿物,增强后呈不均匀强化,双肾动脉成像提示肿物为血管平滑肌脂肪瘤。

左肾血管平滑肌脂肪瘤
1.体检发现左肾占位性病变; 2.增强CT及双肾动脉成像提示左肾上极不规则肿物,符合血管平滑肌脂肪瘤影像学表现。
1. 肾癌:多为恶性肿瘤,增强CT呈快进快出强化模式,常伴有血尿、腰痛等症状,本例影像学表现及病史不支持。
2. 肾囊肿:多为囊性病变,边界清晰,无强化,与本例影像学表现不同。
一、术前诊疗计划
1.多学科精准评估 联合泌尿外科、影像科、麻醉科、病理科开展MDT会诊,借助增强CT、双肾动脉成像等影像学手段三维重建肿瘤与肾动静脉、集合系统的解剖关系,明确肿瘤边界及血供特点;同时全面评估患者心肺功能、凝血功能等,排除手术禁忌证,为手术方案制定提供扎实依据。
2.患者教育与心理干预 向患者及家属详细讲解达芬奇机器人手术的精准、微创、保肾优势,以及手术流程和术后康复预期,缓解其焦虑情绪,确保患者对治疗方案充分知情并配合。
3.术前准备 术前1天严格禁食禁饮,必要时进行肠道准备;做好备血工作以应对术中出血风险;提前调试达芬奇机器人系统,保证机械臂、成像系统运行正常。
二、术中诊疗计划
1. 麻醉管理 麻醉科团队采用全身麻醉,术中实施控制性降压技术,将平均动脉压维持在60-70mmHg区间,减少肾脏血流灌注以降低术中出血风险,同时安排专人监测患者生命体征、尿量及内环境稳定。
2 机器人手术操作 选择经腹腔入路,建立4个钥匙孔大小的操作孔,置入达芬奇机器人机械臂及镜头。 在高清三维视野下,先游离肾周筋膜,暴露肾动静脉,精准游离肿瘤周围组织,识别并保护正常肾实质及血管分支。 采用短时间肾动脉阻断技术(本例阻断23分钟),沿肿瘤假包膜完整切除肿瘤,使用可吸收缝线分层缝合肾实质及集合系统,确保无尿瘘及出血风险。
3.术中监测与决策 病理科医生进行术中快速冰冻病理检查,明确肿瘤性质(本例为良性血管平滑肌脂肪瘤),指导手术范围,实现“肿瘤完整切除+最大限度保肾”的双重目标。
三、术后诊疗计划
1. 重症监测与并发症预防 术后转入PACU(麻醉后监护室)监测24小时,密切观察生命体征、引流液颜色及量;给予头孢哌酮舒巴坦钠抗感染、补液支持、止血药物应用,预防感染、出血等并发症。
2. 肾功能保护与康复 术后第1天监测血肌酐、尿素氮等肾功能指标,评估肾脏缺血再灌注损伤程度;鼓励患者术后24-48小时早期下床活动,促进胃肠功能恢复,术后3天逐步过渡到流质、半流质饮食。
3. 随访计划 术后1个月、3个月、6个月、1年分别复查泌尿系超声或CT,监测肾脏形态、残余肾功能及肿瘤有无复发;同时指导患者保持健康生活方式,避免剧烈运动及腰部外伤
左肾血管平滑肌脂肪瘤
一、病例总结 本例为48岁女性患者,因体检发现左肾12cm巨大血管平滑肌脂肪瘤入院,经达芬奇机器人手术精准切除肿瘤并成功保肾。手术的成功充分体现了智能精准外科技术与多学科协作的双重价值:达芬奇机器人的三维视野、机械臂精准操作突破了传统手术的局限,实现了复杂解剖结构下的肿瘤完整切除与肾功能保护;泌尿外科、麻醉、影像、病理等多学科团队的高效配合,为手术安全、患者快速康复提供了坚实保障。
二、经验分享
1.复杂肾肿瘤的手术决策 对于直径>10cm、紧邻肾门血管的巨大肾肿瘤,传统开放或腹腔镜手术因视野局限、操作精度不足,保肾难度极大。达芬奇机器人的三维放大视野(10-15倍) 可清晰显示肿瘤与肾血管、集合系统的亚毫米级;解剖关系,机械臂的7个自由度运动(超越人手灵活性)能在狭小空间内完成精细缝合,是此类高难度保肾手术的优选方案。
2.肾动脉阻断时间的把控 肾脏缺血时间与肾功能损伤呈正相关,本例通过精准的术前规划、术中高效操作,将肾动脉阻断时间控制在23分钟内,显著降低了缺血再灌注损伤风险。临床实践中,建议通过术前模拟手术流程、术中团队密切配合,尽可能缩短阻断时间,尤其是对于孤立肾、肾功能不全患者,需制定更严苛的时间管理策略。
3.多学科协作的细节管理 MDT并非简单的学科集合,而是要建立;术前-术中-术后的全流程协作机制: 影像科需提供薄层增强CT+血管重建图像,并参与术前讨论,明确肿瘤血供及与周围结构的关系; 麻醉科的控制性降压技术需与手术操作;无缝衔接,在肿瘤切除、缝合关键步骤调整血压,平衡出血控制与肾脏灌注; 病理科的术中冰冻快速诊断能即时明确肿瘤性质,避免过度切除或切除不彻底。
三、专业建议
1.同行操作建议 开展达芬奇机器人肾肿瘤手术前,需系统接受机器人操作培训,熟悉机械臂的运动逻辑、镜头与操作臂的配合技巧,建议先从简单肾肿瘤病例入手,逐步积累复杂病例经验; 对于血管平滑肌脂肪瘤患者,即使肿瘤巨大,只要无远处转移、患者肾功能正常,均应优先考虑保肾手术,因其为良性肿瘤,过度切除肾脏将导致不必要的肾功能丧失。
2.患者管理建议 临床医生应加强对肾脏肿瘤的科普宣教,强调定期体检(每年一次泌尿系超声) 的重要性,因肾血管平滑肌脂肪瘤早期多无症状,体检是发现的关键; 对于确诊的肾血管平滑肌脂肪瘤患者,直径4cm可选择定期随访(每6-12个月超声复查);直径4-10cm且无破裂风险可密切观察;直径>10cm或有破裂风险(如肿瘤内出血史、剧烈活动后腰痛),应积极建议手术治疗,且优先选择具备达芬奇机器人技术的医疗中心,以最大化保肾概率。
3.学科发展建议 医疗机构应重视达芬奇机器人等智能外科设备的投入与人才培养,建立机器人手术技术中心,开展多中心临床研究,进一步探索其在前列腺癌、膀胱癌等泌尿外科疾病中的应用边界,推动泌尿外科向;更精准、更微创、更智能的方向发展。
本站所注明来源为"爱爱医"的文章,版权归作者与本站共同所有,非经授权不得转载。
本站所有转载文章系出于传递更多信息之目的,且明确注明来 源和作者,如果您认为我们的转载侵犯了您的