【基本信息】男、70、农民
【发病原因】右下腹疼痛
【临床诊断】1、急性阑尾炎2、脑梗死后遗症期
【治疗方案】全麻下行腹腔镜下阑尾切除术
【治疗结果】恢复良好
【病案重点】急性阑尾炎合并脑梗死
右下腹疼痛1天。
患者诉缘于1天前无明确诱因出现右下腹疼痛,固定,不向腰背部、会阴部放射,无发冷、发热,无咳嗽、咳痰,无心慌、气短,无腹泻,无尿频、尿急、尿痛及肉眼血尿,发病后于本村卫生室口服药物(具体药物、剂量不详)治疗,腹痛症状略缓解,今晨仍觉腹部疼痛,以右下腹为重,伴发冷、寒战,未测体温。为求进一步诊治而来我院,门诊以“腹痛(急性阑尾炎?)”收入院。
一般健康状况: “脑梗死”病史1月余,遗留左侧肢体活动不利。“高血压病”病史3年余,最高血压达160/100mmHg,口服替米沙坦片、硝苯地平缓释片降压治疗。否认“结核”、“肝炎”等传染病史,否认“冠心病、糖尿病”等病史,否认药物和食物过敏史,无输血及重大手术史,预防接种史不详。
T: 37.7℃,P: 96次/分,R: 20次/分,BP: 130/76mmHg。
发育正常,营养中等,神志清醒,精神正常,慢性面容,查体合作。皮肤:色泽正常,弹性略差,无皮疹,无出血,无蜘蛛痣,无水肿,毛发分布正常,无疤痕,无溃疡。淋巴结未触及肿大。头颅形状:正常,眼无巩膜黄染,双侧瞳孔等圆、等大,对光反射存在。耳廓无畸形,鼻外形完整,鼻中隔无偏曲,口唇无发绀,扁桃体无肿大。颈软,气管居中,甲状腺无肿大,无颈静脉怒张。胸廓对称,双侧呼吸运动对称,语颤:双侧一致,无胸膜摩擦感(右),无胸膜摩擦感(左)。叩诊:叩诊呈清音。听诊:呼吸音清晰,无干湿性啰音,语音传导正常,无摩擦音。无心前区隆起,心尖搏动正常,心尖搏动位置:第5肋间隙左侧锁骨中线内0.5cm处。触诊:心尖搏动,无震颤,无心包摩擦感。叩诊心界不大,心率96次/分,律规整,各瓣膜听诊区未闻及病理性杂音。腹部对称,余见专科情况。外生殖器见专科情况。脊柱正常,四肢见专科情况。神经系统:肱二头肌反射正常,肱三头肌反射存在,膝腱反射正常,跟腱反射正常,腹壁反射正常,未见异常,克氏(Kernig征)征阴性,布氏(Brudzinski征)征阴性,巴氏(Babinski征)阴性。 专科情况:腹平坦,腹壁静脉无曲张,未见胃肠型及蠕动波;全腹肌紧张,略呈板状,全腹压痛,以右下腹压痛为重,反跳痛可疑,肝脾肋下未触及;肝区、双肾区无叩击痛,叩鼓音,移动性浊音阴性;结肠充气试验阳性,腰大肌、闭孔肌试验阴性,肠鸣音正常。四肢无畸形,无杵状指(趾),双下肢无水肿,右侧肢体肌力、肌张力正常;左侧肢肌力Ⅳ+级,肌张力略亢进。
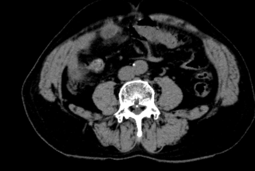
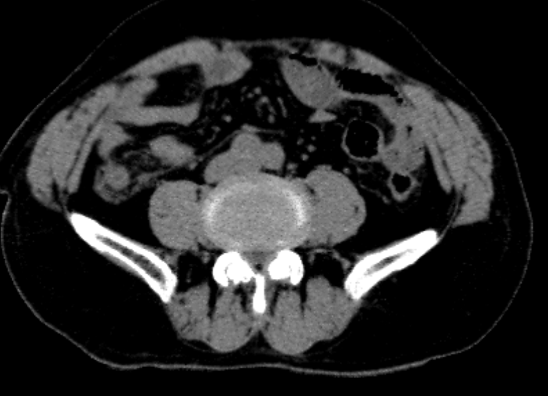
血常规白细胞:11.68*10^9/L,中性粒细胞比率89.5%,C反应蛋白26.46mg/L,血清淀粉样蛋白219.04mg/L。CT示:1.考虑阑尾炎性病变,请结合外科会诊及实验室检查2.升结肠周围脂肪间隙模糊,考虑炎性病变。


1、急性阑尾炎
2、脑梗死后遗症期
1.患者老年男性,急性起病。
2.患者诉缘于1天前无明确诱因出现右下腹疼痛,固定,不向腰背部、会阴部放射,无发冷、发热,无咳嗽、咳痰,无心慌、气短,无腹泻,无尿频、尿急、尿痛及肉眼血尿,发病后于本村卫生室口服药物(具体药物、剂量不详)治疗,腹痛症状略缓解,今晨仍觉腹部疼痛,以右下腹为重,伴发冷、寒战,未测体温。为求进一步诊治而来我院,门诊以“腹痛(急性阑尾炎?)”收入院。
3.入院查体:神志清楚,精神状态差,轮椅推入病区,心肺未见明确异常。腹平坦,腹壁静脉无曲张,未见胃肠型及蠕动波;全腹肌紧张,略呈板状,全腹压痛,以右下腹压痛为重,反跳痛可疑,肝脾肋下未触及;肝区、双肾区无叩击痛,叩鼓音,移动性浊音阴性;结肠充气试验阳性,腰大肌、闭孔肌试验阴性,肠鸣音正常。四肢无畸形,无杵状指(趾),双下肢无水肿,右侧肢体肌力、肌张力正常;左侧肢肌力Ⅳ+级,肌张力略亢进。角膜反射、腹壁反射正常,肱二头肌、肱三头肌腱反射、膝腱反射、跟腱反射均正常存在,Babinski征、Chaddock征、Oppenheim征、Hoffmann征、Kernig征未引出。
4.辅助检查:血常规白细胞:11.68*10^9/L,中性粒细胞比率89.5%,C反应蛋白26.46mg/L,血清淀粉样蛋白219.04mg/L。CT示:1.考虑阑尾炎性病变,请结合外科会诊及实验室检查2.升结肠周围脂肪间隙模糊,考虑炎性病变。
1.胃、十二指肠溃疡穿孔:多有溃疡病史,表现为突然发作的剧烈腹痛。体征除右下腹压痛外,上腹仍具疼痛和压痛,腹壁板状强直等腹膜刺激症状也较明显。胸腹部X线检查发现膈下有游离气体。
2.右侧输尿管结石:多呈突然发生的右下腹阵发性剧烈绞痛,疼痛向会阴部、外生殖器放射。右下腹无明显压痛,或仅有沿右侧输尿管径路的轻度深压痛。尿中查到多量红细胞。B超检查或X线摄片在输尿管走行部位可呈现结石阴影。
患者入院后,完善各项检查,诊断1、急性阑尾炎2、脑梗死后遗症期。予外科I级护理,禁食水,积极术前准备,无手术禁忌,全麻下行腹腔镜下阑尾切除术。
麻醉成功后平卧手术台,术区皮肤碘伏消毒后铺无菌巾,头低足高,向左侧倾斜15°,于脐上横行切长约1.0cm切口,巾钳牵拉提起两端,气腹针穿刺入腹。接通气腹机,形成气腹。从切口处穿入10mm戳卡,植入腹腔镜,腹腔镜明视下反麦氏点处切开皮肤长约1.0cm,并置入10mm戳卡,麦氏点横行小切口置入5mm戳卡。探查腹腔,见肠管间隙、肝下、胆囊窝、盆腔多处淡黄色脓液,纱布蘸干净脓液,无损伤钳推开网膜及回肠,暴露回盲部,回盲部腹壁充血、水肿、局部粘连,沿结肠带找到阑尾,阑尾肿胀增粗、化脓、中段穿孔,长6.0cm,直径1.8cm,术中诊断:急性化脓性阑尾炎伴穿孔伴弥漫性腹膜炎,决定行腹腔镜下阑尾切除术。阑尾钳提起牵拉阑尾,双极电凝由尖端逐段电凝离段阑尾系膜,顿锐结合分离粘连处组织,至阑尾根部,分离根部系膜及阑尾动脉,双极电凝电凝后离断阑尾动脉,充分暴露阑尾根部,距阑尾根部0.5cm处四号丝线结扎,并用Hem-o-lok夹夹闭阑尾根部。距结扎处0.5cm电凝阑尾后,剪刀离断阑尾,中断阑尾见少量透明状液体流出,置入取物袋于操作孔取出标本。再次纱布蘸取肠管间隙残余脓液,彻底检查无渗血,清点器械、敷料无误,退出器械,放净CO2气体,逐个缝合切口。
手术顺利,安返病房。回房血压130/80mmHg。标本向家属过目。送病理检查。
术后予外科Ⅰ级护理,禁食水,生命体征监测、吸氧,考虑大肠杆菌及混合菌感染,予头孢曲松钠静点抗感染治疗,奥美拉唑静点抑酸护胃治疗,并补液,维持水电解质及酸碱平衡,术后7天出院,切口甲级愈合,恢复良好。
1、急性阑尾炎2、脑梗死后遗症期
本站所注明来源为"爱爱医"的文章,版权归作者与本站共同所有,非经授权不得转载。
本站所有转载文章系出于传递更多信息之目的,且明确注明来 源和作者,如果您认为我们的转载侵犯了您的